GET THE APP

Maxillofacial Fibrous Dysplasia-Diagnosis, Treatment and Reconstruction with a Personalized, 3D-Printed Titanium Implant: A Case Report
Neurological Disorders

Neurological Disorders

ISSN: 2329-6895

Open Access

Research - (2022) Volume 10, Issue 7

Maxillofacial Fibrous Dysplasia-Diagnosis, Treatment and Reconstruction with a Personalized, 3D-Printed Titanium Implant: A Case Report

Anna Dudzinska-Filkiewicz1,2,3, Julianna Laczkowska-Serafin4,5, Joanna Krysztopik1,4,6 and Anna Zurada1*
*Correspondence: Anna Zurada, Department of Radiology, University of Warmia and Mazury, Poland, Email:
1Department of Radiology, University of Warmia and Mazury, Poland
2Department of Maxillofacial Surgery Unit, University Hospital in Olsztyn, Poland
3Co-owner of Private Practice, Alfadental, Dental Clinic, Poland
4Alfadental, Dental Clinic, Poland
5Department of Anatomy, University of Warmia and Mazury, Poland
6Maxillofacial Surgery Unit, University Hospital in Olsztyn, Poland

Received: 01-Jul-2022, Manuscript No. jnd-22-68466; Editor assigned: 04-Jul-2022, Pre QC No. P-68466 (PQ); Reviewed: 18-Jul-2022, QC No. Q-68466; Revised: 25-Jul-2022, Manuscript No. R-68466; Published: 01-Aug-2022 , DOI: 10.4172/2329-6895.10.7.502
Citation: Dudzinska-Filkiewicz A, Laczkowska-Serafin J, Krysztopik J, Zurada A. â??Maxillofacial Fibrous Dysplasia-Diagnosis, Treatment and Reconstruction with a Personalized, 3D-Printed Titanium Implant: A Case Reportâ? J Neurol Disord 10(2022):502.
Copyright: © 2022 Zurada Anna et al. This is an open-access article distributed under the terms of the creative commons attribution license which permits unrestricted use, distribution and reproduction in any medium, provided the original author and source are credited

Abstract

Fibrous dysplasia is a rare disease belonging to benign, noncancerous bone and soft tissue related developmental disorders. A 34 year old male was admitted to the maxillofacial surgery unit to diagnose a rapidly growing, painless lesion with swelling in the right buccal region and increasing facial deformity for three months. Computed tomography (CT) images revealed an inhomogeneous, ill-defined lesion in the maxilla and maxillary sinus. Despite the lesion, the patient had no clinically significant neurological abnormalities. The lesion was diagnosed as fibrous dysplasia on the basis of preoperative tissue biopsy. The treatment of choice was complete surgical excision with immediate reconstruction and fixation of the orbital floor by implanting an alloplastic titanium mesh implant. Then, the patient underwent a secondary reconstruction of tissue defects using a personalized, 3D-printed titanium implant. Reconstruction of post resection defects covering a large craniofacial area is a challenge for maxillofacial surgeons due to the specific location of the face, especially considering psychological and technical aspects. The reconstruction method should be predictable and safe and should guarantee the best aesthetic effect, close to perfection. The ideal solution seems to be the use of an individually prepared, personalized 3D-printed titanium implant with anatomical detail mapping, which can perfectly recreate the missing tissues.

Keywords

Craniofacial fibrous dysplasia • Computed tomography • Maxillofacial resective surgery • Reconstructive surgery • Personalized titanium implants

INTRODUCTION

Fibrous dysplasia (FD) is a rare developmental disorder that belongs to a group of noncancerous bone related lesions [1]. The bone tissue affected by this disease begins to be replaced by low cell soft tissue tissue with irregularly scattered cartilage elements and bone trabeculae of various shapes and sizes [2,3]. The name ‘fibrous dysplasia’ has been known since 1938, and it was customarily used by Lichtenstein [4,5]. However, it was first described in 1891 by Von Recklinghausen [5,6]. FD accounts for approximately 5%-7% of all benign bone tumors, and its incidence is similar among males and females. Most often, FD is observed between the ages of 3 and 15, and most patients are diagnosed before the age of 30. There are three main types of FD. Monostotic FD is the most common, accounting for 75%-80% of FD and characterized by the fact that it only affects one bone. Polyostotic FD tends to occur in at least two bones, and craniofacial FD is sometimes included in the polyostotic or monostotic type, with emphasis on the subtype of cherubism. The craniofacial form of FD occurs in 25% of monostotic FD patients and up to 50% of polyostotic FD patients and describes changes limited to the bones of the viscerocranium (most commonly the maxilla and mandible) and the neurocranium (sphenoid, ethmoid, and frontal bones) [7,8].

Usually, standard computed tomography (CT) and magnetic resonance imaging (MRI) examinations are sufficient and constitute the basis for diagnosis. However, there can be diagnostic difficulties in the unambiguous interpretation of the images [9-19].

Initially, asymptomatic cases of FD do not require specific treatment. However, relieving bone pain and treating osteoporosis associated with the disease, as well as slowing or arresting progression, can be achieved with bisphosphonates, but their efficacy is modest [20]. These drugs inhibit osteoclastic bone resorption, preserving cortical bone mass and thus reducing the risk of fractures [21].

In symptomatic FD, surgery is necessary, and its extent depends on the location and course of the disease. Craniofacial and maxillofacial surgery can play a significant role in relieving the symptoms of nerve compression. In some cases, systemic steroids may be used as an emergency therapy until the nerve is surgically decompressed, such as in the case of acute vision loss. Radiotherapy usually carries a high risk of malignant changes rather than positive therapeutic effects. Surgery may include curettage of bone lesions, bone grafting, and implantation of metal fixation rods or individual, patient related titanium mesh implants [22].

Radical tumor resection is potentially curative, but it can be difficult to achieve optimal cosmetic results after immediate reconstruction. Therefore, the goal of future treatment is individually designed implants of reconstructed bone fragments, preferably made on a template or 3D computer and based on a mirror image of a healthy, unchanged side.

Case Report

A 34 year old male was admitted to the Maxillofacial Surgery Unit, University Hospital in Olsztyn, Poland for the diagnosis of a rapidly growing lesion in the right buccal region. The patient observed that a tumor mass like lesion appeared approximately 3 months before admission to our department. The lesion grew rapidly, causing painless swelling and increasing deformation of the face, mainly in the right cheek region (Figure 1).

Journal-Neurological-Disorders-Year

Figure 1. A 34 year old male patient before surgical intervention (own material) Clinical presentation with a mass-like lesion caused swelling and deformity in the right cheek and buccal region.

Physical examination of the patient revealed a medium sized skull that was painless for percussion and palpation. At the middle level of the face, there was asymmetry, with swelling of the right maxillofacial region mainly in the cheek area. Sensory disturbances in the area of the second branch of the right trigeminal nerve (V2) were not noticed during examination. The right eyeball was slightly raised by approximately 1.5 mm in relation to the left eyeball at the pupil line. The pupils were symmetrical, however, reacting appropriately to the light. The mobility of the eyeballs was preserved. Intraoral examination revealed a complete, normal set of teeth, and the upper teeth responded properly to ethyl chloride.

The remaining medical history was without clinical significance. At that time, the patient had not undergone any diagnostic imaging examinations. Therefore, a complete preoperative imaging diagnosis was performed, starting with cone beam CT (CBCT) and then regular computed tomography of the head and neck with emphasis on the maxillofacial region to assess the extent of the lesion and the potential infiltration of adjacent structures, including the skull bones and soft tissue (Figures 2 and 3).

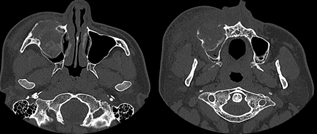
Journal-Neurological-Disorders-Bony

Figure 2. CT images: Bony window, axial section. A 34 year old male patient before surgical intervention had a mass-like lesion with interruption of the anterior wall of the right maxillary sinus and swelling and deformity of the soft tissues in the right cheek and buccal region.

Journal-Neurological-Disorders-After

Figure 3. CT images after contrast injection (frontal and sagittal CT sections). A 34 year ,old male patient before surgical intervention had a mass-like lesion with inhomogeneous contrast enhancement and interruption of the anterior wall of the right maxillary sinus, as well as swelling and deformity of the soft tissues in the right cheek and buccal region.

Head and neck CT was performed on a multidetector scanner (80 detector rows and 160 layers Aquilion Prime CT scanner) with a layer thickness of 0.5 mm in 2D axial plane images, and 3D and MIP reconstructions were made. The iodine contrast was injected into the cubital vein with an automatic syringe according to the scheme of the adopted protocol. The image data were stored as DICOM files. The first preoperative CT examination showed an extended and expansile, inhomogeneous tumorlike mass growing from the anterior maxillary wall almost completely filling the right maxillary sinus, partly sclerotic and calcified with some ground glass appearance. The only narrow line of air was visible near the posterior wall of the maxillary sinus. The dimensions of the heterogeneous tumor-like mass with polymorphic calcifications were approximately 50 mm × 36 mm × 53 mm. The tumor modeled and thinned the roof of the right maxillary sinus and curved toward the right orbit and eye, including the infraorbital canal. However, there was no pathological mass enlargement or invasion of the orbit, extra or intraconal tissue, eyeball or optic nerve. The lesion was an expanding infiltrating type of hyperplasia that caused bulging and reached the bony cortex, mostly the anterior wall of the maxillary sinus, with its local rupture. The loss of an approximately 25 mm cortical layer in the lower part of the anterior wall was noticed, with some invasion and penetration into the soft tissues of the cheek. The radiological CT images were ambiguous and locally had the features of an aggressive, malignant lesion or its malignant transformation (Figures 2 and 3). Therefore, it was decided to execute a punch biopsy under local anesthesia for histopathological analysis. Finally, the pathological examination revealed fibrous dysplasia. No pathological or enlarged lymph nodes of the head and neck region were noticed on the CT or US examination.

The pathological fibroblastic changes mostly affected the maxilla up to the zygomaticomaxillary suture. However, when retrospectively reviewing the CT images, the ground glass opacity was found to be poorly marked in the ipsilateral zygomatic bone and only slightly marked in the greater wing of the contralateral sphenoid bone and in the bilateral mandible heads, corresponding more to the polyostotic variant. An MRI examination was not performed on this patient.

Additional and complementary ultrasound examinations of the abdominal cavity and CT of the chest, abdomen and pelvis were conducted according to the oncologic protocol to exclude other potential pathologies. Only numerous, polymorphic cortical and peri-medial cysts of both kidneys (category I according to the Bosniak classification) were found. No other changes or pathologies were noticed in the remaining organs and structures of the abdomen and pelvis or chest and neck.

In the next stage of treatment, preoperatively, the method of surgery and tumor resection line were discussed in detail with the maxillofacial surgical team and planned by mapping on the 3D CT reconstruction of the maxillofacial bones. A decision was made to perform surgery using the Dieffenbach-Weber-Ferguson approach with right sided maxillectomy and tumor removal followed by segmental resection of the orbital floor and a portion of the body of the right zygomatic bone. At the same time, secondary orbital floor reconstruction was performed with an alloplastic t itanium mesh implant (Figure 4). Before extensive maxillectomy, mouth sanation was performed, and teeth 16, 15, 14, and 13 were extracted.

Journal-Neurological-Disorders-Orbital

Figure 4. Orbital floor reconstruction with an alloplastic titanium mesh implant. CT of the head (bony windows of the head, coronal CT sections) at 10 and 24 months after surgery.

The patient was under constant outpatient control for approximately 2 years. The patient underwent control CT of the head and neck at 10 and 24 months after surgery (Figure 4). During the control period, no recurrence of the disease was visualized. The patient complained only of aesthetic disorders, mainly in the form of visible asymmetry in the right infraorbital area and cheek (Figures 5 and 6). The patient did not mention any other disturbances in this region. The control CT examination was performed after 2 years. The radiological images showed no local recurrence, aberrations or progression in the postoperative bed (Figure 4).

Journal-Neurological-Disorders-Scar

Figure 5. Scar formation 1 month after the first surgery in the right maxillary and buccal regions.

Journal-Neurological-Disorders-Patient

Figure 6. Patient 6 months after the first surgery.

Finally, two years after the first operation, the patient was readmitted to the maxillofacial surgery unit for reconstruction of the extraction defect with the right maxilla and zygomatic bone using a patient specific, computer designed implant.

In the first stage of the reconstruction project, a 3D model was made by copying the healthy left side of the patient’s viscerocranial bones along with the maxilla to an extent similar to that of the previously performed maxillectomy. The reconstructed image of the 3D solid was given an anatomical shape that was as close as possible to that of the left side. Loop handles similar to the attachment of an osteo plate with a size of 1.5 mm and a screw size of 1.0 were also planned. The locations of implant fixation were planned and arranged in natural places that would strengthen bone reinforcement in the zygomatic area, around the nasomaxillary suture and tooth 13. The planning process involved close cooperation with the 3D laboratory engineers. It was important to combine and develop laboratory techniques in detail, considering the strength of the material and its biocompatibility, as well as (perhaps above all) the technical considerations for the least possibility of having to perform another surgical procedure. The implant planning process itself required an enormous amount of work for the engineers developing the design, the technologists making the design from a biocompatible material, and the surgeon planning the procedure and taking full responsibility for the treatment process. Ultimately, under the control and responsibility of the maxillofacial surgeon, a personalized implant tailored to the patient was developed and created. Thus, the idea was to reconstruct the patient's hard tissues as a skeleton to support the soft tissues, improving the patient specific facial profile and aesthetics with the least possibility of requiring another surgical correction (Figure 7).

Journal-Neurological-Disorders-Personalized

Figure 7. Images of the personalized 3D implant: APOLLO Implant Components.

After readmission to the Maxillofacial Surgery Unit, University Hospital in Olsztyn, Poland, the patient was prepared for reconstructive surgery. Under general anesthesia, another Dieffenbach-Weber-Ferguson approach was performed on the previous postoperative bed and scar (with simultaneous filling of the implant and reconstruction correction). After surgical preparation of the postresection bone substance, the 3D personalized implant was inserted and implanted. Due to precise planning, only fixation with standard bone screws to the middle level of the face was required (Figure 8). Hemostasis was achieved, and layered suturing of wounds with simultaneous plasticity was performed (Figure 9).

Journal-Neurological-Disorders-Implanted

Figure 8. Implanted personalized titanium mesh implant in the anterior part of the maxilla region.

Journal-Neurological-Disorders-Final

Figure 9. Patient 1 day after final reconstructive surgery, well healing. The custom-made implant was inserted, and the postoperative placement of skin sutures is shown.

Discussion

The monostotic, craniofacial type of FD is a rare type that occurs in approximately 25% of cases and is limited mostly to the bones of the viscerocranium or neurocranium. Fibrodysplastic changes are most often located in the maxilla and mandible, and a negligible percentage of cases are located in the zygomatic bone and may pass through the sutures [14,21-24]. The lesions initially occupy one bone of the face, and consequently, over time, they usually progress to adjacent bones through cont inuity. The classification and categorization of FD has been widely discussed by various researchers for many years, as there is no clear and precise criteria for monostotic or polyostotic forms [25-32].

Daves and Yardley described the craniofacial type of FD as the type usually involving two or more bones in the skull [33]. Similarly, Eversole et al. and many other authors included craniofacial dysplasia in the polyostotic group because they believe that this variety usually affects many bones of the skull, even if only one bone is involved at a time [28,29,31,33 ].

Gupta et al. proposed that when craniofacial FD covers a single anatomical region with bone continuity, even if it is separated by sutures, it can be considered monostotic if there is no other altered or affected bone in the body [11]. Conversely, if two separate anatomical regions of the craniofacial bones are involved, it can be classified as polyostotic craniofacial FD, whether or not any other bone is involved. In addition, when FD involves the mandible and temporal bones, it should be classified as polyostotic craniofacial FD [11,28].

In the current case, the pathological fibroblastic changes affected only the maxilla up to the zygomaticomaxillary suture, which may correspond to the monostotic variant of craniofacial FD. However, when retrospectively reviewing the CT images, the ground glass opacity was found to be poorly marked in the ipsilateral zygomatic bone and only slightly marked in the greater wing of the contralateral sphenoid bone and the bilateral mandible heads, corresponding more to the polyostotic variant.

FD lesions may be described as quiescent, nonaggressive, or aggressive and may be associated with pain, paresthesia, pathological fracture, or malignant transformation [34,35]. This aggressive type of transformation is extremely rare and occurs in less than 1% of all FD cases. However, cancer is more likely to occur in polyostotic disease, and the most common malignant histological types are osteosarcoma, fibrosarcoma and chondrosarcoma [2,36,37].

The CT scans can assist in the diagnosis and assessment of both bone and soft tissue details and are considered standard in the diagnosis of FD. In some cases, the CT examination may not be sufficient, as in the present case, when the CT examination raised doubts and did not provide an unambiguous, final answer [9-11,14-19]. The CT images of the presented case showed a very heterogeneous mass like lesion. There was discontinuity and a loss of the cortical layer in the anterior part of the pathological mass with features of infiltration of adjacent tissues, suggesting that it may have been a malignant lesion. However, the biopsy and histopathological examination clearly showed FD.

Therefore, it is recommended to deepen the diagnosis by performing an MRI examination. MRI can provide detailed information on soft tissues and is considered more sensitive to pathological changes, especially the nerves, vessels and other soft tissues, than CT. However, this is not always the case with FD. Sometimes, MR images are also difficult to interpret and raise doubts in the case of FD [11,12,19].

Usually, the clinical and radiological signs and symptoms of craniofacial FD depend on the advancement of the process and the amount of bone matrix within the lesion; there are cystic, sclerotic and mixed forms. In the earliest form, more or less clearly delimited osteolytic defects appear within the bone, and the boundary between spongy and compact bone becomes blurred. The periosteum is usually not affected [15,38,39].

With time, due to improper mineralization of dysplastic changes, seizure of the bone structure and improper arrangement of the bone trabeculae appear, which is described as orange peel or cotton wool [16]. The phase in which the trabeculae are completely destroyed is called sclerotic or densifying. The radiological image is usually described as ground glass changes [39]. In the late stage of the disease, areas of both thinning and thickening of the bones typical of the mixed phase are visible [8].

FD can also be a symptom of various syndromes, such as McCune-Albright syndrome or Mazabraud syndrome. First of these manifests as a triad, next to the polyostotic type of FD, with discoloration of the skin such as cafe au lait spots and disorders of the endocrine system [40]. This syndrome has a low gender predisposition with a slightly lower predilection for females; however, puberty disorders in patients with this syndrome are much more common in women [41]. Mazabraud syndrome is a disorder characterized by FD that can develop in a single bone (monostotic) or in multiple bones (polyostotic) and single or multiple intramuscular myxomas [42] .

The etiology of FD is not fully explained, but today, the most popular idea is that it might be connected with a mutation in the GNAS1 gene [43,44]. As a result of these postzygotic mutations, the arginine residue amino acid is replaced with either a cysteine or a histidine amino acid [45,46]. Dysplastic features are revealed in all cells affected by this mutation. Depending on the location of the mutation in the cell mass and the size of the cell mass during embryogenesis when the mutation occurs, the clinical presentation differs [44].

Clinically, craniofacial FD usually manifests as a slow growing, painless swelling mass that may lead to facial asymmetry and deformities, as was presented in the current case.

Usually, treatment of the maxillofacial form of FD includes extensive surgery and secondary reconstruction of tissue loss, sometimes supported by pharmacological treatment with bisphosphonates.

Reconstructions of postresection cavities covering a large area of the craniofacial region are a challenge for surgeons due to their specific location, especially taking into account the psychological and technical aspects. The reconstructive method should be predictable and safe, guaranteeing the best aesthetic effect. The ideal solution is the use of a personalized, titanium 3D anatomical implant, perfectly reproducing the missing tissues thanks to the use of the mirror technique, while shortening the surgical procedure as much as possible.

A wide and extensive resection of altered fibrodysplastic bone along with reconstruction using autogenous bone grafts was first described in the 1950’s and later developed in the 1970’s [5].

Interestingly, in the research carried out by Collins and Curzon, the removed fibrodysplastic bone was used as an autogenous graft for reconstruction, even though the bone was pathologically altered. Their research showed that the transplanted, pathologically remodeled bone stimulated osteogenesis and could substitute a creeping graft after resection [47]. Subsequently, methyl-methacrylate implants were reported as an alternative method in reconstruction. Historically, these kinds of implants have been fairly well tolerated. Clinical results indicate high quality and lower incidence compared to the other methods [5].

Over the following years, various materials have been used for reconstructions of craniofacial defects. Among other methods, autogenous or chondrocostal grafts have been used, followed by titanium meshes, and other alloplastic materials have been proposed. Currently, titanium mesh or 3D titanium personal implants are increasingly used around the world in surgical operations due to their corrosion resistance, low density, high rigidity, and good biocompatibility [48]. Of course, surgical materials are validated before they are approved for use in surgery.

For many patients, designing and printing custom implants has become a reality and the only solution [49]. The advantages of such personalized 3D implants are the possibility of mapping a perfect, complex shape, obtaining a stable reconstruction, and increasing the accuracy of skeleton rebuilding, which in turn reduces the risk of mismatch between allografts and prostheses and the patient’s bone. The great and decisive advantage over other therapeutic methods is the perfect regeneration and recovery of tissue in a maximally shorter operation time. Additionally, there is no need to find and prepare a donor tissue location, as in the case of autografts [50].

In the present case, after removing the tumor along with the orbital floor, the bones were reconstructed with an alloplastic, specially prepared personalized titanium implant under conditions of absolute sterility. The excellent aesthetic effect of the face and the ideally perfect support of soft tissues prove that thanks to this technique, it is possible to combine the effectiveness of the treatment with its duration. As a consequence, patients have a reduced risk of tissue infections, and the maximal therapeutic effect is obtained. The disadvantage of making a personalized 3D facial implant is its relatively high cost, requiring individualized valuation of the surgical procedure and the long time necessary to design the implant itself. Additionally, excellent cooperation with the technical and laboratory teams is essential.

Despite all these difficulties, 3D reconstruction is the method of the future. Individually personalized 3D implant templates combined with the use of increasingly popular 3D printers and biocompatible materials allow for the preparation and printing of any model for an individual patient in laboratory conditions. Prepared in such a way, a unique personalized implant model can then be implanted into the patient by maxillofacial and reconstructive surgeons.

Conclusion

The results of the conducted studies revealed numerous possibilities in the current diagnosis and treatment of FD and the need to introduce apply and develop modern methods and techniques of diagnosis and surgical treatment. Reconstruction of postresection defects and postoperative beds covering a large craniofacial area is a challenge for maxillofacial surgeons due to the specific location of the face, especially considering the psychological and technical aspects. The results of the present case study demonstrate very good clinical, radiological and patient reported outcomes for the implantation of a personalized 3D implant in the maxillofacial region after 2 years. The reconstruction method should be predictable and safe and should guarantee the best aesthetic effect, close to perfection. The ideal solution is the use of an individual, 3D-printed titanium implant with mapping of anatomical details of the selected patient, which can perfectly recreate the missing tissues.

Ethical Approval and Consent to Participate

The study has positive consent to participate and positive approval of Bioethical Committe, Warmia and Mazury Regional Chamber of Physician and Dentist in Olsztyn number L.Dz.WMIL-KB/219/2021.

Consent for Publication

The authors have a written, informed consent of the patient for his diagnosis and treatment. The patient has also signed a written informed consent form for publication of his case with the figures.

Availability of Data and Materials

The datasets used and/or analyzed during the current study are available from the corresponding author on reasonable request.

Competing Interests

The authors declare that they have no competing interests, no conflict of interest.

Funding

The full diagnosis and treatment were provided in the University Hospital in Olsztyn and University of Warmia and Mazury in Olsztyn, Poland.

Authors Contributions

All authors, Anna Dudzińska-Filkiewicz, Julianna Łączkowska-Serafin, Joanna Krysztopik, Anna Żurada developed and designed the study and contributed to the interpretation of data for the work as well as searching for the topic in literature and analysed. Maxillofacial surgery procedures and implant placement were performed by Anna Dudzińska-Filkiewicz, Joanna Krysztopik with the concept and treatment planning. The radiological images were interpreted by Anna Żurada. Anna Dudzińska-Filkiewicz and Julianna Łączkowska-Serafin prepared a draft of the work. Anna Dudzińska-Filkiewicz, Julianna Łączkowska-Serafin and Anna Żurada wrote the manuscript. Anna Dudzińska-Filkiewicz and Anna Żurada made a critical revision of the manuscript in terms of intellectual content. All authors contributed and approved the final version of manuscript.

Anna Dudzińska-Filkiewicz

Investigation, Conceptualization, Methodology and Treatment, Data Curation, Formal Analysis, Supervision, Project Administration, Writing Original Draft, Review and Editing

Julianna Łączkowska-Serafin

Investigation, Conceptualization, Data Curation, Writing Original Draft, Review and Editing

Joanna Krysztopik

Investigation, Conceptualization, Investigation, Methodology and Treatment, Data Curation, Editing

Anna Żurada

Conceptualization, Investigation, Data Curation, Formal Analysis, Supervision, Project Administration, Writing, Review and Editing

Acknowledgements

Not applicable.

References

Google Scholar citation report
Citations: 1343

Neurological Disorders received 1343 citations as per Google Scholar report

Neurological Disorders peer review process verified at publons

Indexed In

 
arrow_upward arrow_upward