GET THE APP

Toxic Hepatitis Due To Ingesting Ferula Communis (Giant Fennel); Case Series
Clinical and Medical Case Reports

Clinical and Medical Case Reports

ISSN: 2684-4915

Open Access

Case Report - (2021) Volume 5, Issue 11

Toxic Hepatitis Due To Ingesting Ferula Communis (Giant Fennel); Case Series

Caliskan AR1*, Harputluoglu MMM2, Slocum A3, Kutlu R4 and Yilmaz S5
*Correspondence: Caliskan AR, Department of Gastroenterology, Adiyaman Training and Research Hospital, Turkey, Tel: +90 416 216 10 15, Email:
1Department of Gastroenterology, Adiyaman Training and Research Hospital, Adiyaman, Turkey
2Department of Gastroenterology, Faculty of Medicine, Inonu University, Malatya, Turkey
3Department of Internal Medicine, Faculty of Medicine, Inonu University, Malatya, Turkey
4Department of Radiology, Liver Transplantation Institute, Faculty of Medicine, Malatya, Turkey
5Department of General Surgery, Liver Transplantation Institute, Faculty of Medicine, Inonu University, Malatya, Turkey

Received: 02-Nov-2021 Published: 30-Nov-2021
Citation: AR, Caliskan, Harputluoglu MMM, Slocum A, Kutlu R, Yilmaz S. " Toxic Hepatitis Due To Ingesting Ferula Communis (Giant Fennel); Case Series". Clin Med Case Rep 5 (2021):176.
Copyright: © 2021 Ali Riza C et al. This is an open-access article distributed under the terms of the Creative Commons Attribution License, which permits unrestricted use, distribution, and reproduction in any medium, provided the original author and source are credited.

Abstract

Awareness of the potential hepatotoxic effects of herbal preparations and dietary supplements is increasing. The drug-induced liver injury network (DILIN) states that herbal and dietary supplements (HDS) account for 16% of DILI cases, and this rate, which was 7% in 2004-2005, is estimated to increase to 20% in 2013-2014. In our series of 6 cases, 5 of the patients were from the same family, and there was a 4-month pregnant patient. One day after eating ferula communis, the patients were taken to the emergency room due to nausea, vomiting, and abdominal pain. The current hepatitis tables were evaluated as the hepatocellular pattern. Intravenous (i.v.) hydration and acetylcysteine 3x1 ampule iv. were administered to the patients. Two sessions of plasmapheresis were performed for one of the patients who had a presentation of fulminant hepatitis. An improvement was observed in the clinical presentation of the patients and their laboratory findings during follow-ups. The patients were discharged after an average of five days of follow-up. Wild plant consumption should also be questioned in patients being followed up with acute hepatitis or food poisoning clinics.

Keywords

Ferula Communis • Hepatotoxicity • Herbal and Dietary Supplements

Introduction

Awareness of the potential hepatotoxic effects of herbal preparations and dietary supplements is increasing [1]. Over the last decade, it has been shown that herbals can affect all the cells present in the liver. Herbals may cause acute hepatitis, chronic hepatitis, cirrhosis, liver failure, cholangitis, steatosis, and vascular lesions from mild asymptomatic liver enzyme elevation [2, 3]. Drug-induced liver injury network (DILIN) states that herbal and dietary supplements (HDS) account for 16% of DILI cases, and this rate, which was 7% in 2004-2005, is estimated to increase to 20% in 2013-2014 [4].

Here we reported six cases that presented with liver injury after consuming Ferula Communis (Giant Fennel).

Cases

In our series of six cases, five of the patients were from the same family, and there was a 4-month pregnant patient. It was learned that the plant called Ferula Communis was freshly collected and was consumed after its leaves were cut and the stem was boiled and kept in cold water for one day. It was eaten like spinach. In some regions of Turkey, it was prepared as pickle and consumed with the meals. One day after eating this meal, patients were taken to the emergency due to nausea, vomiting, and abdominal pain. Due to the risk of the development of acute fulminant hepatitis, the patients were transferred to our transplantation clinic.

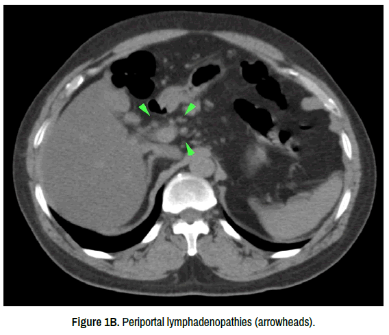
There were no pathological findings in the physical examinations of the patients during admission. The patient with fulminant hepatitis was followed up in the intensive care unit, and the other five stable patients were followed up in the inpatient ward. The current hepatitis tables were evaluated as the hepatocellular pattern. Intravenous (i.v.) hydration and acetylcysteine 3x1 ampule iv. were administered to the patients. Two sessions of plasmapheresis were performed in the case of the patient who had fulminant hepatitis. HBs Ag, HBV Ig-M, HAV Ig-M, Anti-HCV, HEV Ig-M, ANA, AMA, ASMA, serum Ig G-A-M were negative. There was no history of comorbidity, alcohol, illicit drug or medication use, and no evidence of heart failure. General characteristics and laboratory findings of patients at presentation are shown in Table 1. In all abdominal USG’s of the patients, liver size growth and peri-portal edema were observed. Axial non-contrast-enhanced CT slices show diffusely decreased parenchymal attenuation (low hepatic HU values compared to the spleen) (A) and periportal lymphadenopathies (arrowheads)(B) (Figure 1A & 1B). An improvement was observed in the clinical presentation of the patients and their laboratory findings during follow-ups. Patients were discharged after a mean follow-up of five days. Elevation of the patients’ liver function tests completely resolved in an average of one month. Informed consent was obtained from the patients for the publication of health records.

Figure

Figure 1a. Axial non-contrast-enhanced CT slices show diffusely decreased parenchymal attenuation (low hepatic HU values compared to the spleen)

Figure

Figure 1b. Periportal lymphadenopathies (arrowheads).

Table 1: General characteristics and laboratory findings of patients at presentation

  Age Sex ALT AST ALP T. Bilirubin LDH INR R RUCAM Severity
Case 1 44 Male 7218 7748 125 3.5 8333 2.8 164 +6(Probable) 4+: Severe
Case 2 27 Male 3352 1284 91 2.3 1080 1.2 105 +6(Probable) 4+: Severe
Case 3 23 Female 2767 1269 92 3.5 662 1.3 85 +6(Probable) 4+: Severe
Case 4 51 Female 1043 634 80 0.5 702 1.1 37 +6(Probable) 1+: Mild
Case 5 26 Female 957 570 58 1.1 428 1.2 47 +3(Unlikely) 1+: Mild
Case 6 19 Male 440 217 99 0.8 761 1.8 12 +3(Unlikely) 1+: Mild

ALT: Alanine aminotransferase, AST: Aspartate aminotransferase, ALP: Alkaline phosphatase, T.Bilirubin: Total bilirubin, RUCAM: Roussel Uclaf Causality Assessment Method
Normal Values: ALT (0-55 U/L), AST (5-34 U/L), ALP (38-155 U/L), T.Bilirubin (0.2-1.2 mg/dL), LDH (125-243 U/L)

Discussion

Ferula genus has about 170 species, which can be seen in Central Asia, the Mediterranean region, and North Africa [5]. Ferula communis (Giant Fennel) is a perennial plant that is 1-2.5 meters high, fragrant, and latex with dense roots. The stem of the plant is cylindrical, green-colored and stripped. It has 8-10 cm long branches, and leaves are large and hairless [6]. (Figure 2A & 2B)

Figure

Figure 2a. Showing leaves are large and hairless

Figure

Figure 2b. Showing leaves and Flower.

Ferula communis has two chemotypes with different biological effects. The venomous chemotype comprises mainly the prenyl coumarins, such as ferulenol, and the related compounds responsible for ferulose (a fatal hemorrhagic disease that affects goats, sheep, cattle, and horses primarily) and toxicity. The other chemotype is non-toxic and contains daucane esters [7, 8]. Ferula is a genius, rich in coumarins, especially sesquiterpene coumarins. Many sesquiterpene coumarins of this genus have been described previously [9].

In a follow-up report by Bilger et al., two or five days after consuming Ferula Communis for food purposes, seven patients from the same family developed nausea and abdominal bulging. Upon examination, liver function tests were found to be elevated. The clinical presentation and laboratory values of the patients improved, and no bleeding disorder developed in the patients [10]. Severe acute hepatitis has been reported in 30 patients after eating Ferula Communis. However, the need for liver transplantation was not required in any of the patients [11].

In Anatolia, it is believed that Ferula Communis is a source of healing for various diseases. Ferula Communis is believed to be medicinal for diabetes, atherosclerosis, and libido disorders. Therefore, it is consumed fresh or dried. In some regions of Turkey, it is eaten for food purposes.

Only one of our patients developed fulminant liver failure, and two sessions of plasmapheresis were performed on this patient. The patients were given bed rest, i.v. hydration and acetylcysteine 3x1 i.v. treatment was started. None of the cases developed hemorrhaging during the follow-up period, and their clinical features and laboratory values improved in a short time. We did not fully understand why the RUCAM score was lower in 2 patients than the other patients.

Conclusion

As a result, it should be thought that wild plants consumed for food purposes can cause liver damage. Consuming wild plants should also be questioned in patients being followed up with acute hepatitis or food poisoning clinics. The physician who follows the patient should remember that herbal products and food supplements can also cause liver damage. Plant diversity is abundant in different geographical regions. We need to have knowledge and experience in this field as well. Real-life experiences and experimental researches will contribute to the knowledge of herbals-induced liver injury.

References

arrow_upward arrow_upward