GET THE APP

Histologic and Radiographic SSTR2 Overexpression in a Cancer Patient with Clinical and Pathologic Features Initially Treated as a Breast Cancer Protocol: A Case Report
Journal of Integrative Oncology

Journal of Integrative Oncology

ISSN: 2329-6771

Open Access

Case Report - (2023) Volume 12, Issue 2

Histologic and Radiographic SSTR2 Overexpression in a Cancer Patient with Clinical and Pathologic Features Initially Treated as a Breast Cancer Protocol: A Case Report

Kim Walter, Beaty Debbie*, Goodyear Nathan, Labant Miranda, Rawls Tequilea and Spat Tam
*Correspondence: Beaty Debbie, Department of Integrative Oncology, Brio Medical Center, Arizona, USA, Tel: 8473668668, Email:
Department of Integrative Oncology, Brio Medical Center, Arizona, USA

Received: 13-Dec-2022, Manuscript No. jio-22-83200; Editor assigned: 15-Dec-2022, Pre QC No. P-83200; Reviewed: 28-Dec-2022, QC No. Q-83200; Revised: 21-Mar-2023, Manuscript No. R-83200; Published: 28-Mar-2023 , DOI: 10.37421/2329-6771.2022.12.424
Citation: Kim Walter, Beaty Debbie, Goodyear Nathan, and Labant Miranda, et al. â??Histologic and Radiographic SSTR2 Overexpression in a Cancer Patient with Clinical and Pathologic Features Initially Treated as a Breast Cancer Protocol: A Case Report.â? J Integr Onco 12(2023): 424.
Copyright: © 2023 Beaty D, et al. This is an open-access article distributed under the terms of the Creative Commons Attribution License, which permits unrestricted use, distribution, and reproduction in any medium, provided the original author and source are credited.

Abstract

Neuroendocrine Neoplasms (NENs) or Neuroendocrine Tumors (NETs) are an extremely rare malignancy only comprising about two percent of all malignancies, making them difficult to diagnose and treat. Neuroendocrine tumors are those that arise from specialized neuroendocrine cells originating in many organs and causing a wide range of symptoms that could easily be mistaken with other conditions. These NEN’s are then divided into two subgroups: well-differentiated (low to intermediate grade) also called carcinoid tumors missing the characteristic neuroendocrine nuclei, and poorly differentiated (high grade) neuroendocrine carcinomas. Although there is not consensus as to the diagnostic criteria for neuroendocrine differentiation, it most often requires the expression of chromogranin-A, synaptophysin or neuron-specific enolase, in at least 50% of malignant tumor cells. Neuroendocrine Breast Cancer (NEBC) is a very rare metastatic form of breast cancer that effects less than 200,000 people in the United States and often goes misdiagnosed. Difficulty remains in the assessment, screening, and imaging as when improperly diagnosed, treatment is most often ineffective. It is expected that this case report will further research and information that is currently unavailable and under recognized on neoendocrine neoplasms.

Keywords

Neuroendocrine • Neoplasm • Tumor • Somatostatin receptor • Breast cancer • Metastatic, chromogranin • Synaptophysin • Carcinoma

Abbreviations

CgA: Chromogranin-A

CT: Cat scan

64 Cu Dotatate: Copper oxodotreotide radiodiagnostic agent indicated for use with the positron emission tomography for localization of Somatostatin

Receptor Positive Neuroendocrine Tumors.

ER: Estrogen Receptor

FDG: Fluorodeoxyglucose

Ga-68 DOTATATE: Gallium-68 DOTATATE is a PET radiotracer

GATA3: Distinct class of cancer genes

H & E: Hematoxylin and Eosin

IHC: Immunohistochemistry

INSM1: Insulinoma Associated Protein 1- A relatively new marker of neuroendocrine differentiation

NCCN: National Comprehensive Cancer Network

NEBC: Neuroendocrine Breast Cancer

NEN: Neuroendocrine Neoplasm

NET: Neuroendocrine Tumor

NSE: Neuron Specific Enolase

PET: Positron Emission Tomography

PPRT: Peptide Receptor Radionuclide Therapy otherwise known as radio-isotope therapy

PR: Progesterone Receptor

SST : Cytotoxic Somatostatin

SSTR2: Somataoreceptor subtype 2

SYP: Synaptophysin

WHO: World Health Organization

Introduction

A 61-year-old female presented in May 2019 with a formal diagnosis of invasive poorly differentiated ductal carcinoma of the right breast, Estrogen Receptor (ER) and Progesterone Receptor (PR) positive, with axillary nodal metastasis. The patient had undergone bilateral mastectomies, adjuvant chemotherapy, and hormone blockers. Radiographic monitoring performed in May 2020 revealed new liver lesions, which were biopsied and then determined to be conclusive of a high-grade neuroendocrine carcinoma. This conclusion was derived based on strong Chromogranin A, Synaptophysin, and GATA3 stains, which may represent a metastatic breast carcinoma with neuroendocrine differentiation. At this time, imaging studies were recommended for further correlation. A second opinion suggested that the biopsied liver lesion was morphologically similar to the initial breast tumor, but the tumor did not appear morphologically consistent with a small cell carcinoma or a large cell neuroendocrine carcinoma then causing a question as to the potential of an unusual primary site of origin. Possible neuroendocrine differentiation was suggested in up to thirty percent of mammary carcinomas of no specific type [1-3].

In November 2021, a repeat liver biopsy was performed for consideration of a clinical trial. The pathologic diagnosis based on histomorphology and immunophenotype suggested metastasis from known breast primary carcinoma positive for ER, PR, synaptophysin, chromogranin-A, and GATA- 3. The patient had undergone all standard chemotherapy treatments with no positive outcomes. Disease progression was present throughout all treatment protocols, and hospice was then the recommended standard of care. In January 2022 upon further testing of the November 2021 specimen there showed a strong somatostatin receptor subtype 2 immunohistochemistry (SSTR2 IHC) over expression. This was followed up on April 2022 with a 64 Cu-DOTATATE PET/CT scan, specifically to determine whether a tumor is a somatostatin receptor-expressing and avid neuroendocrine tumor. The test suggested the presence of extensive metastasis, most prominently in the liver with high radiotracer uptake consistent with the findings of a neuroendocrine tumor. Uptake in the liver on this test (max standard uptake value 15) is much more intense than the fluorodeoxyglucose positron emission tomography (FDG PET) scan (max standard uptake 9). Additionally, extensive bone metastasis with intense uptake was observed, with mild adenopathy in the chest and upper abdomen [4] (Figures 1-4).

integrative-oncology-radiotracer

Figure 1. April 18, 2022: 64 Cu-DOTATATE PET/CT 3D projection showing strong radiotracer uptake (mSUV 15) in the liver, bone, and lymph nodes compatible with somatostatin receptor overexpression and avid uptake.

integrative-oncology-neuroendocrine

Figure 2. Axial view of near complete replacement of liver with neuroendocrine somatostatin avid disease.

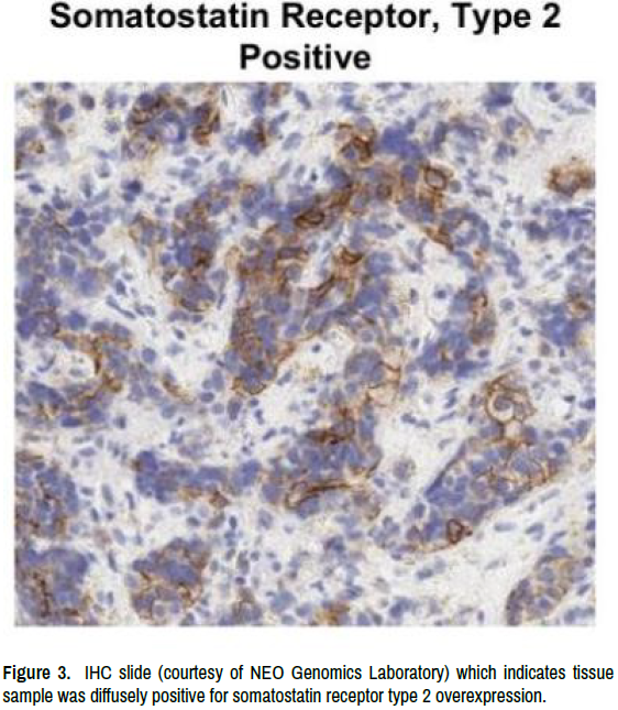
integrative-oncology-slide

Figure 3. IHC slide (courtesy of NEO Genomics Laboratory) which indicates tissue sample was diffusely positive for somatostatin receptor type 2 overexpression.

integrative-oncology-hypoattenuation

Figure 4. Axial cross-section images of liver with CT (IV contrast) scanned August 22, 2022, and September 18, 2022, Cu-D PET/CT displaying interval significantly decreased radiotracer uptake (mSUV 7) and marked hypoattenuation of liver lesions, respectively.

Results

The patient had been on somatostatin analogues for six months post write-up of this case report, with a significant and continued clinical response to therapy. She is currently being evaluated for Peptide Receptor Radionuclide Therapy (PRRT) otherwise known as radio-isotope therapy. Otherwise called radionuclide therapy, specific radioisotopes (a- or b- emitters) are an efficacious part of treatment for advanced bone and soft tissue metastases in which there is minimal discomfort, minimal toxicity, and maximal clinical effects. This approach is limited by the lack of evidence through the National Comprehensive Cancer Network (NCCN), evidenced-based guidelines, and insurance coverage. The follow up 64 Cu-DOTATATE PET/CT showed significant improvement in the overall burden of metastatic liver involvement with a decrease in liver activity (max SUV 9) and increased hypoattenuation of liver lesions. Discrepant stable to mildly improved skeletal lesions containing several additional bone lesions are of uncertain etiology and may be related to differential clonal tumor cell sensitivities versus a “flare” phenomenon. Overall serologic evaluation of liver parameters and serologic breast and neuroendocrine tumor markers have indicated marked improvement with only relatively minor abnormalities in liver enzymes. The patient’s functional status has been normal throughout. Over the last twenty-two months of discovery and sequential testing of somatostatin receptor 2 immunohistochemistry (SSTR2 IHC) stains for haematoxylin and eosin (H&E) based breast cancers, the following were determined through pathological reports: 20 out of 43 or 46.5% have shown significant SSTR2 overexpression [5, 6].

Only this one case report patient had the ability to obtain the 64 Cu-DOTATATE PET/CT due to convincing evidence to support its clinical benefit. Related to this data are the additional cases of non-breast related cancers which may warrant further investigation and consideration: 21 out of 74 or 28.4% have shown significant IHC SSTR2 overexpression in tumors diagnosed by standard criteria as primary solid and hematologic malignancies. The pathologic diagnosis indicates these to not be that of small cell or large cell neuroendocrine carcinomas [7, 8].

Discussion

Current studies indicate that cancers with neuroendocrine differentiation are increasing at alarming rates, particularly in the case of breast cancer [5,7]. Breast cancer is the primary cause of death among Western women, with primary Neuroendocrine Breast Cancer (NEBC) being a rare subtype representing only two to five percent according to the World Health Organization (WHO)

Additionally, due to the lack of proper assessment, evaluation, and testing, it is then difficult to treat because immunohistochemical neuroendocrine markers aren’t usually tested in relation to breast cancer [9]. IHC stains such as NSE, chromogranin-A, synaptophysin, and INSM1 (Insulinoma associated protein 1 - a relatively new marker of neuroendocrine differentiation) can be used to diagnose neuroendocrine cancers. Some studies indicate that this testing may be non-specific, especially those tumors without the typical histomorphological and immunophenotypical appearance [10]. The reported incidence among breast cancer varies between 1% and 18% depending on the specific diagnostic criteria used in each analytical series [11, 12]. This variation is most likely the result of there being no well-established evaluation and diagnostic criteria since no official guidelines exist for the treatment of NEBC. Conventional breast cancer therapy is still the treatment protocol, although some studies are now providing alternate options for targeted treatments [9]. Studies done previously report combination therapy, including SST (cytotoxic somatostatin) analogs in metastatic NEBC, have demonstrated some benefit with the studies using higher doses yielding more beneficial results [9]. At this time, there are no records of current clinical trials being performed or investigated. Past published peer-reviewed articles supporting this clinical approach are broad, yet helpful regarding future work that may be investigated [8, 13].

Conclusion

The use of IHC SSTR2 screening may be an independent indication for PET scan confirmation of somatostatin analog avidity and predictive of its potential to be an actionable target in the clinical setting. It can possibly even preclude the need for sophisticated imaging evaluation and warrant treatment. SSTR2 is overexpressed in neuroendocrine tumors (NET) and can help predict response rates to targeted radiopeptide therapy. SSTR2 expression can also play a role in guiding imaging studies and treatment of choice. These results are a cost-effective and practical indicator of future prognostic accuracy. Arguably, SSTR2 IHC and radiographic overexpression in malignancies is not routinely tested for in terms of neuroendocrine differentiation which suggest many cancers are left undiagnosed. To be able to provide the appropriate treatment protocol for each specific type of cancer, it is essential that we as practitioners use all the available resources at hand to provide the best opportunity for proper diagnosis and treatment outcomes. The use of additional histopathologic testing may be useful to warrant the utilization of somatostatin analogs and radioligand therapy, particularly from refractory, or standard conventional treatment resistant cancers. Further evaluation through clinical trials should be the subsequent step in considering and implementing IHC SSTR2 testing and 64 Cu-DOTATATE PET/CT or Ga-68 DOTATATE (Gallium-68 DOTATATE) PET/CT as warranted in clinical practice to address the needs of underdiagnosed NET’s. This case study is a beginning to aid in diagnosing many neuroendocrine tumors that are left undiagnosed or wrongly diagnosed.

Funding

There was no external funding provided to support this study or publication.

Ethics and Patient Consent

Patient consent was obtained prior to the beginning of this study for participation and for all the information published within this study and report.

Publishers Note

All research, information, and claims made in this publication are those of the author’s solely, and not necessarily those of the organization(s) the authors are affiliated.

Acknowledgements

The authors are grateful for the assistance of Ethan Spat who aided in the recording of data.

Conflict of Interest

The authors declare there to be no conflict of interest regarding this study or publication of this case report.

References

  1. Oronsky, Bryan, Patrick C. Ma, Daniel Morgensztern and Corey A. Carter. “Nothing but NET: A review of neuroendocrine tumors and carcinomas."Neoplasia 19 (2017): 991-1002.
  2. Google Scholar, Crossref, Indexed at

  3. Graça, Susana, Joana Esteves, Sílvia Costa and Sílvio Vale, et al. “Neuroendocrine breast cancer." BMJ Case Rep 2012(2012): bcr1220115343.
  4. Google Scholar, Crossref, Indexed at

  5. Schnitt, Stuart J and Laura C. Collins. “Biopsy interpretation of the breast."Dtsch Arztebl Int (2009).
  6. Google Scholar

  7. Ozaki, Yukinori, Sakiko Miura, Ryosuke Oki and Teppei Morikawa, et al. " Neuroendocrine neoplasms of the breast: The latest WHO classification and review of the literature."Cancers 14 (2021): 196.
  8. Google Scholar, Crossref, Indexed at

  9. Rindi, Guido, David S. Klimstra, Behnoush Abedi-Ardekani and Sylvia L., et al. "A common classification framework for neuroendocrine neoplasms: An international agency for research on Cancer (IARC) and World Health Organization (WHO) expert consensus proposal."Modern Pathology 31 (2018): 1770-1786.
  10. Google Scholar, Crossref, Indexed at

  11. Bączyk, Maciej. “Radioisotope therapy of bone metastases."Nucl Med Rev 14 (2011): 96-104.
  12. Google Scholar, Crossref, Indexed at

  13. Hallet, Julie, Calvin How Lim Law, Moises Cukier and Refik Saskin, et al."Exploring the rising incidence of neuroendocrine tumors: a population-based analysis of epidemiology, metastatic presentation, and outcomes. " Cancer 121(2015): 589-597.
  14. Google Scholar, Crossref, Indexed at

  15.  He, Jia-Hua, Juan Wang, Yuan-Zhong Yang and Qun-Xi Chen, et al. " SSTR2 is a prognostic factor and a promising therapeutic target in glioma."Am J Transl. Res 13 (2021): 11223..
  16. Google Scholar, Indexed at

  17. Irelli, Azzurra, Maria Maddalena Sirufo, Luca Morelli and Carlo D’Ugo, et al. " Neuroendocrine Cancer of the Breast: A Rare Entity."J. Clin. Med  9 (2020): 1452.
  18. Google Scholar, Crossref, Indexed at

  19. Brunner, Philippe, Ann-Catherine Jörg, Katharina Glatz and Lukas Bubendorf, et al. "The prognostic and predictive value of sstr2-immunohistochemistry and sstr2-targeted imaging in neuroendocrine tumors." Eur J Nucl Med Mol Imaging 44 (2017): 468-475.
  20. Google Scholar, Crossref, Indexed at

  21. https://www.news-medical.net/whitepaper/20220520/Examining-SSTR2-as-a-potentialtherapeutic-target-for cancertherapy.aspx#:~:text=SSTR2%20is%20extensively%20expressed%20in%20solid%20tu
  22. https://www.cancer.net/cancer-types/neuroendocrine-tumors/statistics
  23. Crossref

  24. Dasari, Arvind, Chan Shen, Daniel Halperin and Bo Zhao, et al. "Trends in the incidence, prevalence, and survival outcomes in patients with neuroendocrine tumors in the United States."JAMA oncology 3(2017): 1335-1342.
  25. Google Scholar, Crossref, Indexed at

Google Scholar citation report
Citations: 495

Journal of Integrative Oncology received 495 citations as per Google Scholar report

Journal of Integrative Oncology peer review process verified at publons

Indexed In

 
arrow_upward arrow_upward