GET THE APP

Mycobacterium bovis Aortitis after Intravesical Instillation of OncoTICE: A Case Report
Journal of Clinical Case Reports

Journal of Clinical Case Reports

ISSN: 2165-7920

Open Access

Case Report - (2025) Volume 15, Issue 2

Mycobacterium bovis Aortitis after Intravesical Instillation of OncoTICE: A Case Report

Tana Berisha1*, Samy Mzougui2, Benoit Buysschaert3, François Jouret1,4, François Paquot1 and Antoine Bouquegneau1,4
*Correspondence: Tana Berisha, Department of Nephrology, University Hospital of Liège (CHU), University of Liège (ULiège), Belgium, Tel: +32498252836, Email:
1Department of Nephrology, University Hospital of Liège (CHU), University of Liège (ULiège), Belgium
2Department of Microbiology, University Hospital of Liège (CHU), University of Liège (ULiège), Belgium
3Department of Nephrology, University Hospital of Huy (CHR), University of Liège (ULiège), Belgium
4Laboratory of Translational Research in Nephrology, GIGA Institute, University of Liège (Uliège), Belgium

Received: 20-Feb-2025, Manuscript No. jccr-25-161603; Editor assigned: 22-Feb-2025, Pre QC No. P-161603; Reviewed: 06-Mar-2025, QC No. Q-161603; Revised: 13-Mar-2025, Manuscript No. R-161603; Published: 20-Mar-2025 , DOI: 10.37421/2165-7920.2025.15.1651
Citation: Berisha, Tana, Samy Mzougui, Benoit Buysschaert and François Jouret et al. “Mycobacterium bovis Aortitis after Intravesical Instillation of OncoTICE: A Case Report.” J Clin Case Rep 15 (2025): 1651.
Copyright: © 2025 Berisha T, et al. This is an open-access article distributed under the terms of the Creative Commons Attribution License, which permits unrestricted use, distribution, and reproduction in any medium, provided the original author and source are credited.

Abstract

Through a rare and complex clinical history of Mycobacterium bovis aortitis after intravesical instillation of OncoTICE, we illustrate the importance of a thorough diagnostic research, considering the history of the patient in its entirety and the collaboration between various medical discipline such as histopathology, bacteriology, radiology, internal medicine and surgery. This multidisciplinary approach allows us to avoid the rapidly deteriorating and sometimes fatal evolutions that are all too after encountered in rare diseases.

Keywords

Mycobacterium bovis • Aortitis • Tuberculosis • OncoTICE • Case report

Introduction

Infectious aortitis following intravesical instillation of OncoTICE is rare and likely underdiagnosed due to the challenge of establishing a causal link. This challenge stems from the prolonged latency between exposure and symptom onset, as well as the complexity of histopathological and bacteriological confirmation. We present a case highlighting these diagnostic difficulties.

Case Presentation

A 75-year-old patient referred to our nephrology department for deterioration of renal function staged Acute Kidney Injury Network (AKIN) III, biological inflammatory syndrome and suspicion of aortitis based on Thoracoabdominal (TA) CT scan.

His medical and surgical history included IgA nephropathy with non-dialysis end-stage renal disease and endoscopic bladder polyp resection for locally infiltrating high-grade papillary carcinoma with intravesical instillations of OncoTICE back in 2021.

The patient had been hospitalized one month earlier for paroxysmal atrial fibrillation and inflammatory syndrome of undetermined etiology. During this hospitalization, an oval formation originating from the right inferior chondrosternal joint of undetermined nature had been demonstrated and biopsied, revealing the presence of necrotizing granuloma. A positive Polymerase Chain Reaction (PCR) for an atypical mycobacterium was noted, although negative for Mycobacterium tuberculosis complex (MBTc). The TA CT scan showed a thickening of the thoracic aorta and the Fluorodeoxyglucose Positron Emission Tomography ([18F]FDG PET-CT) showed hyper metabolism in the wall of the thoracic aorta compatible with the diagnosis of aortitis (Figure 1).

clinical-case-reports-thoracic

Figure 1. [18F] FDG PET-CT: Thickening of the thoracic aorta compatible with the diagnosis of aortitis.

He has been admitted to hospital for a rapid deterioration of his renal function requiring the initiation of emergency hemodialysis and with an increase of biological inflammation and clinical decline. The patient was transferred to our department for management.

On clinical examination, a systolic murmur at the aortic focus 2/6, edema in the lower limbs, and bi-basal crepitus were noted. The rest of the examination was normal, and the patient had no complaints other than persistent asthenia. He had not traveled recently and had not received the Bacille-Calmette-Guérin (BCG) vaccine.

At the admission, the biology showed an anemia of mixed origin (inflammatory syndrome and chronic kidney disease) with a hemoglobin of 7.9 g/dl, no leukocytosis, hyperkalemia of 5.28 mmol/L with a creatinine level of 10 mg/dl, an inflammatory syndrome with a CRP of 75.9 mg/dl. The autoimmune work-up did not provide any additional elements to the diagnosis. Various bacteriological samples were taken, such as blood cultures, urine sediment and sputum, but without conclusive results. The classic infectious serologies came back negative. However, the presence of a positive QuantiFERON should be noted.

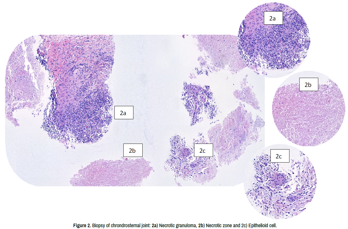
Given the absence of a clear infectious focus and the persistence of the inflammatory syndrome, a second biopsy was quickly performed on the chrondrosternal joint, once again revealing a necrotizing granuloma (Figure 2), this time with a positive PCR for MBTc. The complete characterization of the mycobacterium thanks to the fast genomic sequencing carried out from the culture showed a Mycobacterium bovis. The bacterial culture of the samples was positive after 19 days and the Ziehl-Neelsen (ZN) stain showed acid-fast bacilli suggestive of MBTc. For antibiotic susceptibility testing, we observed a resistance to Pyrazinamide. The pulmonary exploration by imaging remained negative for the search of a pulmonary tuberculosis. Direct examination of sputum for acid- fast bacilli was negative, as the culture and the PCR. Concurrently, 4 mycobacterial blood cultures were drawn in addition and 2 were positive for MBTc after 27 days each.

clinical-case-reports-epithelioid

Figure 2. Biopsy of chrondrosternal joint: 2a) Necrotic granuloma, 2b) Necrotic zone and 2c) Epithelioid cell.

In order to complete the assessment of aortitis, a transesophageal ultrasound was performed and revealed the presence of a type B aortic dissection, confirmed by thoracic angioscanner, which made it possible to specify the extent of the dissection and the size of the associated aneurysm (58 × 49mm), with evidence of ulcerations indicating an imminent risk of rupture (Figure 3).

clinical-case-reports-ulcerations

Figure 3. TA CT scanner: Type B aortic dissection with ulcerations.

Therefore, treatment with Isoniazid, Rifampicin and Ethambutol was started without further delay, as well as management in the operating room for the installation of a Thoracic EndoVascular Aortic Repair (TEVAR), as the patient's comorbidities did not allow him to be eligible for open surgery.

The patient showed a favorable evolution by the end of the hospitalization (Figure 4).

clinical-case-reports-timeline

Figure 4. Timeline.

Discussion

Mycobacterium tuberculosis aortitis is a rare infection of the aorta with only about 100 cases reported in the literature and an incidence of <1%.

The thoracic and abdominal aorta are equally affected [1-3]. The lesions are essentially (pseudo) aneurysms, stenoses, wall thickenings and ectasias. The complications encountered are dissections, ruptures, and fistulizations to bronchial and/or esophageal structures [4].

Four mechanisms of infection have been identified [2,5-7]

  1. Direct implantation at the internal surface of the aorta favored by the presence of arteriosclerosis lesions of the intima.
  2. Implantation at the level of the adventitia or the media via the vasa vasorum.
  3. Implantation via the lymphatic system at the level of the vasa vasorum.
  4. Direct extension via the external surface of the aorta through the lymph nodes or the pulmonary cavities (most frequent).

It is very rare, if not impossible, to detect the initial source of Mycobacterium tuberculosis infection and the diagnostic is frequently delay (~18 months). Indeed, it’s most often based on a high diagnostic suspicion based on the elements listed below, which together provide a degree of diagnostic certainty [1,8].

The differential diagnosis must be made with other types of infectious aortitis as well as with inflammatory aortitis.

The clinical picture is often that of persistent asthenia, weight loss, adenopathy, nocturnal sweating, persistent cough, chest pain, back pain, claudication of the limbs, blood pressure asymmetry, pulse abolition [1].

The biology shows in most cases a moderate and persistent elevation of the inflammatory syndrome, sometimes associated with a slight lymphopenia. QuantiFERON is positive, as is the skin reaction after intradermal injection of tuberculin.

Histopathology reveals granuloma with caseous necrosis. When surgery is performed, aortic biopsy is often diagnostically valuable in histopathology but rarely in bacteriology. In most cases, biopsies are taken from more accessible sites, such as lymph nodes, which also provide a high histopathological yield. Less frequently, characteristic skin lesions may be biopsied. In majority of cases, a definitive diagnosis relies on pathological examination [1].

Bacteriology is crucial for the definitive diagnosis of Mycobacterium tuberculosis aortitis but remains challenging to obtain, often leading to diagnostic delays or failures. The infection’s anatomical site, with lower oxygen levels than the lungs, may explain the reduced bacterial load. Direct examination with ZN staining is usually negative, whether on aortic or lymph node biopsies or sputum. Culture on specific media takes approximately six weeks, further delaying diagnosis. Blood cultures, though suggestive of cardiovascular infection, have limited sensitivity. Conversely, PCR on lymph node or aortic biopsies is highly specific (~100%) but moderately sensitive (~85%), meaning a negative result does not rule out the diagnosis. Therefore, multiple samples are recommended in suspected cases. Identifying the exact Mycobacterium strain is essential for targeted therapy. Lastly, specimen quality and quantity remain key factors in diagnostic accuracy [1,8,9].

Imaging is a valuable aid in the diagnosis of aortitis, which is based on the demonstration of a wall thickening of more than 3 mm. The best examination is the TA CT scanner. It allows to observe the presence of an inflammatory sleeve at the level of the infected site, and to appreciate the type of lesion. [18F]FDG PET-CT also allows to specify the extension of the inflammatory sleeve but also the other potentially infected sites, more accessible to biopsy [1,9].

The risk factors for developing such a condition are essentially based on elements leading to a certain degree of immunosuppression such as diabetes, Human Immunodeficiency Virus Infection (HIV), autoimmune disease, use of corticosteroids and/or; immunosuppressants; or a pre-existing vasculitis with genetics like MBTc, such as Takayasu disease [1,8].

The ideal treatment is a combination of drug therapy and prompt surgical treatment, with an estimated survival rate of 87% [5,8].

From an antimicrobial treatment perspective, the standard quadritherapy is recommended, consisting of Isoniazid (300mg/day), Rifampicin (600mg/day), Pyrazinamide (15-30mg/kg/day) and Ethambutol (15- 25mg/kg/day). The duration of treatment typically ranges from 6 and 12 months. Discontinuation is guided by the type of surgical intervention performed, as well as clinical, biological, and imaging findings, ensuring adequate infection control before cessation [5,7,8].

In cases of aortic stenosis and associated claudication, corticosteroid administration is recommended to reduce local inflammation and allow for a more successful surgical procedure. The recommended daily doses vary from 0.25 mg/kg to 2 mg/kg. It is also worth noting that surprisingly, according to a 2017 study by Delaval L, et al, the administration of corticosteroids would reduce mortality in all forms of Mycobacterium tuberculosis- related infection [1].

From a surgical perspective, prompt intervention is crucial, as the risk of severe complications such as rupture, dissection and fistulization is frequent, unpredictable and often fatal. In the case of aneurysms, the size does not influence the urgency of surgery, which should always be considered an emergency. The optimal approach is open surgery (bypass or in situ prosthetic replacement), allowing for more precise intervention at the lesion site - most often a pseudoaneurysm - as well as a more effective debridement and excision of infected tissue. However, this approach may not always be feasible due to patient's comorbidities or the acute setting. In such cases, a TEVAR procedure is an alternative, offering a less invasive but also less optimal in the long-term solution. Indeed, TEVAR does not allow for proper decontamination of the infected site and introduces prosthetic material, which could facilitate reinfection after discontinuation of antimicrobial therapy. Some literature reviews even recommend lifelong anti-tuberculosis treatment in such cases. However, delayed open surgery remains an option in certain situations. To minimize the risk of infectious recurrence, some centers advocate the use of dacron stent graft impregnate with Rifampicine [2,5,7,8,10,11].

Follow-up should be long, biological, clinical and scannographic. There are no clear guidelines given the rarity of the condition, but CT imaging is recommended at least annually. Particular attention must be paid to the side effects of the drugs used in quadruple therapy, especially in view of the prolonged duration of treatment. The risks of recurrence are mostly encountered in the case of surgical management of TEVAR, lack of patient compliance, or early discontinuation of the quadruple therapy due to intolerance [8,11].

In the case of tuberculous aortitis occurring after intravesical instillation of OncoTICE, the management is similar, but the diagnosis may be even more complex. Only 35 cases of iatrogenic vascular infections following BCG instillation have been reported in the literature since the first use of this treatment in bladder cancer in the 1970s [10,12,13].

OncoTICE is an intravesical immunotherapy using live attenuated strain of Mycobacterium bovis, widely for the treatment of superficial bladder cancer. Complications remain rare (~5%). However, in recent years, cases of increasing number of Mycobacterium bovis infections have been reported in the literature. The present case further illustrates this phenomenon [7,12-14].

Infections can be early or late as in our patient. In the first case, clinical signs often appear between 8-12 weeks after the first instillation of OncoTICE. The infection often appears immediately disseminated, with a predilection for the lungs and liver. The diagnosis is based in most cases on the demonstration of necrotic granuloma on biopsy of infected tissues. Direct examination and culture are rarely helpful. PCR for MBTc offers a slightly higher diagnostic yield. If positive, further identification should be performed to determine if the strain is indeed Mycobacterium bovis. In cases of late presentation, the onset of clinical signs is seen more than one year after the first instillation of OncoTICE. The infection is most often localized to the urinary system. The diagnosis is also mostly based on histopathology. In this case, cultures are more often positive.

The same drug treatment (Isoniazid, Ethambutol, Rifampicin) is applied in both cases and must be maintained for 6-12 months according to the literature. Surgical management should also be undertaken in cases of vascular disease [7,12,14,15].

The hypothesis explaining the occurrence of early infections is based on a generalized granulomatous immune reaction in response to repeated instillations of BCG in a competent host. This explains the absence of bacteriologic documentation in most cases [14].

The hypothesis explaining the occurrence of late infections is based on a very likely reactivation of the infection after an initially good control that prevented the occurrence of a disseminated infection. One of the risk factors identified is the occurrence of an immunosuppressed state [14].

A key risk factor for iatrogenic Mycobacterium bovis infection is the presence of urinary tract lesions, such as those occurring after a polypectomy. Therefore, it’s recommended to delay OncoTICE instillations for at least six weeks following any procedure that may compromise the integrity of the urinary tract.

It should be noted that Mycobacterium bovis infection can also occur after BCG vaccination. The literature reports a case of BCG reactivation in a 13-year-old patient treated with chemotherapy for Hodgkin's lymphoma. The favorable factor identified was relative immunosuppression due to anti-cancer treatments [16].

Conclusion

Tuberculous aortitis is a rare condition with a complex diagnosis, but with good survival rates when the diagnostic investigation is carried out assiduously, in multidisciplinary collaboration, and drug and surgical treatment initiated as soon as possible.

The number of iatrogenic BCG infections following intravesical OncoTICE instillations or post-BCG vaccination is most likely underestimated because the link between the two events is difficult to establish and bacteriologic and/or pathologic evidence is rarely obtained. It is often necessary to repeat the sampling.

This case highlights the importance of a comprehensive patient assessment to avoid overlooking complex diagnoses, such as iatrogenic aortitis following intravesical OncoTICE instillation.

Acknowledgment

None.

Disclosures of Interest

The authors report no conflicts of interest.

References

  1. Delaval, Laure, Tiphaine Goulenok, Paul Achouh and David Saadoun, et al. "New insights on tuberculous aortitis." J Vasc Surg 66 (2017): 209-215.
  2. Google Scholar, Crossref, Indexed at

  3. Manuel, Viviana, José Tiago, Pedro Martins and Carlos Martins, et al. "Tuberculous aortitis, a case report." Angiol E Cir Vasc 12 (2016): 283-286.
  4. Google Scholar, Crossref, Indexed at

  5. Adefuye, Mayowa A., Nisha Manjunatha, Vinutna Ganduri and Kruthiga Rajasekaran, et al. "Tuberculosis and cardiovascular complications: An overview." Cureus 14 (2022).
  6. Google Scholar, Crossref, Indexed at

  7. Sekgololo, Joseph Motshedi, Chauke Risenga Frank, Vally Moinuddeen and Dehghan-Dehnavi Alireza, et al. "Tuberculous aortitis as a rare cause of aortobronchial fistula with massive haemoptysis: A case report." Int J Surg Case Rep 70 (2020): 238-242.
  8. Google Scholar, Crossref, Indexed at

  9. De Smet, D., M. C. Payen, J. Remes and M. Vouche, et al. "Tuberculosis and pseudoaneurysms." Med Mal Infect 50 (2020): 446-450.
  10. Google Scholar, Crossref, Indexed at

  11. Zimmermann, B. and J. Bres. "A complicated infectious aortitis." Med Infect Dis 40 (2010): 662-663.
  12. Google Scholar, Crossref, Indexed at

  13. Santbergen, Bart, P. H. W. E. Vriens, W. C. M. De Lange and M. E. E. Van Kasteren. "Combined infection of vertebroplasty and aortic graft after intravesical BCG treatment." Case Rep 2013 (2013): bcr2012008161.
  14. Google Scholar, Crossref, Indexed at

  15. López‐López, José Patricio, Edith L. Posada‐Martínez, Clara Saldarriaga and Fernando Wyss, et al. "Tuberculosis and the heart." J Am Heart Assoc 10 (2021): e019435.
  16. Google Scholar, Crossref, Indexed at

  17. Fernández-Castro, Iván, María-Jesús Isorna-Porto, Ignacio Novo-Veleiro and Clara Casar-Cocheteux, et al. "An Atypical Manifestation of Mycobacterium tuberculosis Infection." Eur J Case Rep Intern Med 8 (2021): 002598.
  18. Google Scholar, Crossref, Indexed at

  19. Wadhwani, Aman, Randy D. Moore, Darshan Bakshi and Anirudh Mirakhur. "Mycotic aortic aneurysms post-Intravesical BCG treatment for early-stage bladder carcinoma." CVIR Endovasc 1 (2018): 1-5.
  20. Google Scholar, Crossref, Indexed at

  21. Tehrani, Nader, Sara Will and Pegge Halandras. "Endovascular repair of a bacillus Calmette-Guérin mycotic aortic aneurysm." J Vasc Surg Cases Innov Tech 8 (2022): 570-573.
  22. Google Scholar, Crossref, Indexed at

  23. Seelig, Matthias H., W. Andrew Oldenburg, Paul J. Klingler and Michael L. Blute, et al. "Mycotic vascular infections of large arteries with Mycobacterium bovis after intravesical bacillus Calmette-Guérin therapy: Case report." J Vasc Surg 29 (1999): 377-381.
  24. Google Scholar, Crossref, Indexed at

  25. Gamble, Nathan, Robert Blair, Sam Gray and Michael Hunter, et al. "Tuberculosis aortitis and mycotic pseudo-aneurysm of the infra-renal aorta after intravesicular BCG therapy."  Ulster Med J 91 (2022): 92.
  26. Google Scholar, Indexed at

  27. Gonzalez, Omar Y., Daniel M. Musher, Indira Brar and Seth Furgeson, et al. "Spectrum of bacille Calmette-Guérin (BCG) infection after intravesical BCG immunotherapy." Clin Infect Dis 36 (2003): 140-148.
  28. Google Scholar, Crossref, Indexed at

  29. Buerger, Matthias, S. Kapahnke, Safwan Omran and Martin Schomaker, et al. "Aortic aneurysm and aortic graft infection related to Mycobacterium bovis after intravesical Bacille Calmette–Guérin therapy—A case series." BMC Surg 21 (2021): 1-7.
  30. Google Scholar, Crossref, Indexed at

  31. Vos, Margreet C., Petra EW de Haas, Henri A. Verbrugh and Nicole HM Renders, et al. "Nosocomial Mycobacterium bovis–bacille Calmette-Guérin infections due to contamination of chemotherapeutics: Case finding and route of transmission." J Infect Dis 188 (2003): 1332-1335.
  32. Google Scholar, Crossref, Indexed at

Google Scholar citation report
Citations: 1345

Journal of Clinical Case Reports received 1345 citations as per Google Scholar report

Journal of Clinical Case Reports peer review process verified at publons

Indexed In

 
arrow_upward arrow_upward