GET THE APP

Expression of Embryonic Stem Cell Markers in Childhood Neuroblastoma and Glioblastoma Cancer Cell Lines
Cancer Science & Therapy

Cancer Science & Therapy

ISSN: 1948-5956

Open Access

Research - (2023) Volume 15, Issue 4

Expression of Embryonic Stem Cell Markers in Childhood Neuroblastoma and Glioblastoma Cancer Cell Lines

Mohammed Al Mohaini1,2, Fatima Al Hejji2, Zahrah Al Hamar3, Salah A. Abohelaika4, Fadhel A. Al Omar5, Nasir Al Awwad6, Ali H. Al Turaifi7 and Hussain R. Al Turaifi8*
*Correspondence: Hussain R. Al Turaifi, King Fahad Hospital Hofuf, Ministry of Health, Alahsa, P. O. Box 8527, Hofuf, 36351-4645, Saudi Arabia, Email:
1Basic Sciences Department, College of Applied Medical Sciences, King Saud bin Abdulaziz University for Health Sciences, Alahsa, Saudi Arabia
2King Abdullah International Medical Research Center (KAIMRC), Saudi Arabia
3Respiratory Therapy Department, College of Applied Medical Sciences, King Saud bin Abdulaziz University for Health Sciences, Alahsa, Saudi Arabia
4Clinical Pharmacology Department, Qatif Central Hospital, Ministry of Health, Qatif, Saudi Arabia
5Department of Pharmacology and Toxicology, College of Clinical Pharmacy, Imam Abdulrahman Bin Faisal University, Dammam, Saudi Arabia
6Faculty of Clinical Pharmacy, Albaha University, Albaha, Saudi Arabia
7College of Medicine, King Faisal University, Alahsa, Saudi Arabia
8King Fahad Hospital Hofuf, Ministry of Health, Alahsa, Saudi Arabia

Received: 28-Mar-2023, Manuscript No. jcst-23-93285; Editor assigned: 29-Mar-2023, Pre QC No. P-93285; Reviewed: 12-Apr-2023, QC No. Q-93285; Revised: 17-Apr-2023, Manuscript No. R-93285; Published: 24-Apr-2023 , DOI: 10.37421/1948-5956.2023.15.586
Citation: Alturaifi, Hussain R., Fatima Alhejji, Zahrah Alhamar and Salah A. Abohelaika, et al. “Expression of Embryonic Stem Cell Markers in Childhood Neuroblastoma and Glioblastoma Cancer Cell Lines.” J Cancer Sci Ther 15 (2023): 586.
Copyright: © 2023 Alturaifi HR, et al. This is an open-access article distributed under the terms of the Creative Commons Attribution License, which permits unrestricted use, distribution, and reproduction in any medium, provided the original author and source are credited.

Abstract

Cancer in childhood ages have significant differences from adult cancer in the incidence rate, type and location of cancer, pathophysiology, progression of tumor, management plan and recurrence rate. Cancer stem cells (CSCs) theory hypothesize the presence of small subset of cells within tumor mass that have the ability to renew them cells and differentiate to multiple cell types. In addition, these cells resist conventional chemotherapy and give rise new tumor cells causing relapse and metastasis. We tried to study the expression of pluripotent transcription factors in childhood cancer cell lines.

The pediatric cell line, SJ-GBM2 and LAN-5, were obtained from the Children's Oncology Group Cell Culture and Xenograft Repository. RNA is extracted from confluent cultured cells. RT-PCR reaction from both cDNA was done for embryonic and adult stem cell markers. Proteins are separated and western blotting of specific markers was carried out. In addition, immuncytostaining was performed for some of these markers.

The main pluripotent stem cell markers OCT4, SOX2, Nanog and CXCR4 were detected in all samples. Adult stem cell markers were tested as well. HGFR and CD117 were detected in both cell lines. While, heamopiotic stem cell markers, CD133, CD31 and CD34 were expressed by SJ-GBM2 cell line only.

Embryonic pluripotent stem cell markers could be used to identify pediatric cancer stem cells. Selection of these cells will enable us to treat them with targeted therapy to prevent or decrease the recurrence rate.

Keywords

Cancer stem cellsChemotherapyCarcinoma cancerTumor • Renal cell • Somatic tissue cells

List of Abbreviations

CSCs- Cancer stem cells; DCLK1- Doublecontin-like kinase 1; GBM- Glioblastoma; ATP- Binding cassette transporter protein (ABCG2); OCT4- Octamer-binding transcription factor 4; SOX2- Sex determining region Y-box 2; Naog- Tir. Na nOg; CXCR4- CXC chemokine receptor 4; HGFR- Hepatocyte growth factor receptor; OSCC- Oral squamous cell carcinoma; ALDH- Aldehyde dehydrogenases; hESCs- Human embryonic stem cells; PBS- Phosphate buffer saline; DPBS- Diphosphate phosphate buffer saline; DAPI- 4', 6-diamidino-2-phenylindole; EMTEpethelial mesenchymal transmision.

Introduction

Cancer stem cells (CSCs) theory hypothesize the presence of small subset of cells within tumor mass that have the ability to renew them cells and differentiate to multiple cell types. In addition, these cells resist conventional chemotherapy and give rise new tumor cells causing relapse and metastasis. Identification of CSCs hold hopes to develop new therapy that targeting the origin of tumor cells and improve cancer patients. Most of the markers expressed in CSCs are expressed also in tumor bulk cells or even in normal somatic tissue cells such as CD133 and others [1].

For example, in human renal cell carcinoma cancer. Several general cell surface markers were identified and suspected to be in cancer stem cells such as CD105, CD133 (called Prominin-1), CXCR4 and CD44. Moreover, intracellular molecules such as Heat shock protein (HSP) and Doublecontin-like kinase 1 (DCLK1) were implicated to maintain renal cancer stem cells which could be used as a markers of renal cancer stem cells [2].

CD133 was also detected in glioblastoma (GBM) tumor cells as a marker of cancer stem cells [3]. ATP-binding cassette transporter protein ABCG2 is a marker of classical stem cells was detected earlier in gliomashpher cancer stem cells [4]. Expression level of ABCG2 is positively associated with the increasing pathological grade of glioma showing resistance chemotherapeutic drug [5].

Pluripotent transcription factors such as OCT4, SOX2 and Nanog, that upregulated in embryonic stem cells in contrast to somatic cells, were detected in various types of cancer tumors from adult patients. For example, the expression of SOX2, but not OCT4 was related to colon adenocarcinoma [6]. While, both SOX2 and OCT4 were demonstrated significantly in non-small-cell lung cancer [7]. Major transcription factors related to stem cell self-renewal and differentiation, OCT4, SOX2 and Nanog, were detected in oral squamous cell carcinoma (OSCC). In addition, SOX2 was related to early detection of OSCC [8].

Similar results have been found in cervical squamous cell carcinoma [9]. Expression of OCT4, SOX2, Nanog and other classical stem cell markers were also detected in tissue samples of colon, prostate and bladder carcinomas as well as cancer cell lines [10].

Results were repeated with samples from brain cancer, breast cancer, colon cancer, ovarian cancer, oral squamous cell carcinoma, prostate cancer, melanoma and many other cancers [11-17]. Pluripotent transcription factors were associated with cancer stage, patient survival, cancer treatment and tumor recurrence after chemo-radio-therapy [18,19].

Cancer in childhood ages have significant differences from adult cancer in the incidence rate, type and location of cancer, pathophysiology, progression of tumor, management plan and recurrence rate. We tried to study the expression of pluripotent transcription factors in childhood cancer cell lines. Studying the nature of cells within tumor tissue or cell line will illustrate the pathophysiology of diseases and cancer relapse which help develop new targeted therapy for children with cancer.

Methods

Cell lines requested from the Children's Oncology Group, Texas, USA and shipped by FedEx directly. LANS5 cell line is Neuroblastoma from a male child 5 months old. Cells are grown in a base medium of RPMI-1640 plus the following supplements (to a final concentration): 10% Fetal Bovine Serum, 2 mM L Glutamine.

SJ-GBM2, glioblastoma multiform, is solid tumor brain from female child 50 months old. Cells are grown in a base medium of Iscove’s Modified Dulbecco’s Medium plus the following supplements (to a final concentration): 20% Fetal Bovine Serum, 4 mM L Glutamine, 1 × ITS (5 μg/mL insulin, 5 μg/mL transferrin and 5 ng/mL selenous acid).

Thawing frozen cells from liquid nitrogen by warming at 37°C water bath. Then, cells will transfer to 50 ml Falcon tube and centrifuged at 1750 rpm for 3-5 minutes. Supernatant discarded and cells pellets are re-suspended in appropriate medium. They grow at 37°C in a humidified atmosphere of 5% CO2. Cells are passaged when they reached ≈ 80% confluence in tissue culture flask. Media is removed and cells are washed with phosphate buffer saline (PBS). (PAA Laboratories. Cat No: H15-002. Austria). Cells are detached from tissue culture flask by adding 2-4 ml f Puck’s EDTA (140 mM NaCl, 5 mM KCl, 5.5 mM Glucose, 4 mM NaHCO3, 13 μM Phenol Red, 0.8 mM EDTA and 9 mM HEPES) and incubated for 5-15 minutes. Puck’s EDTA is neutralized by adding 10 ml of complete medium. The mixture is centrifuge at 1750 for 3-5 minutes, the supernatant is discarded and cells pellet is suspended in medium and dispensed in new tissue culture flask or plate.

Cells are washed with Dulbecco's Phosphate-Buffered Saline (DPBS) is purchased from Cambrex Sciences Verviers, B-4800, Belgium, centrifuged at 1750 rpm for 3 minutes and suspended in medium. Cells enriched fractions are seeded in non-adherent T75 and cells of T25culture flask. The medium is changed every 48-72 hours as required.

When the cells reached 80-90% confluence, they are washed with PBS and incubated with 0.05% trypsin/0.5 mmol/L EDTA at 37°C. 10 ml of serum supplemented medium is added to inactivate the trypsin. Cell suspension is then transferred to a Falcon tube and centrifuged at 1750 rpm for 3 minutes. The cell pellet is resuspended in medium and seeded again into flasks or plates.

Assessment of cells viability by trypan blue staining. The suspended cells from three flasks are stained with 0.01% trypan blue (Sigma, No. T-0887, USA). Viable cells exclude trypan blue dye, while died cells stained. Cells are counted by using haemocytometer as follow: Total number of cells/ml=total cells in haemocytometer field × 104.

For optimum results, cells should be in growth with >90% viability at the time of freezing. Cells should be frozen in a mixture of 50% FBS, 7.5% DMSO and base medium (with no supplements) and stored in liquid nitrogen vapor.

Microscopic analysis of cultured cells

Cells are grown in tissue culture flasks and wells plates are visualized by using inverted microscope.

RNA extraction

For these experiments, harvest a maximum of 5 × 105 cells, after harvesting, cells should be immediately lysed in Buffer RLT (Add 350 μl) to prevent unwanted changes in the gene expression profile then homogenize. If the cells are not used immediately, they should be pelleted, frozen in -80 for short time or liquid nitrogen for long term.

RNA is extracted from the pellet by using Genelut mammalian total RNA Kit (Sigma) or RNeasy microkit 50 (cat No: 74004, Qiagen) according to manufacturer’s instructions, depending on pellet size RNA from pancreatic tissue is extracted after homogenisation in the lysis buffer (from Genelut mammalian total RNA Kit) by using the Fast-Prep tissue homogenizer at 6.0 speed for 15 seconds. The product is quantified by Eppendorf Biophotometer. 1 μl of RNase inhibitor (Promega, cat No 608-274-4330, Southampton, UK) is added in order to protect the extracted RNA from enzyme destruction.

DNase treatment

All reagents are from Promega (Promega, cat No 608-274-4330, Southampton, UK). RNA is pre-treated with DNase for 30 minutes at 37°C and the reaction stopped with DNase stop solution at 65°C for 10 minutes. This will produce DNA free RNA.

Reverse transcription

Two different RT kits are used to generate cDNA from RNA samples, protocol of promega RT kit as fallow: 5 μl of DNA free RNA, 1 μl of oligo-dNTP and 9 μl of nano-pure water are incubated at 70°C for 5 minutes. After that, they are mixed with 5 μl reverse transcriptase (RT) enzyme, 1.25 μl dNTP and are incubated at 42°C for 90 minutes to form cDNA which is stored at -80°C. Manufacturer's guidelines are conducted to generate form cDnA from mRNA by using superscriptase @111 (invitrogen, cat No: 18080-04).

Polymerase Chain Reaction (PCR)

PCR is run in a 0.75 ml tube according to the following 25 μl mixture protocol: 16.25 μl of nano-pure water, 2.5 μl of PCR reaction buffer, 1.25 μl of Red Taq polymerase (Sigma-Aldrish, D-5684), 1 μ of 50 mM magnesium chloride, 1 μl of 5`primer, 1 μl of 3`primer and 1 μl of cDNA or DNA free RNA. The primers sequence and PCR programs (Tables 1 and 2).

Table 1: Primer pairs used for PCR.

Gene Direction Sequence cDNA Product Size (bp)
Human GAPDH Forward ATCACCATCTTCCAGGAGCGA 101
Reverse TTCTCCATGGTGGTGAAGACG
Human °CT4 Forward GAA GCT GGA GAA GGA GAA GCT G 219
Reverse CAA GGG CCG CAG CTT ACA CAT GTTC
°CT4A Zangrossi Forward ACA TGT GTA AGC TGC GGC C 293
Reverse GTT GTG CAT AGT CGC TGC TTG
Human
SOX2
Forward CGC CCC CAG CAG ACT TCA CA 169
Reverse CTC CTC TTT TGC ACC CCT CCC ATT T
Human Nanog Forward GTCTTCTGCTGAGATGCCTCACA 387
Reverse CTTCTGCGTCACACCATTGCTAT
Human
Rex1
Forward GCG TAC GCA AAT TAA AGT CCA GA 302
Reverse CAG CAT CCT AAA CAG CTC GCA GAA T
Human  ABCG2 Forward AGT TCC ATG GCA CTG GCC ATA 387
Reverse TCA GGT AGG CAA TTG TGA GG
Human  CXCR4 Forward CGT GCC CTC CTG CTG ACT ATT 132
Reverse GCC AAC CAT GAT GTG CTG AA
Human HGFR Forward AGT GAA GTG GAT GGC TTT GG 162
Reverse GGG CAG TAT TCG GGT TGT AG
Human CD117 Forward AGA TGC TCA AGC CGA GTG C 284
Reverse ACT ATC GCT GCA GGA AGA CTC C
Human CD133 Forward CGA CTC TAG CTC GAT GCT CTT G 210
Reverse GAG CGC AAA GAC TAC CTG AAG A
Human  CD34 Forward AAA TCC TCT TCC TCT GAG GCT GGA 215
Reverse AAG AGG CAG CTG GTG ATA AGG GTT
Human CD31 Forward ATC ATT TCT AGC GCA TGG CCT GGT 158
Reverse ATT TGT GGA GGG VGA GGT CAT AGA

Table 2: PCR cycle programmes for each primer pairs.

Primer Stage 1 (Temp/ Time) Stage2a Stage2b (Temp/Time) Stage2c (Temp/Time) (Cycle No.) Stage3 (Temp/Time)
(Temp/Time)
4-°Ct  95°C/ 10m 94°C/30s 62°C/45s 70°C/1m 32 72°C/7m
SOX2
ABCG2 95°C/ 10m 94°C/30s 56°C/45s 66°C/1m 32 72°C/7m
CXCR4
HGFR
°CT4A (Z)
Rex1 95°C/ 10 94°C/30s 60°C/45s 68°C/1m 32 72°C/7m
CD34
CD31
GAPDH 95°C/ 10m 94°C/30s 60°C/45s 68°C/1m 32 72°C/7m
Nanog
CD133
CD117 95°C/ 10m 94°C/30s 56°C/45s 66°C/1m 32 72°C/7m

Agarose gel electrophoresis

The products of PCR reaction from both cDNA and DNA-free-RNA are separated by running 10 μl of each through 1% agarose gel (Malford, UK) mixed with ethedium bromide (Sigma-Eldrich, UK) at 100 voltages for 1 hour. The results are visualized under UV light and images are captured.

Protein isolation

Cells are grown in T-75 flasks, reach ~90% confluent and washed two times with DPBS. Add 1-2 ml of DPBS to the cells and scraped with cell scraper. Then, transferred the suspension of scraped cells to micro-centrifuge tubes and spun for 5 minutes at 13,000 rpm. The Supernatant is discarded and the pellet is immediately processed or snapped in liquid nitrogen and freeze at -80oC. Extraction of whole, cytoplasmic and nuclear protein: The cell pellet will be resuspended in 200 μl of buffer A (10 mM Hepes pH 7.9; 10 Mm KCl; 0.1 mM EDTA pH 8.0; 0.1 mM EGTA pH 8.0; 1 mM DTT and 3% Complete Inhibitor Cocktail. The suspension is going to be incubated on ice for 15 minutes. To isolate whole cell protein, 12.5 μl of 0.1- 10% triton or 1N NaOH will be added and mixed by vortexing for 30 seconds and centrifuged for 45 seconds. The supernatant is sinocated 3times/5 sec on ice. The supernatant which contained whole cell protein will be removed and stored at -80oC. 1N NaOH: Resuspend the pellet with 100 μl of Buffer A wait 2-15 min. Then add 1 μl of 1N NaOH to 10 μl of the sample. To isolate cytoplasmic protein, after incubation in ice, 12.5 μl of 10% NP40 will be added and mixed by vortexing for 30 seconds and centrifuged for 45 seconds. The supernatant which contained cytoplasmic protein will be removed and stored at -80oC. To isolate nuclear protein; The remaining pellet will be resuspended in 50 μl of buffer C (20 mM HEPES pH 7.9; 400 mM NaCl; 0.1 mM EDTA pH 8.0; 0.1 mM EGTA pH 8.0; 1 mM DTT; 5% glycerol and Complete Inhibitor Cocktail in nanopure water) and incubated at 4oC on shaker for 1 hour. Then, tubes will be centrifuged for 30 minutes. The supernatant which contained nuclear protein will be removed and stored at -80°C.

To determine protein concentration, we will use Bradford protein assay. Working solution will be prepared from stock solution of Bio-Rad protein dye (Bio- Rad, 500- 0006) in the proportion of 4:1 water to dye.

Add 10 μl of each standard concentration in triplicate in a 96 well plate. Add 100 μl of protein Assay Reagent to each well. Incubate the plate for 5 minutes at room temperature for the color stabilize, absorbance will be measured at 595 nm by MRX plate reader. Standard curve will be calculated and samples protein concentration will be determined.

Western blotting

Proteins will be separated according to their size by electrophoresis. Prepare cells lysis: Cells are grown in T-75 flasks, reach ~80-90% confluent and washed two times with DPBS. Aspirate and wash the cells with 1-2 ml of DPBS. Add 600 μl lysis buffers to each well (lysis buffer + complete inhibitor cocktail 1:100) on ice. Scraped with cell scraper and transferred the suspension of scraped cells to micro-centrifuge tubes. Centrifuge for 5 minutes at 13,000 rpm in 4oC and take the Supernatant 550 μl. Take 50 μl of the Supernatant in small tube then start Bradford Assay. Take 10 μl of the sample and freeze the rest immediately. The 500 μl that left should be stored in -20 or -80oC for long time. Prepare sample Buffer: Take sample you prepared from previous step and Calculate sample buffer (LDS) and lysis buffer volume from Bradford Assay.

Cytospin

Cells in suspension were centrifuged. Supernatant was discarded. Cells pellet is resuspended in PBS at concentration of 1 × 106 cells/ml. 100-200 ul of cells solution are loaded into apparatus composed of funnel placed in Poly- L-Lysine coated slides apparatus are centrifuged at 1000 rpm for 5 minutes by Shadon Cytospin 4 centrifuge (Thermo scientific).

Immunoflourescent staining of cells

Cells are grown on sterile coverslips in six, twelve or twenty-four well plates. When the cells became confluent, they are washed 3-4 times in DPBS and treated.

Cells to be stained with all other primary antibodies were fixed with 4% paraformaldehyde (Sigma-Aldrich, F-1268, Germany) at 25oC for 20 minutes and permeabilized by 1% t-octylphenoxy-polyethoxyethanol (Triton, Sigma- Aldrich, Germany). For OCT4 and CD31 staining, slides were incubated in pre chilled methanol at -20°C for 10 minutes after paraformaldhyde fixation and then permeabilized with 1% triton. Slides were washed with DPBS after each step. To block non-specific binding, the slides were treated with blocking buffer (Roche Applied science, East Sussex, UK, cat. No.11096176001) for 1 hour at 25°C. Primary antibody diluted in blocking buffer, as the concentration given in Table 3, was then added to the sections except those for negative control which are maintained in blocking buffer. The slides were incubated overnight in a humid chamber at 4°C. After three washes of 20 minutes each with wash buffer (Blocking buffer diluted 1:5 in DPBS), secondary antibodies were applied for one hour at room temperature in the dark (Table 4). The slides were washed again as above and air dried. Then, the sections were mounted using Vectashield containing 4', 6-diamidino-2-phenylindole (DAPI blue, Vector Laboratory Inc. cat. No. 94010, Burlingame) which stain nuclei with fluorescence blue, slides were covered with cover slips and were sealed with nail varnish.

Table 3: Primary antibodies and dilutions.

Antibody Raised in Clonality Specificity Dilution Supplier
Anti-Oct4 Rabbit polyclonal H.M 1:50 Abcam Ab18976
Anti-Sox2 Rabbit polyclonal H.M 1:50 Abcam Ab15830
Anti-Nanog Rabbit polyclonal H.M 1:50 Abcam Ab18976
Anti-CD31 Mouse Monoclonal H 1:50 Dako M0823
Anti-ABCG2 Rat Monoclonal H.M 1:50 Abcam Ab24115
Anti-CD133 Mouse Monoclonal H.M 1:100 Cell Signalling Technology
Anti-Nanog Goat polyclonal H 1:1000 RD AF1997
Anti-β actin Rabbit polyclonal H.M.R 1:200 Invitrogen PA 1-183

Table 4: Secondary antibodies and dilutions.

Antibody against Raised in Conjugation Specificity Dilution Supplier
Mouse Goat FITC IgG 0.25 Jackson ImmunoResearch 115-095-005
Mouse Goat TR IgG 0.25 Jackson ImmunoResearch 115-075-008
Mouse Goat TRIC IgG 0.25 Sigma. T-6653
Mouse Chicken TR IgG 0.25 Abcam. Ab6812
GP Rabbit FITC IgG 0.25 Sigma. F-7762
GP Donkey FITC IgG 0.25 Jackson ImmunoResearch 706-076-148
Goat Rabbit FITC IgG 0.25 Sigma. F-7367
Goat Donkey TR IgG 0.25 Jackson ImmunoResearch 705-095-003
Rabbit Donkey TR IgG 0.25 Jackson ImmunoResearch 711-076-152
Rabbit Goat FITC IgG 0.25 Sigma. F-0382

Results

Cells of LAN-5 cell line were grown in media with teardrop-shaped with processes adhered with flask mostly in cluster. While, SJ-GBM2 cells were flat, epithelial-like adherent cells with processes.

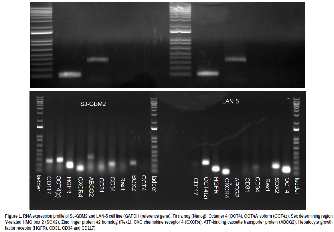
RNA was extracted from both cell lines to obtain around 10.00 μg/ml. cDNA were generated to obtain at least 70 μg/ml. Samples either used immediately or stored at -80°C. GAPDH was used as a reference housekeeping gene which is detected in all samples. The main pluripotent stem cell markers OCT4 was detected in both cell lines. OCT4 A isoform (Zangrossi), which is responsible about pluripotency properties of embryonic stem cells, also detected. SOX2, Nanog and CXCR4 were detected in all samples, while Rex1 was not detected (Figure 1). Important embryonic stem cell markers (ABCG2) was detected only in SJ-GBM2 cell line, but not in LAN-5 (Figure 1).

cancer-science-therapy-hepatocyte

Figure 1.RNA expression profile of SJ-GBM2 and LAN-5 cell line (GAPDH (reference gene). Tir na nog (Nanog), Octamer 4 (OCT4), OCT4A isoform (OCT4z), Sex determining region Y-related HMG box 2 (SOX2), Zinc finger protein 42 homolog (Rex1), CXC chemokine receptor 4 (CXCR4), ATP-binding cassette transporter protein (ABCG2), Hepatocyte growth factor receptor (HGFR), CD31, CD34 and CD117).

Adult stem cell markers were tested as well. HGFR and CD117 were detected in both cell lines. CD133, CD31 and CD34 were expressed by SJ-GBM2 cell line, while they were not detected in LAN-5 (Figure 1).

RNA expression was confirmed by protein blotting. Western blot was done for the main embryonic stem cell markers. Beta actin used as a reference marker. OCT4 and SOX2 proteins were blotted clearly in samples from both cell lines. The membrane-associated protein encoded by ABCG2 was detected in SJ-GBM2 cell line. Heamopiotic cell surface proteins, CD31 and CD133, were detected in SJGBM2 cell line (Figure 2).

cancer-science-therapy-transporter

Figure 2.Western blot of a reference gene (β-Actin), Octamer 4 (OCT4), Sex determining region Y-related HMG box 2 (SOX2), ATP-binding cassette transporter protein (ABCG2), CD133 and CD31 in SJ-GBM2 and LAN-5 cell lines.

Immunoflorescent staining of cells showed the expression of OCT4 transcription factor in nucleus of both cell lines (Figure 3). SOX2 was detected almost in all cytoplasm of cell with few cells showed nuclear localization in SJGBM2 cell line. ABCG2 expressed clearly in the cytoplasm of cells. In addition, CD133 was detected on SJ-GBM2 cells (Figure 4).

cancer-science-therapy-nuclear

Figure 3. (A) OCT4 immunostaining of LAN-5 and (B) SJ-GBM2 Nuclear localization showed in part of cells.

cancer-science-therapy-cytoplasm

Figure 4. Immunostaining of SJ-GBM2. SOX2 (A) and Nanog (B) showed nuclear pattern, while ABCG2 (C) localized in the cytoplasm.

Discussion

Pediatric cancer described as a cancer that effect children between birth and 14 years old [20]. The incidence rate of pediatric cancer was 140.6 per million annually [21]. The second most common type of pediatric cancer was nervous tumors [21]. Even though the cure of children cancer considered generally very high (80%) in high-income countries [22], cancer is the second leading cause of die of children. The incidence of recurrence of paediatric cancer was 4.4%, 5.6% and 6.2% at 10, 15 and 20 years, respectively [23]. Brain tumors including Glioblastoma, now are the leading cause of paediatric cancer morbidity due to the high incidence rate of recurrence [24]. Similar finding was reported of paediatric neuroblastoma. 15% of children died from cancer were suffering from neuroblastoma [25]. The long survivor rate of children with neuroblastoma less than 40% [26]. The percentage of relapse cases exceed 50% of high-risk neuroblastoma children [27].

Cancer stem cells are implicated on tumors onset, expansion, resistance, recurrence and metastasis after therapy [28]. Characterization of cancer stem cells were the main obstacle to identify them. Common adult stem cell markers that used in this fields are expressed by normal adult stem cells and somatic cells as well [2,3]. Thus, they are not exclusive markers of cancer stem cells within tumor tissue.

Neuroblastoma cell line, LAN-5, expresses classical embryonic stem cell markers, which are responsible for pluripotency, at nucleic acid and protein levels. OCT4A isoform primers were used to exclude pseudogene detection of this main pluripotency transcription factors [29]. Despite of the bone marrow origin of this neuroblastoma cell line, LAN-5 did not express adult heamopiotic stem cell markers, CD133, CD34 and CD31.

Similarly, embryonic pluripotent stem cell markers such OCT4, SOX2, NANOG and CXCR4 were detected in glioblastoma cell line, SJ-GBM2. Moreover, ABCG2 and HGFR were expressed which illustrate the highly capability of gliomablastoma to resist therapy and the high incidence of recurrence. The average survival rate of untreated glioblastoma cases is 10-13 months [30]. Only, 6.8% of patients have more than 5 years’ survival in the United States [31]. ABCG2 have been implicated in cancers displaying multidrug resistance [32].

Expression of adult heamopiotic stem cell markers may indicate the origin of the cancer cells. This suggestion supported by the expression of CXCR4 which play an important role migration of heamopiotic stem cells [33]. In addition, SJGBM2 cell line expressed HGFR which is implicated in migration of stem cell to brain [34]. Adult stem cell markers profile in pediatric glioblastoma cell line resembles to adult glioma expression sets [35]. In the future we aim to isolate single cell clones using a lentivirus vector carrying SORE6 reporter and LANS5, SJ-GBM2 cell lines to identify and enrich (CSCs) [36]. It has been shown that blocking autophagy has helped in increasing sensitivity of anaplastic large cell lymphoma, stem-like cells subset, to crizotinib [37].

Conclusion

Embryonic pluripotent stem cell markers could be used to identify pediatric cancer stem cells. These markers did not express by other cancer or somatic cells. Selection of these cells will enable us to treat them with targeted therapy to prevent or decrease the recurrence rate.

Funding

This work is primarily supported and funded by a grant King Abdullah International Medical Research Center (KAIMRC), King Saud bin Abdulaziz University for Health Sciences, Saudi Arabia, (RYD-19-417780-145669).

Authors Contributions

HRA, FA, ZA and MA conceived the experiments and planned along with all other authors. FA and ZA conducted experiments and performed data analyses. HRA, MA, FAA, SAA, AHA and NA interpreted the data, wrote and edited the manuscript.

Acknowledgment

This work is primarily supported and funded by a grant King Abdullah International Medical Research Center (KAIMRC), King Saud bin Abdulaziz University for Health Sciences, Saudi Arabia, (RYD-19-417780-145669).

Conflict of Interest

The authors declare no conflict of interest.

References

  1. Zhang, Hua and SuYi Li. "Research progression of CD133 as a marker of cancer stem cells."Chin J Cancer29 (2010): 243-247.
  2. Google Scholar, Crossref, Indexed at

  3. Khan, Mohammed I., Anna M. Czarnecka, Igor Helbrecht and Ewa Bartnik, et al. "Current approaches in identification and isolation of human renal cell carcinoma cancer stem cells."Stem Cell Res Ther 6 (2015): 1-11.
  4. Google Scholar, Crossref, Indexed at

  5. Sung, Kyoung Su, Jin-Kyoung Shim, Ji-Hyun Lee and Se Hoon Kim, et al. "Success of tumorsphere isolation from WHO grade IV gliomas does not correlate with the weight of fresh tumor specimens: an immunohistochemical characterization of tumorsphere differentiation."Cancer Cell Int 16 (2016): 1-7.
  6. Google Scholar, Crossref, Indexed at

  7. Chu, Liang, Qiang Huang, De-Zhong Zhai and Qing Zhu, et al. "Expression and significance of ABCG2 in human malignant glioma."Chin J Cancer26 (2007): 1090-1094.
  8. Google Scholar, Indexed at

  9. Jin, Yao, Zhang Quan Bin, Huang Qiang and Chu Liang, et al. "ABCG2 is related with the grade of glioma and resistance to mitoxantone, a chemotherapeutic drug for glioma."J Cancer Res Clin Oncol 135 (2009): 1369-1376.
  10. Google Scholar, Crossref, Indexed at

  11. Talebi, Ardeshir, Kianoosh Kianersi and Mozhdeh Beiraghdar. "Comparison of gene expression of SOX2 and OCT4 in normal tissue, polyps, and colon adenocarcinoma using immunohistochemical staining."Adv Biomed Res 4 (2015).
  12. Google Scholar, Crossref, Indexed at

  13. Li, Xinxin, Jinguang Wang, Zhiyun Xu and Aftab Ahmad, et al. "Expression of Sox2 and Oct4 and their clinical significance in human non-small-cell lung cancer."Int J Mol Sci 13 (2012): 7663-7675.
  14. Google Scholar, Crossref, Indexed at

  15. Fu, Ting‐Ying, I‐Chien Hsieh, Jiin‐Tsuey Cheng and Meng‐Han Tsai, et al. "Association of OCT 4, SOX 2, and NANOG expression with oral squamous cell carcinoma progression."J Oral Pathol Med 45 (2016): 89-95.
  16. Crossref, Indexed at

  17. Ji, Jing, Xing Wei and Yueling Wang. "Embryonic stem cell markers Sox-2 and OCT4 expression and their correlation with WNT signal pathway in cervical squamous cell carcinoma."Int J Clin Exp Pathol7 (2014): 2470.
  18. Google Scholar, Indexed at

  19. Amini, Sabrieh, Fardin Fathi, Jafar Mobalegi and Heshmatollah Sofimajidpour, et al. "The expressions of stem cell markers: Oct4, Nanog, Sox2, nucleostemin, Bmi, Zfx, Tcl1, Tbx3, Dppa4, and Esrrb in bladder, colon, and prostate cancer, and certain cancer cell lines."Anat Cell Biol 47 (2014): 1-11.
  20. Google Scholar, Crossref, Indexed at

  21. Singh, Sheila K., Ian D. Clarke, Mizuhiko Terasaki and Victoria E. Bonn, et al. "Identification of a cancer stem cell in human brain tumors."Cancer Res 63 (2003): 5821-5828.
  22. Google Scholar, Indexed at

  23. Al-Hajj, Muhammad, Max S. Wicha, Adalberto Benito-Hernandez and Sean J. Morrison, et al. "Prospective identification of tumorigenic breast cancer cells."Proc Natl Acad Sci100 (2003): 3983-3988.
  24. Google Scholar, Crossref, Indexed at

  25. O’Brien, Catherine A., Aaron Pollett, Steven Gallinger and John E. Dick. "A human colon cancer cell capable of initiating tumour growth in immunodeficient mice."Nature445 (2007): 106-110.
  26. Google Scholar, Crossref, Indexed at

  27. Zhang, Shu, Curt Balch, Michael W. Chan and Hung-Cheng Lai, et al. "Identification and characterization of ovarian cancer-initiating cells from primary human tumors."Cancer Res68 (2008): 4311-4320.
  28. Google Scholar, Crossref, Indexed at

  29. Chiou, Shih-Hwa, Cheng-Chia Yu, Chi-Yang Huang and Shu-Chun Lin, et al. "Positive correlations of Oct-4 and Nanog in oral cancer stem-like cells and high-grade oral squamous cell carcinoma."Clin Cancer Res 14 (2008): 4085-4095.
  30. Google Scholar, Crossref, Indexed at

  31. Maitland, Norman J. and Anne T. Collins. "Prostate cancer stem cells: A new target for therapy." J Clin Oncol26 (2008): 2862-2870.
  32. Google Scholar, Crossref, Indexed at

  33. Schatton, Tobias, George F. Murphy, Natasha Y. Frank and Kazuhiro Yamaura, et al. "Identification of cells initiating human melanomas."Nature451 (2008): 345-349.
  34. Google Scholar, Crossref, Indexed at

  35. Bao, Shideng, Qiulian Wu, Roger E. McLendon and Yueling Hao, et al. "Glioma stem cells promote radioresistance by preferential activation of the DNA damage response."Nature444 (2006): 756-760.
  36. Google Scholar, Crossref, Indexed at

  37. Liu, Anfei, Xiya Yu and Shanrong Liu. "Pluripotency transcription factors and cancer stem cells: Small genes make a big difference."Chin J Cancer32 (2013): 483.
  38. Google Scholar, Crossref, Indexed at

  39. National Cancer Institute. National institute of health.https://www.cancer.gov/types/childhood-cancers. Accessed 20 May 2022.
  40. Steliarova-Foucher, Eva, Murielle Colombet, Lynn AG Ries and Florencia Moreno, et al. "International incidence of childhood cancer, 2001–10: A population-based registry study."Lancet Oncol 18 (2017): 719-731.
  41. Google Scholar, Crossref, Indexed at

  42. World Health Organization. "CureAll framework: WHO global initiative for childhood cancer: Increasing access, advancing quality, saving lives." (2021).
  43. Google Scholar, Indexed at

  44. Wasilewski-Masker, Karen, Qi Liu, Yutaka Yasui and Wendy Leisenring, et al. "Late recurrence in pediatric cancer: A report from the Childhood Cancer Survivor Study."J Natl Cancer Inst 101 (2009): 1709-1720.
  45. Google Scholar, Crossref, Indexed at

  46. Childhood Cancer Research Group (CCRG). National registry of childhood tumours/Childhood cancer research group. http://www.ccrg.ox.ac.uk. Accessed 30 Jan 2022.
  47. World Health Organization. International agency for research on cancer. World cancer report 2014. https://publications.iarc.fr/Non-Series-Publications/World-Cancer-Reports/World-Cancer-Report-2014. Accessed 15 Jan 2022.
  48. Maris, J. M., M. D. Hogarty, R. Bagatell and S. L. Cohn. "Neuroblastoma Lancet 369 (9579): 2106–2120." (2007).
  49. Google Scholar, Crossref, Indexed at

  50. Maris JM. Recent advances in neuroblastoma. N Engl J Med. 2010;362:2202-11.
  51. Yu, Yang, Grace Ramena and Randolph C. Elble. "The role of cancer stem cells in relapse of solid tumors."Front Biosci - Elite 4 (2012): 1528-1541.
  52. Google Scholar, Crossref, Indexed at

  53. Wang, Xia and Jianwu Dai. "Concise review: isoforms of OCT4 contribute to the confusing diversity in stem cell biology."Stem Cells 28 (2010): 885-893.
  54. Google Scholar, Crossref, Indexed at

  55. Schapira, A. H. V. and E. Byrne. "Neurology and clinical neuroscience. 2007."Philadelphia: Mosby Elsevier, p. xxvi.
  56. Google Scholar, Indexed at

  57. Ostrom, Quinn T., Gino Cioffi, Haley Gittleman and Nirav Patil, et al. "CBTRUS statistical report: Primary brain and other central nervous system tumors diagnosed in the United States in 2012–2016."Neuro-Oncol 21 (2019): v1-v100.
  58. Google Scholar, Crossref, Indexed at

  59. Ishikawa, Toshihisa and Hiroshi Nakagawa. "Human ABC transporter ABCG2 in cancer chemotherapy and pharmacogenomics."J Exp Ther Oncol 8 (2009).
  60. Google Scholar, Indexed at

  61. Miller, Richard J., Ghazal Banisadr and Bula J. Bhattacharyya. "CXCR4 signaling in the regulation of stem cell migration and development."J Neuroimmunol 198 (2008): 31-38.
  62. Google Scholar, Crossref, Indexed at

  63. Vogel, Sebastian, Thorsten Trapp, Verena Börger and Corinna Peters, et al. "Hepatocyte growth factor-mediated attraction of mesenchymal stem cells for apoptotic neuronal and cardiomyocytic cells."Cell Mol Life Sci 67 (2010): 295-303.
  64. Google Scholar, Crossref, Indexed at

  65. Gilbertson, Richard J. and Jeremy N. Rich. "Making a tumour's bed: Glioblastoma stem cells and the vascular niche."Nat Rev Cancer 7 (2007): 733-736.
  66. Google Scholar, Crossref, Indexed at

  67. Shang, Chuquan, Bardes Hassan, Moinul Haque and Yuqi Song, et al. "Crizotinib resistance mediated by autophagy is higher in the stem-like cell subset in ALK-positive anaplastic large cell lymphoma, and this effect is MYC-dependent."Cancers13 (2021): 181.
  68. Google Scholar, Crossref, Indexed at

  69. Li, Jing, Moinul Haque, Chuquan Shang and Bardes Hassan, et al. "Identification and characterization of cancer stem-like cells in ALK-positive anaplastic large cell lymphoma using the SORE6 reporter."Curr Issues Mol Biol 43 (2021).
  70. Google Scholar, Crossref, Indexed at

Google Scholar citation report
Citations: 5332

Cancer Science & Therapy received 5332 citations as per Google Scholar report

Cancer Science & Therapy peer review process verified at publons

Indexed In

 
arrow_upward arrow_upward