GET THE APP

A Unique Presentation of an Orphan Disease: The Effects of Hemosiderosis on Kidneys in Context of Alpha Thalassemia
Journal of Nephrology & Therapeutics

Journal of Nephrology & Therapeutics

ISSN: 2161-0959

Open Access

Case Report - (2024) Volume 14, Issue 6

A Unique Presentation of an Orphan Disease: The Effects of Hemosiderosis on Kidneys in Context of Alpha Thalassemia

Osama AbdelRaof AlKhamis1, Ali Jameel Mohamed1*, Ali Hassan AlSaffar2, Mohammad Amin Alsalam3 and Ahmed Shaker AlNasrullah3
*Correspondence: Ali Jameel Mohamed, Department of Nephrology, Eastern Health Cluster, Dammam, Saudi Arabia, Email:
1Department of Nephrology, Eastern Health Cluster, Dammam, Saudi Arabia
2Department of Nephrology, King Khalid University Hospital, Riyadh, Saudi Arabia
3Department of Nephrology, Department of Nephrology, Saudi Arabia

Received: 24-Nov-2024, Manuscript No. jnt-24-153203; Editor assigned: 26-Nov-2024, Pre QC No. P-153203; Reviewed: 09-Dec-2024, QC No. Q-153203; Revised: 13-Dec-2024, Manuscript No. R-153203; Published: 20-Dec-2024 , DOI: 10.5281/zenodo.14590772
Citation: AlKhamis, Osama AbdelRaof, Ali Jameel Mohamed, Ali Hassan AlSaffar and Mohammad Amin Alsalam, et al. “A Unique Presentation of an Orphan Disease: The Effects of Hemosiderosis on Kidneys in Context of Alpha Thalassemia.” J Nephrol Ther 14 (2024): 541.
Copyright: © 2024 AlKhamis OA, et al. This is an open-access article distributed under the terms of the Creative Commons Attribution License, which permits unrestricted use, distribution and reproduction in any medium, provided the original author and source are credited.

Abstract

Renal involvement and proteinuria in the setting of hemosiderosis are regarded as exceptionally rare and even more unusual to be reported in the context of alpha thalassemia owing to the underdiagnosis of these cases and the renal manifestations being non-standard presentation. This study reports to you a case of 36 years-old female, who was previously known to have alpha-thalassemia and presented with an unexplained proteinuria despite thorough investigations. Extensive lab work failed to unravel the trigger for her manifestations, which pressed for the need for further evaluation via kidney biopsy and the biopsy uncovered severe iron deposition within the renal structure suggesting that it might be the effect of hemosiderosis on kidneys. This case was initially managed by Valsartan and then shifted to Empagliflozin to control her persistent proteinuria and it managed to some extent, but it still was progressive. This case emphasizes the importance of early consideration of chronic kidney disease screening in cases of chronic hemolytic anemia including alpha thalassemia for earlier intervention and possible prevention of progressive decline in kidney functions.

Keywords

Alpha thalassemia • Hemoglobin H disease • Renal hemosiderosis • Proteinuria • Chronic kidney disease • Kidney biopsy

Introduction

Previously alpha thalassemia had been a local dilemma where Malaria used to be an endemic burden, but due to the recent ethnic migration, this disease slowly became a global issue even in zones like North America and Europe [1]. Alpha thalassemia is a hereditary hematological disorder in which there's impaired synthesis of the alpha-globin chains resulting in either their absence or reduction. The four genes responsible for producing these alpha chains are in the 16th chromosome and depending on the pathophysiological process on the molecular levels we get diverse and distinct clinical forms of this disease [1]. The exact correlation between the genotype and phenotype is not fully clarified yet. Still, it is recognized that this spectrum includes silent carriers who are found to be clinically asymptomatic, thalassemia trait who usually present with mild microcytic hypochromic anemia, Hemoglobin H disease who usually survive despite their moderate to severe anemia without any need for transfusions unless they develop abrupt declines in their hemoglobin levels expectedly following viral infections as a result of hemolytic or aplastic crisis and finally Hemoglobin Bart disease which is at present without effective treatment regardless of intrauterine transfusion attempts and gene therapies that are currently under trails [1]. Up until now, hemoglobin electrophoresis has been widely used as a reliable diagnostic tool for identifying various hemoglobinopathies. However, molecular studies-more especially, Polymerase Chain Reaction (PCR) examination of the alpha-globin gene-are now the most accurate and definitive method for identifying alpha thalassemia since the DNA era [2]. This is particularly relevant in the case of alpha thalassemia, where the alpha globin chains are essential for the synthesis of all hemoglobin types-Hemoglobin A1, Hemoglobin F and Hemoglobin A2 leading to a drop in all types of hemoglobin and making hemoglobin electrophoresis often inconclusive or difficult to interpret in alpha thalassemia cases [2]. As a result, molecular diagnostics which allow for precise identification of gene deletions or mutations affecting alpha chain production have become the gold standard for diagnosing this condition. During their course of disease, many patients end up developing hemosiderosis due to various mechanisms including increased intestinal absorption of iron secondary to the ineffective erythropoiesis and release of free iron during hemolysis even if the patient is not transfusion dependent [3]. As of now, the involvement of cardiac, endocrine and pulmonary systems in cases of hemosiderosis has been thoroughly explored in literature. Nevertheless, only a few data discussing renal complications is available and these data are often found to pay less attention to renal complications such as proteinuria among patients with Alpha Thalassemia. Consequently, this case holds significant importance, being one of the few reported cases of renal hemosiderosis in patients with alpha thalassemia. Our study has the potential to contribute essential insights to the knowledge about the effects of hemosiderosis on kidneys, especially since outcomes in such cases could be unfavorable and preventable at the same time. Noteworthy to mention that we have already established compelling evidence in the literature about persistent proteinuria being a major risk factor for the natural progression to renal fibrosis and chronic kidney disease, owing to the process of proteinuria being injurious to the nephron structure [4]. From this perspective, proteinuria is not only an indicator of kidney damage but also a predictor for declining kidney function. Therefore, patients with proteinuria from all different causes will enormously benefit from earlier recognition and intervention [4].

Case Presentation

Patient’s history

This case involves a 36-year-old single Saudi female who has never smoked before and is not known to be diabetic or hypertensive. Her family history was also devoid of any instances of kidney disease or dialysis treatment. When asked about it, the patient confidently denied any alcohol intake or drug abuse during her lifetime. Furthermore, it is important to highlight that the patient was not accustomed to regular intake of Non-Steroidal Anti-Inflammatory Inhibitors (NSAIDs) but used paracetamol on rare occasions. She was medically free other than having Hemoglobin H disease which she was diagnosed with almost 3 years ago from the initial presentation to our facility. Regarding the course of her hematological disorder, the patient didn't need any transfusions till the age of 33, when she became transfusion-dependent for a period estimated as less than a full year and the required frequency was about every 2-3 weeks. After that, her hemoglobin levels became stable independent of transfusions except when anemic symptoms increased. Her home medications included only Folic acid and vitamin D supplements. She was also receiving a weekly dose of 120mg of subcutaneous Darbepoetin alfa for her anemic symptoms. When she was referred to us, the reason for the referral was persistent isolated proteinuria. At that moment, the patient never experienced any urinary changes before in terms of appearance, color or odor. Nor were manifestations consistent with recurrent urinary tract infections such as urgency, frequency or dysuria. Also, she didn’t have any symptoms that might hint at the presence of a volume overload like lower limb edema, abdominal swelling, weight gain or nausea and vomiting. Autoimmune manifestations such as constitutional symptoms, oral ulcers, alopecia, skin rash, arthralgia\arthritis, Raynaud’s phenomena, dysphagia, progressive muscle weakness, oral dryness, new onset seizures and ocular events were all negative. Obstetric complications such as recurrent pregnancy loss, IUFD and abortions couldn’t be assessed as she was never pregnant or in a relationship.

Physical examination

On examination her BP was at 124\84 mmHg, temperature at 36.7 oC and PR at 70 beats\minute with oxygen saturation of 99% on room air. She was not in respiratory distress, well built without any signs of cachexia or malnutrition, fully conscious, alert and oriented. No lower limb edema, abdominal swelling, clubbing or skin rash was noted by the examiner. By auscultation there were normal heart sounds, no appreciated murmurs and equal breathing intensity on both sides without any additional sounds. The abdomen was soft, lax and non-tender without organomegaly.

Laboratory results

Creatinine and hemoglobin levels were summed up (Tables 1 and 2); urine analysis (Table 3) and comprehensive lab work (Table 4) were done in search of risk factors or findings that may guide to reaching for the cause of persistent proteinuria.

Table 1: Demonstrating creatinine levels using the unit mg\dL.

December 2021 January 2022 February 2022 April 2022 May 2022 June 2022 August 2022 May 2023
69 65 58 69.4 81 92 84 105

Table 2: Demonstrating hemoglobin levels using the unit g\dL.

October 2011 May 2018 October 2020 September
2021
December
2021
October 2022 September
2023
5 6.1 4.4 5.8 6.1 4.41 6.6

Table 3: Demonstrating results of urine examination.

Appearance Yellow, clear
RBCs 0-5
WBCs 0-5
Crystals -
Specific gravity 1.010
Leukocyte esterase Negative
Nitrites Negative
pH 5.5
Blood +++
Glucose Negative
Albumin +
Bacteria -
Yeasts -
Casts -
Squamous epi cells +
Non Sq Epi cells ++

Table 4: The results of the comprehensive lab work.

Test Result Reference Range
Creatinine 59 µmol/L 45 – 90 µmol/L
Albumin 41 g/L 35 – 50 g/L
HbA1C 4.8% 4-5.6%
Serum ferritin 1478 ng\ml 20-200 ng\ml (in women)
24h Urine Protein 273 mg/day <150 mg/day
HIV ELISA Negative -
Anti HCV Negative -
HBsAg Negative -
HBcIgM Negative -
LKM 1 Negative -
AMA Negative -
Parvovirus B19 IgG/IgM Negative -
ANCA Negative -
B2 Glycoprotein I Negative -
Anticentromere Negative -
Anticardiolipin Unavailable -
Lupus Anticoagulant Negative -
HIV Negative -
Liver Enzymes Within normal limits -
CMV & EBV Antibodies Negative -
Total IgG 153 g/L 70 – 160 g/L
Total IgG 1430 mg/dL 700 – 1600 mg/dL
Anti-CCP Negative -
Rheumatoid Factor (RF) <20 IU/mL <20 IU/mL

Renal ultrasound

Renal ultrasound was conducted, showing findings of normal sized kidneys, normal echogenicity, no hydronephrosis or stones and free urinary bladder outline and lumen.

Renal MRI

It was done as an attempt to assess iron load in the kidneys’, however no published references were suitable for calculations. However, it is worth mentioning that the hepatic iron load assessment using MRI revealed severe hemosiderosis. Cardiac MRI didn’t detect any iron load.

Renal biopsy

Since the laboratory and imaging findings failed to provide clear guidance toward a specific cause for her persistent proteinuria, renal biopsy had to be considered. After receiving consent from the patient, three ultrasound-guided core kidney biopsies were obtained without any subsequent complications.

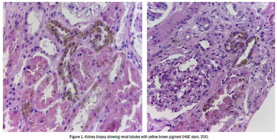
The histopathology report demonstrated maintained glomerular architecture and the absence of any active glomerular pathology, with evidence suggestive of hemosiderosis affecting the renal tubules as shown in the biopsy (Figures 1-3).

nephrology-therapeutics-kidney

Figure 1. Kidney biopsy showing renal tubules with yellow brown pigment (H&E stain, 20X).

nephrology-therapeutics-glomeruli

Figure 2. Image on the left showing normal glomeruli, renal tubular epithelium with yellow brown pigment deposition (PAS stain, 20X). Picture on the right with similar findings (Trichrome stain, 40X).

nephrology-therapeutics-pigment

Figure 3. Showing renal tubular epithelium pigment positive for Iron stain (Iron stain, 10X, 20X).

Management and follow up

In pursuit of effectively managing her proteinuria which is injurious to her kidney and could lead to further progression of her disease, she was prescribed initially 80mg dose of Valsartan, which was then increased to 160mg. However, due to frequent episodes of hypotension, we had to shift her to 10mg Empagliflozin. The course of her proteinuria is explained below (Table 5).

Table 5: Data regarding serial measurements of protein\creatinine % in response to treatment.

10-8-2022 80mg Valsartan is started
21-08-2022 P\C %: 500 mg
25-12-2022 P\C %: 576 mg
28-12-2022 Valsartan dose increased to 160 mg
9-10-2023 P\C %: 1000 mg
12-02-2024 P\C%: 680 mg
14-02-2024 Shifted to 10 mg Empagliflozin
24-04-2024 P\C%: 1600 mg

Results and Discussion

In brief, this case addressed an ambiguous proteinuria in a 36-years-old female with insignificant medical profile except for being known to have alpha thalassemia. All of the insights obtained from history taking, physical examination and investigations couldn’t imply any possible cause justifying her proteinuria, including glomerular diseases whether primary or secondary to an autoimmune disease or systemic disease. This reveals the uniqueness of this case, as we can safely assume that the proteinuria is probably caused by renal hemosiderosis. This unusual presentation of alpha thalassemia is not just supported by the absence of other causes, but also proven by the examined renal biopsy showing clear iron deposition which adversely impacted both tubular and glomerular function. After the literature review, the analysis concluded that only a limited number of similar cases have been reported and most of them were related to beta thalassemia and other hemolytic anemias rather than alpha thalassemia. Other case reports were found to present mainly with subnephrotic range proteinuria and normal serum creatinine. Furthermore, these reports were always supported by biopsy evidence of iron deposition in renal tubules [5]. One of the gaps and limitations that remains in this case is the absence of a definitive MRI assessment of the iron in the kidneys. It is unfortunate, as this could have served as an invaluable tool for evaluating such cases. Estimation of iron load using MRI is widely used today to assess for severity of iron deposition in the heart and liver but remains a potential asset for future advancements to diagnose and monitor iron load in the kidneys [6]. In the future, the possible introduction of biological markers such as uNGAL, uNAG, uKIM-1 and Cystatin-C might also contribute to the early detection and prevention of kidney disease in thalassemia cases validating the importance of further investigation and research in this field [7]. Some studies even recommended the use of KIM1 and regarded it as reliable evidence for early detection of decline in kidney function in thalassemia patients with subclinical renal disease [8]. Moreover, these biological markers were found to be even better than conventional methods such as measuring BUN and serum creatinine for screening [9]. Serum ferritin was also found to correlate with these biological markers, serving as a key to predicting potential renal involvement [9]. This report should additionally encourage and emphasize the pressing need for further research on different iron chelation therapies to point out the optimal choice of treatment out of the available agents after studying renal hazards and benefits, owing to the fact that actually many of these iron chelations therapies such as deferiprone and DFO could be nephrotoxic or even induce AKI and acute changes in renal functions which have been reported in almost 40% of cases [9]. As for now, despite being harmful to the kidney with dose-dependent nephrotoxicity, the safest option remains deferasirox as long as it is being used within usual doses [9]. In summary, this is a subject worth researching and still lacking major developments in terms of defining appropriate methods for early diagnosis and treatment options that are characterized by safety and efficacy.

Conclusion

The key takeaway from this clinical lesson is to highlight the importance of early recognition of renal involvement in cases of alpha thalassemia. Additionally, clinicians should consider preventing systemic hemosiderosis using an iron chelation agent whenever indicated. At last, this case uncovered some gaps in the literature, most importantly the absence of published references to assess renal iron using MRI.

Acknowledgment

None.

Conflict of Interest

None.

References

  1. Galanello, Renzo and  Antonio Cao. "Alpha-thalassemia." J Genet Med 13 (2011): 83-88.
  2. Google Scholar, Crossref, Indexed at

  3. Brancaleoni, V, E. Di Pierro, I. Motta and M. D. Cappellini. "Laboratory diagnosis of thalassemia." Int  J Lab Hematol 38 (2016): 32-40.
  4. Google Scholar, Crossref, Indexed at

  5. Longo, Dan L. "Harrisons principles of internal medicine." (2012).
  6. Google Scholar, Indexed at

  7. Park, Cheol Ho, Hyung Woo Kim, Jung Tak Park and Tae Ik Chang, et al."Bidirectional association between SBP variability and arterial stiffness in patients with chronic kidney disease: Findings from KNOW-CKD study." J Hypertens 41 (2023): 90-98.
  8. Google Scholar, Crossref, Indexed at

  9. Leonardi, P. and A. Ruol. "Renal hemosiderosis in the hemolytic anemias: Diagnosis by means of needle biopsy." Blood 16 (1960): 1029-1038.
  10. Google Scholar, Crossref

  11. Monteagudo, C, D. S. Rodriguez and I. P. Povedano. “Cortical iron deposition is associated with kidney fibrosis and can be assessed by magnetic resonance imaging.” J Am Soc Nephrol 2023; 34(11S):1177.
  12. Crossref, Indexed at

  13. Romadhon, Pradana Zaky, Ami Ashariati, Siprianus Ugroseno Yudho Bintoro and Mochammad Thaha, et al. "Markers of renal complications in beta thalassemia patients with iron overload receiving chelation agent therapy: A systematic review." J Blood Med (2022): 725-738.
  14. Google Scholar, Crossref, Indexed at

  15. Nafea, Ola E, Marwa Zakaria, Tamer Hassan and Sherif M. El Gebaly, et al. "Subclinical nephrotoxicity in patients with beta-thalassemia: Role of urinary kidney injury molecule." Drug Chem Toxicol 45 (2022): 93-102.
  16. Google Scholar, Crossref, Indexed at

  17. Zeid, Maha Y. Kamal, Hoda MA Hassab, Doreen N. Younan and Omneya Arab. "Study of the effect of different iron-chelating agents on early renal glomerular and tubular function markers in children with beta-thalassemia." Alexandria J Pediatr 32 (2019): 116-123.
  18. Google Scholar, Crossref, Indexed at

Google Scholar citation report
Citations: 784

Journal of Nephrology & Therapeutics received 784 citations as per Google Scholar report

Journal of Nephrology & Therapeutics peer review process verified at publons

Indexed In

 
arrow_upward arrow_upward