GET THE APP

Coexistence of Two Borderline Malignant Tumours: A Borderline Serous Cystadenoma and a Uterine Stump − Case Report
Clinical and Medical Case Reports

Clinical and Medical Case Reports

ISSN: 2684-4915

Open Access

Case Report - (2023) Volume 7, Issue 2

Coexistence of Two Borderline Malignant Tumours: A Borderline Serous Cystadenoma and a Uterine Stump − Case Report

Oumayma Mejri*
*Correspondence: Oumayma Mejri, Department of Gynecology and Obstetrics, Medicine School of Tunis, Tunis, Tunisia, Email:
Department of Gynecology and Obstetrics, Medicine School of Tunis, Tunis, Tunisia

Received: 25-Oct-2022, Manuscript No. cmcr-22-78194; Editor assigned: 26-Oct-2022, Pre QC No. P-78194; Reviewed: 27-Jan-2023, QC No. Q-78194; Revised: 03-Mar-2023, Manuscript No. R-78194; Published: 17-Mar-2023 , DOI: 10.37421/2684-4915.2023.7.253
Citation: Mejri, Oumayma. “Coexistence of Two Borderline Malignant Tumours: A Borderline Serous Cystadenoma and a Uterine Stump – Case Report.” Clin Med Case Rep 7 (2023): 253.
Copyright: © 2023 Mejri O. This is an open-access article distributed under the terms of the Creative Commons Attribution License, which permits unrestricted use, distribution, and reproduction in any medium, provided the original author and source are credited.

Abstract

Borderline Ovarian Tumors (BOT) and Uterine STUMP (smooth tumors of uncertain malignant potential) are tumors with a low or an uncertain potential of malignancy and a high risk of recurrence or metastasis. They are challenging in terms of management and follow-up.

We present a rare association of BOT and uterine STUMP in a 50-year-old woman with abdominal distension. The patient had a history of left oophorectomy and myomectomy. Examination revealed a distended abdomen with a pelvic mass corresponding to uterine enlargement and a right latero uterine mass.

Pelvic ultrasound showed a unilocular anechoic cyst and an enlarged uterus with multiple myometrial masses. On Pelvic MRI the ovarian mass showed papillary projections with marked enhancement and a high-intensity signal on DWI. The uterus was enlarged with multiples masses. One of the masses showed an intermediate signal on DWI.

The patient underwent exploratory laparotomy, there was a bulky right adnexal mass with an enlarged and bosselated uterus. A radical hysterectomy and a right oophorectomy were performed.

The pathological examination of the ovarian mass showed cell proliferation, with slight nuclear atypia and micropapillary patterns, without stromal invasion corresponding to a serous borderline tumor.

The examination of the Uterus showed ten stromal tumors: One tumor presented diffuse moderate to severe cellular atypia without coagulative cell necrosis evoking STUMP.

The patient is on close follow-up for 2 years postoperatively with no signs of recurrence or metastasis.

Keywords

Borderline • Tumor • Ovary • Uterus • Case report

Introduction

Borderline ovarian tumors (BOT) are uncommon epithelial neoplasm. They account for 10% to 15% of ovarian malignant tumors [1].

They were described for the first time by Taylor 1929 as an intermediate between benign and malignant tumors [2].

Their diagnosis is based on morphological criteria: high cellular proliferation, slight nuclear atypia, absence of destructive stromal invasion [3].

There are many subtypes of BOT: most common are serous and mucinous.

These tumors have controversial behavior: they have a low potential of malignancy but they may recur in an invasive way after surgery [4].

Uterine STUMP (smooth tumors of uncertain malignant potential) is rare myometrial tumors and their frequency is difficult to determine.

This term was first used in 1973 [5]. STUMP are tumors with pathological features that rule out the diagnosis of leiomyosarcoma but not fulfill the criteria of a myoma and may behave in a malign way [6].

These morphological features are: cellular atypia, coagulative necrosis and high mitotic index [7].

Both these two types of tumors are challenging in terms of management and follow up. Here we present a rare case in which BOT and STUMP coexisted.

Case Presentation

A 50 years old woman presented to the department of gynecology with 4 months of abdominal distension and lower abdominal chronic pain. She denied any digestive or urinary symptoms, vaginal discharges, bleeding, or other complaints.

The past surgical history was remarkable for the history of left oophorectomy in 1999 and myomectomy in 2011.

Physical examination revealed a distended abdomen: there was a mass at the right lower quadrant firm in consistency, smooth, well defined, and mobile. There was neither focal tenderness nor fluid wave.

Vaginal touch combined with abdominal palpation revealed uterine enlargement and a right latero uterine mass.

Pelvic ultrasound showed a unilocular anechoic cyst measuring 14 × 10 cm, without papillary structures and wall irregularity. The study of the vascularity showed a minimal parietal flow. We didn’t note ascites.

The uterus was large, lobulated, homogenous with multiple myometrial lesions well-defined hypo, iso, and hyperechoic type 3 and 4 (FIGO 2011), the largest lesion measuring 35 mm.

Pelvic MRI revealed a right ovarian mass measuring 120 mm × 100 mm × 95 mm, with high signal intensity on T1W and T2W, with numerous nodular papillary projections. These projections showed marked enhancement on contrast-enhanced T1-weighted images and a high- intensity signal on DWI (Figure 1 and Figure 2).

clinical-medical-case-reports-gadolinium

Figure 1. Coronal MR Images: An ovarian mass with numerous mural nodules enhanced after injection of gadolinium.

clinical-medical-case-reports-ovarian-mass

Figure 2. (a) Axial MR imaging showing an ovarian mass with 11 cm diameter of high signal intensity on T2W, with mural nodules (red arrow) - latéro deviation of the uterus and (b) Axial DWI: an ovarian mass with a high-intensity parietal thickening.

The uterus was enlarged with multiples type 2, 4, 5 myometrial masses with low and intermediate signal intensity on T2W. One of the masses with an intermediate T2 signal showed an intermediate signal on DWI (Figure 1 and Figure 3).

clinical-medical-case-reports-enlarged-uterus

Figure 3. (a) T2W Axial MR images: an enlarged uterus with numerous myometrial masses with a low signal, one of these masses is with an intermediate signal and (b) DWI axial images: the myometrial mass is with an intermediate signal.

Plasmatic CA 125 level was elevated (142 UI/ml; normal range: 0-34 UI/ml).

The risk of malignancy, calculated using the IOTA adnex model calculator, was 6.7%.

The preoperative diagnosis was a coexistence of a probably benign ovarian tumor and a polymyomatous uterus.

Therapeutic intervention

The patient underwent exploratory laparotomy; there was a 12 cm right adnexal mass adherent to the posterior cul-de-sac. The uterus was enlarged and bosselated.

A radical hysterectomy and a right salpingo-oophorectomy were performed.

On gross inspection, the right oophorectomy specimen consisted of a 12.5 cm cystic mass associated with the residual left ovary and fallopian tube. The cystic mass showed irregular- surface and papillary projections on the inner wall.

The pathological examination of the ovarian mass showed an epithelial cell proliferation. The papillary projections were coated with stratified epithelium. These cells showed slight nuclear atypia. There were micropapillary patterns. There was no stromal invasion.

The diagnosis of a serous borderline tumor was made (Figure 4).

clinical-medical-case-reports-epithelium

Figure 4. Broad, branching papillae (hierarchical branching) focally covered by stratified epithelium with mild to moderate atypia with few mitoses, HEx10.

The examination of the Uterus showed ten stromal tumors:

Nine of these tumors displayed fascicular patterns of smooth muscle bundles separated by connective tissue. There were typical myomas.

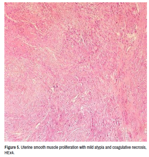
One tumor showed fascicular patterns of smooth muscle bundles with diffuse moderate to severe cellular atypia and coagulative cell necrosis. The mitotic index was 2 mitotic figures/10 hpf. All these features evoke the diagnosis of STUMP. (Figure 5).

clinical-medical-case-reports-proliferation

Figure 5. Uterine smooth muscle proliferation with mild atypia and coagulative necrosis, HEx4.

Follow up

The patient has been in a regular follow-up. During this long term follow up, abdominal ultrasound, pelvic ultrasound, and chest X-ray were regularly performed: we didn’t note a recurrence of the mass, nor any pulmonary or hepatic metastases.

Discussion

Our patient presents an association of two genital tumors of uncertain or low malignancy potential: a uterine STUMP and a borderline ovarian tumor; the association between BOT and STUMP hasn’t been reported yet.

Borderline ovarian tumors are an independent entity of epithelial ovarian tumors [3]. First described as “semi malignant” ovarian tumors by Taylor [8]. Currently, terminologies used to describe them are borderline tumor, a tumor of low malignant potential, and atypical proliferative tumor [9].

Preoperative diagnosis of these tumors is difficult: they may be uni or multilocular, with or without papillary projection or solid component in the inner or the outer surface [3].

Their diagnosis is based on pathological features.

These features are the presence of hierarchically branching papillae; epithelial cells are typically columnar with mild to moderate atypia, epithelial multilayering, and cell detachment. The stroma is paucicellular, oedematous, or hyalinized [10].

However, these tumors may show patterns of invasive carcinoma like microinvasion, micropapillary with higher nuclear atypia and higher fibroblast density, peritoneal implants, or lymph node involvement [11-13].

The appreciation of these features is subjective. Then, establishing the correct diagnosis can be challenging.

STUMP represents a group of rare and challenging leiomyoma neoplasms. Clinical presentation of STUMP includes pelvic mass, heavy uterine bleeding, dysmenorrhea, or infertility. These symptoms are not specific to STUMP [5]. Ultrasound imaging has only limited information on uterine smooth muscle tumors. There is no specific ultrasound features described for STUMP tumors compared with fibroids. Pelvic MRI especially DWI may help the diagnosis showing uterine mass with high signal and diffusion restriction [14].

Thus, the diagnosis of STUMP is based on histologic features of mitotic index, cytologic atypia, and coagulative tumor cell necrosis [15].

Based on these criteria Bell, et al proposed a classification of STUMPs [16]:

1. Atypical leiomyoma: Diffuse moderate to severe cellular atypia without coagulative cell necrosis and a mitotic index <10 mitotic figures/10 hpf.

2. Atypical leiomyoma with limited recurrence: Focal or multifocal moderate to severe atypia without coagulative cell necrosis and a mitotic index <20 mitotic figures/10 hpf.

3. Leiomyomas with increased mitotic activity but limited recurrence: Without atypia or mild atypia without coagulative necrosis with mitotic index ≥ 20 mitotic figures/10 hpf.

4. Smooth muscle tumors of low malignant potential: Without atypia or mild atypia with coagulative necrosis with mitotic index <10 mitotic figures/10 hpf.

Because of the rarity of the disease, there is no firm consensus regarding its management. Therapeutic options are a total hysterectomy or myomectomy. The decision depends on the fertility desire [5].

These tumors can show a spectrum of clinical behavior; the recurrence rate is high compared to fibroid: Zhang Q, et al. reviewed 127 Patients with myometrial tumors. They determined that 3/31 (10%) atypical leiomyomas and 3/14 (21%) of STUMP had recurred. STUMPs that recur often behave as a low-grade malignancy [17].

Metastasis can also occur; Canciani GN, et al. reported an isolated recurrence of a STUMP 24 years after hysterectomy with metastasis to the lungs [18,19].

Conclusion

Thus, patients diagnosed with STUMP should receive long term surveillance based on pelvic ultrasound examination and chest X-ray.

The association between these two tumors suggests an implication of genes involved in cell signaling, apoptosis, angiogenesis, and cell cycle regulation.

References

  1. Wong, H. F., J. J. H. Low, Y. Chua and I. Busmanis, et al. "Ovarian tumors of borderline malignancy: A review of 247 patients from 1991 to 2004.Int J Gynecol Cancer17 (2007).
  2. Google Scholar, Crossref, Indexed at

  3. Young, Robert H. "A brief history of the pathology of the gonads." Mod Pathol 18 (2005): S3-S17.
  4. Google Scholar, Crossref, Indexed at

  5. Hauptmann, Steffen, Katrin Friedrich, Raymond Redline and Stefanie Avril. "Ovarian borderline tumors in the 2014 WHO classification: Evolving concepts and diagnostic criteria.Virchows Archiv 470 (2017): 125-142.
  6. Google Scholar, Crossref, Indexed at

  7. Bourdel, N., C. Huchon, A. W. Cendos and H. Azaïs, et al. "Borderline ovarian tumours: CNGOF guidelines for clinical practice-short text." Gynecol Obstet Fertil Senol 48 (2020): 223-235.
  8. Google Scholar, Crossref, Indexed at

  9. White, M. P., S. Rahimi, A. Garely and A. Buhl, et al. "Uterine smooth muscle tumors of uncertain malignant potential (STUMP): Review of pathophysiology, classification, diagnosis, treatment and surveillance." J Healthc Commun 2 (2017): 40.
  10. Google Scholar

  11. Gadducci, Angiolo and Gian Franco Zannoni. "Uterine smooth muscle tumors of unknown malignant potential: A challenging question." Gynecol Oncol154 (2019): 631-637.
  12. Google Scholar

  13. Kalogiannidis, Ioannis, Thomas Stavrakis, Themistoklis Dagklis and Stamatios Petousis, et al. "A clinicopathological study of atypical leiomyomas: Benign variant leiomyoma or smooth‑muscle tumor of uncertain malignant potential." Oncology letters 11 (2016): 1425-1428.
  14. Google Scholar, Crossref, Indexed at

  15. General Assembly of FIGO. "Classification and staging of malignant tumours in the female pelvis.” Acta Obstet Gynecol Scand 50 (1971): 1-7.
  16. Google Scholar, Crossref, Indexed at

  17. Seong, Seok Ju, Mi Kyoung Kim and Taejong Song. "Controversies in borderline ovarian tumors." J Gynecol Oncol 26 (2015): 343-349.
  18. Google Scholar, Crossref, Indexed at

  19. Seidman, Jeffrey D., Robert A. Soslow, Russell Vang and Jules J. Berman, et al. "Borderline ovarian tumors: Diverse contemporary viewpoints on terminology and diagnostic criteria with illustrative images." Hum Pathol35 (2004): 918-933.
  20. Google Scholar, Crossref, Indexed at

  21. Kurman, Robert J., Maria Luisa Carcangiu and C. Simon Herrington. “World Health Organisation classification of tumours of the female reproductive organs.” IARC (2014).
  22. Google Scholar, Indexed at

  23. Seidman, Jeffrey D. and Robert J. Kurman. "Subclassification of serous borderline tumors of the ovary into benign malignant types: A clinicopathologic study of 65 advanced stage cases." Am J Surg Pathol 20 (1996): 1331-1345.
  24. Google Scholar, Crossref, Indexed at

  25. Seidman, Jeffrey D. and Robert J. Kurman. "Ovarian serous borderline tumors: A critical review of the literature with emphasis on prognostic indicators." Hum Pathology 31 (2000): 539-557.
  26. Google Scholar, Crossref, Indexed at

  27. Sato, Kenichiro, Noriaki Yuasa, Miri Fujita and Yasuyoshi Fukushima. "Clinical application of diffusion-weighted imaging for preoperative differentiation between uterine leiomyoma and leiomyosarcoma." Am J Obstet Gynecol 210 (2014): 368-368e1.
  28. Google Scholar, Crossref, Indexed at

  29. Hendrickson, M. R. "Mesenchymal tumours and related lesions." Pathology and Genetics of the Breast and Franc: IARC Press (2003): 233-244.
  30. Google Scholar

  31. Kalogiannidis I, Stavrakis T, Dagklis T and Petousis S, et al. “A clinicopathological study of atypical leiomyomas: Benign variant leiomyoma or smooth‑muscle tumor of uncertain malignant potential.” Oncol Lett 11 (2016):1425-1428.
  32. Google Scholar, Crossref, Indexed at

  33. Zhang, Qing, Julianne Ubago, Li Li and Haiyang Guo, et al. "Molecular analyses of 6 different types of uterine smooth muscle tumors: Emphasis in atypical leiomyoma." J Gynecol Oncol 120 (2014): 3165-3177.
  34. Google Scholar, Crossref, Indexed at

  35. Canciani, Gioia N., Nikolaos Burbos, Timothy J. Duncan and Ray Lonsdale, et al. "Late presentation of metastatic smooth muscle neoplasm of the uterus with low malignant potential." J Gynecol Oncol 23 (2012): 69-71.
  36. Google Scholar, Crossref, Indexed at

  37. Ip, Philip PC, Ka Yu Tse and Kar Fai Tam. "Uterine smooth muscle tumors other than the ordinary leiomyomas and leiomyosarcomas: a review of selected variants with emphasis on recent advances and unusual morphology that may cause concern for malignancy.Adv Anat Pathol 17 (2010): 91-112.
  38. Google Scholar, Crossref, Indexed at

arrow_upward arrow_upward