GET THE APP

Diffuse Pain Abdomen in a Healthy Young Female – A Rare and Unusual Case
Clinical Infectious Diseases: Open Access

Clinical Infectious Diseases: Open Access

ISSN: 2684-4559

Open Access

Case Report - (2020) Volume 4, Issue 5

Diffuse Pain Abdomen in a Healthy Young Female – A Rare and Unusual Case

Sweety Kumari, Aishwarya Murlidharan, Bindu Prakash and Minakshi Dhar*
*Correspondence: Minakshi Dhar, Department of General Medicine, All India Institute of Medical sciences, Rishikesh, Uttarakhand, India, Tel: 9837068289, Email:
Department of General Medicine, All India Institute of Medical sciences, Rishikesh, Uttarakhand, India

Received: 05-Jun-2020 Published: 16-Oct-2020 , DOI: 10.37421/2684-4559.2020.4.130
Citation: Sweety Kumari, Aishwarya Murlidharan, Bindu Prakash and Minakshi Dhar. "Diffuse Pain Abdomen in a Healthy Young Female – A Rare and Unusual Case". Clin Infect Dis 4 (2020) doi: 10.37421/jid.2020.4.130
Copyright: © 2020 Dhar M, et al. This is an open-access article distributed under the terms of the Creative Commons Attribution License, which permits unrestricted use, distribution, and reproduction in any medium, provided the original author and source are credited

Abstract

Primary peritonitis in a healthy young adult has become quite a rare entity in this modern antibiotic era. A case of a 25 years old healthy woman with primary pyoperitonis has been discussed here, who had presented to us with complaints of abdominal pain, high-grade fever and vomiting for a week and subsequently she developed gradual decrease in urine output and generalized edema for last 3 days. Abdominal examination revealed diffuse tenderness and guarding, a diagnosis of primary peritonitis was made based on abdominal imaging and later, fluid analysis and culture reports suggested it to be a case of pyo-peritoneum. Quick diagnosis and prompt management saved her life. Unnecessary delay could have detrimental in such case scenario. High index of suspicion and prompt management is necessary to prevent surgical intervention and death.

Keywords

Primary peritonitis • Pyo-Peritoneum • Diffuse abdominal pain

Introduction

Peritonitis is an inflammation of the serosa membrane lining the abdominal cavity and the organs contained therein. Primary peritonitis is the infection of the peritoneal cavity not related to other intra-abdominal abnormalities, but due to bacteria or other causes like chemicals, irradiation, and foreign-body injury [1]. Its prevalence has plummeted in modern antibiotic era, as antibiotics are widely available and are prescribed empirically many a times [2]. These abdominal emergencies are rarely established preoperatively, and mostly end up with laparoscopic or open abdominal exploration with or without appendectomy [3].

Here we present a case of E. coli mediated severe primary peritonitis in a previously healthy young female, who presented to us with pyo-peritoneum, pleural effusion, Acute Kidney Injury, septic shock and was managed duly and remained healthy after a month of follow up. Workup done in search of finding an organism, commensurate with the pus collections, came back sterile. Only a few cases of severe primary peritonitis without any underlying factors in young population have been reported in the modern antibiotic era. Hence, a consideration of this diagnosis is of utmost importance for favorable outcomes in select patients.

Case Summary

A previously healthy, 25-year-old lady was brought by her paramour to the emergency department with the complaints of diffuse pain abdomen, continuous fever (recorded up to 1030F) for last 7 days associated with multiple episodes of vomiting. She had also the history of diminishing urine output with generalized body swelling over the past 3 days - 4 days.

Her pain abdomen was insidious in onset, gradually progressive, diffuse dull aching which worsened on movements. Vomiting was non bilious, nonprojectile, associated with nausea, with a total of 8 episodes-10 episodes per day. Her stools did not contain any noticeable blood or mucous. She denied suffering from any prior illness or disability, prior hospitalization, surgery, trauma or tuberculosis. She also denied having any illicit substance abuse, addiction/s or medications. Her menstrual and obstetric history was unremarkable.

The lady apparently had left her home with her 2 years old kid, to escape domestic abuse at the hands of an alcoholic husband. For the last 1 year, to make ends meet, she had taken up to selling some toys at the railway station. She admitted to having multiple sexual partners in the past, but for last 6 months, she is staying with a manual labourer, the one who brought her to the hospital.

At the time of presentation in the emergency, she was slightly confused and was hemodynamically unstable with BP of 80/50 mmHg, pulse of 112 bpm, RR of 26/min, SpO2 90% in ambient air. Physical examination revealed diffusely tender abdomen and guarding was present with positive rebound sign; bowel sounds were sluggish. On chest examination, crackles were heard bilaterally, with decreased air entry in right lower lung field.

Arterial blood gas analysis revealed metabolic acidosis with raised lactate level. She was started on IV fluids and empirical antibiotics. Sepsis bundle protocol was followed. Routine investigations were sent including two blood cultures and chest X-ray.

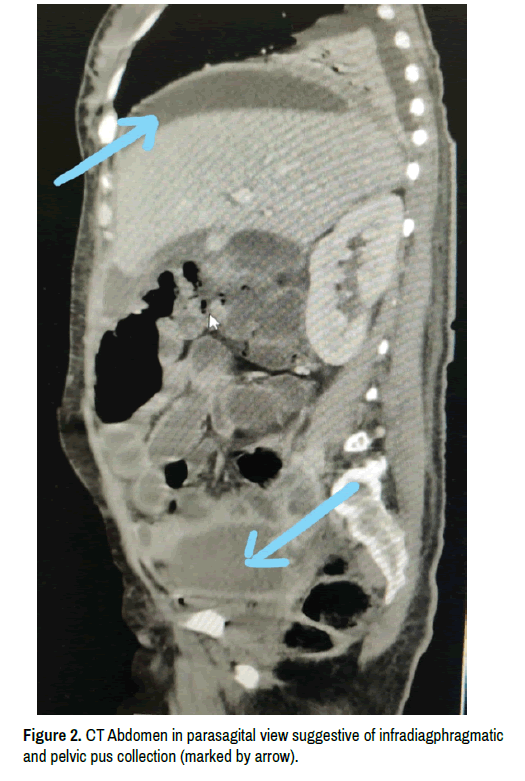
Laboratory workup was suggestive of high TLC-22,000/mm3 (predominantly neutrophil), low Hb-7.6 gm%, (microcytic, hypochromic on smear), mildly deranged renal function tests (raised serum Creatinine and blood urea levels-1.8 mg/dl & 82 mg/dl respectively). Serum electrolytes were normal. Liver function profile was normal. Fasting and post prandial blood sugar was within normal limit. USG abdomen was suggestive of two intra-abdominal fluid collections (peri-hepatic and pelvic region) with normal echo-texture of liver, without evidence of intestinal perforation or solid organ abscess. CECT abdomen showed a large collection tracking down from the peri hepatic region to the pelvis. There was nothing else on imaging to suggest the source of the collections. USG guided diagnostic tapping of the collections was done and pigtail catheter insertion was done for therauptic pus drainage.

The fluid was thick, yellow brown in colour and foul smelt. The analysis of fluid from both collection (pelvic and peri-hepatic) showed infective status with cells >10,000/mm3 (polymorphic predilection). Culture & sensitivity report showed presence of E. coli in significant numbers and sensitive to Doxycycline, Ertapenem and Gentamicin. Second culture from the peri-hepatic collection also yielded similar growth and overlapping drug sensitivity status.

ADA, AFB and CBNAAT analysis of the collection showed no abnormality. Common tropical causes of fever (including Dengue, Malaria, Typhoid) were ruled out. S. Lipase-25.5, S. Amylase- 64.6. Routine urine examination was WNL (no pyuria or proteinuria). 2D Echocardiography showed normal cardiac study. Chest radiography showed no obvious abnormality, except minimal collection in right pleural cavity (later on found to be extudative in nature). HIV, HCV and HBV markers were negative. CA-125 and CA-19.9 were within normal range. 2 samples of High vaginal swab culture came back sterile. Blood and urine cultures were also sterile. Patient was managed in line of septic shock with IV Fluids, inotropes, antibiotics. Multidisciplinary approach was taken. The Surgery team concurred to continue the management on the same lines, whilst keeping a close watch. Gynaecology consultation was taken and they could not ascertain any obvious evidence for any contributing factor (no per-vaginal discharge, no adnexal abnormality). Pig tail catheter drained approximately 750 ml thick turbid fluid. A second drain was inserted in the peri hepatic collection and around 300 ml of similar fluid was drained. Antibiotics were changed as per the culture- sensitivity reports- doxycycline, gentamicin and metronidazole were started in appropriate dose regimes.

The patient started improving clinically and biochemically and after eight days of in hospital care, she was discharged on day 9 with normalisation of all biochemical parameters. She came back on follow up just once, 4 months later and she was well in all respects.

Limitations

The overall health status of the patient could have been better ascertained beyond the window when she was with us, to establish that she had no definitive background condition or any subsequent developments had we been able to establish a longer follow up. It would have helped to establish the primary part of the diagnosis on an even more solid ground.

Discussion

Here we have documented a case of primary bacterial peritonitis caused by E. coli in a healthy young female. This condition is very rare in adults without preexisting cirrhosis, ascites, autoimmune disease or immune compromised state [1]. Nowadays, it’s seen to occur almost exclusively in women of reproductive age group and in most of them, genital tract is a probable source [2]. Other sources of infection may be foci within the respiratory and urinary system [3], but in our case, there was no definitive evidence of genitourinary or respiratory tract infection. Her consecutive high vaginal swabs reports were sterile as did her blood and urine culture reports. There was no evidence of any malignancy, HIV infection, post- splenectomy state, steroid use/abuse, diabetes mellitus, autoimmune or connective tissue disorder or any obvious immune-suppressed/compromised state. Similarly there was no evidence of gut perforation or any history suggestive of previous G.I. surgery, abortion, prior hospitalization or prior similar complaints. As in this patient, since no apparent foci could be ascertained, hence a diagnosis of primary peritonitis was arrived although she belongs to a very poor socio economic status and had low hemoglobin, but we could not find other evidence of severe malnutrition. Her albumin level was normal (3.8 gm/dl); BMI was 23.5 kg/m2. Anemia workup was suggestive of iron deficiency (MCV-68 fl, ferritin- 20 ng/ml, transferring saturation- 15%, and corrected recticulocyte count 1.5%), which improved with oral iron supplement.

Spontaneous bacterial peritonitis pathogenesis has not been fully elucidated, but it is assumed that the infection is caused by bacteria penetrating from the gastrointestinal tract lumen into the mesenteric lymph nodes, and from the here into the portal circulation [4]. In the peritoneum, entrance of bacteria activates humoral and cellular response [5], which triggers inflammation and results in fluid shifts into the peritoneal cavity. This fluid accumulation, along with decreased intestinal motility, leads to abdominal distention. In severe cases, this 3rd space fluid displacement results in hypovolemia. Fever, vomiting, and diarrhea may also be compounding the fluid imbalances and aggravate hypovolemia. Untreated hypovolemia can result in decreased cardiac output, pre-renal AKI and, ultimately, hypovolemic shock. (Like in our case).

Although this condition is rare in healthy people, but the potential causative organisms include group A Streptococcus, S. Pneumoniae, no enteric Salmonella. spp, Neisseria Meningitidis and F. Necrophorum [6]. E. coli is one of the rare cause of primary peritonitis in adults without underlying liver disease or immuno compromised states (CKD, Cirrhosis, HIV, hypo- albumin states or in patients on chemotherapy or on peritoneal dialysis), we got this as a causative agent.

The management of this type of severe peritonitis is complex and requires a multidisciplinary approach, with collaboration of internist, interventional radiologist and surgeon for the better care. Clinical judgment is the key point. Depending on the patient’s general condition, we may need the emergency laparotomy and ICU care. Special care should be given for the elderly and anemic people, regarding fluid management. Common antimicrobials of choice for community-acquired peritonitis include cephalosporin and Fluoroquinolones. Health care acquired peritonitis may require treatment with broad-spectrum antimicrobials such as Carbapenem [7].

Learning Objectives

1. Primary peritonitis is rare in healthy young adults. Females, in the reproductive demographic are somehow more frequently afflicted.

2. Pyo-peritoneum is a further rare presentation of primary peritonitis.

3. Appropriate identification and prompt specific management of acute bacterial peritonitis are keys to better outcomes and prevents unnecessary surgical intervention.

4. Management with intravenous fluid and early removal of source of sepsis along with early initiation of appropriate intravenous antibiotics is the key of management.

Conclusion

Primary care physicians should be aware about the possibility of primary peritonitis in young adults (females predominantly) and its relatively simplistic management algorithm for favorable outcomes, if instituted timely (Figure 1 & Figure 2).

clinical-infectious-diseases-effusion

Figure 1. Chest x-ray in AP view, suggestive of minimal pleural effusion ( R > L). Lung parenchyma looks normal.

clinical-infectious-diseases-suggestive

Figure 2. CT Abdomen in parasagital view suggestive of infradiagphragmatic and pelvic pus collection (marked by arrow).

Informed Consent

Written informed consent was taken from the next of kin of the patient for the publication of this case report.

Author Contributions

Sweety Kumari, Aishwarya Murlidharan, Bindu Prakash searched the literature, collected the data, drafted, reviewed, and approved the study. Minakshi Dhar statistically, critically reviewed, and approved the study. All authors have read and approved of the final manuscript.

References

arrow_upward arrow_upward