GET THE APP

Malignant Epithelial Tumor of the Liver with Trophoblastic Differentiation
Journal of Integrative Oncology

Journal of Integrative Oncology

ISSN: 2329-6771

Open Access

Short Communication - (2025) Volume 14, Issue 1

Malignant Epithelial Tumor of the Liver with Trophoblastic Differentiation

Guner Akguner*
*Correspondence: Guner Akguner, Department of Medical Oncology, Etlik City Hospital, Ankara, Turkey, Email:
Department of Medical Oncology, Etlik City Hospital, Ankara, Turkey

Received: 25-Jul-2024, Manuscript No. JIO-24-143216; Editor assigned: 30-Jul-2024, Pre QC No. JIO-24-143216 (PQ); Reviewed: 13-Aug-2024, QC No. JIO-24-143216; Revised: 16-Feb-2025, Manuscript No. JIO-24-143216 (R); Published: 23-Feb-2025 , DOI: 10.37421/2329-6771.2025.14.524
Citation: Akguner, Guner. "Malignant Epithelial Tumor of the Liver with Trophoblastic Differentiation." J Integr Oncol 14 (2025): 524.
Copyright: © 2025 Akguner G. This is an open-access article distributed under the terms of the creative commons attribution license which permits unrestricted use, distribution and reproduction in any medium, provided the original author and source are credited.

Introduction

A 51-year-old male patient presented with right upper quadrant abdominal pain for 2 months. CT imaging revealed metastatic lesions in the liver and lung. Histologically, biopsy showed beta-Human Chorionic Gonadotropin (β-hCG) (+) malignant tumor infiltration with high grade trophoblastic differentiation. AFP and β-hCG were elevated in blood biochemistry. Genitourinary system examination and imaging were normal. Cisplatin+etoposide chemotherapy regimen was administered. After 4 cycles, the patient's general condition improved, blood AFP and β-hCG levels decreased significantly and lung and liver lesions shrunk. In this article, we present a case of epithelial tumor with trophoblastic differentiation. Because of its rarity and poor prognosis, it is important to clarify the characteristics of the disease and to make an accurate and rapid diagnosis.

Non-seminamatous Germ Cell Tumors (NSGCTs) include teratoma, embryonal carcinoma, endodermal sinus tumor (yolk sac tumor), choriocarcinoma and tumors with mixed histology. Trophoblastic differentiation can be seen in NSGCTs. Cancers with syncytiotrophoblasts and cytotrophoblasts are rarely found in extragenital organs such as the stomach, colon and bladder. BetaHCG and AFP levels are elevated in the majority of cases. Platinumbased therapies form the basis of chemotherapy.

Description

A 51-year-old male patient was investigated for right upper quadrant abdominal pain, weakness and shortness of breath. Blood parameters at the time of diagnosis were wbc: 9.82 (103/µL), HGB: 14 (g/dL) platelet: 603 (103 /µL) AST: 25 (U/L) ALT: 7 (U/L) total bil: 0.9 direct bilirubin: 0.75 (mg/dL), INR: 1.03 BUN: 28 (mg/dL), creatin: 0.87 (mg/dL), LDH: 725 (U/L) Beta-hcg: 40758 (IU/L), AFP: 60423 (µg/L). Hepatobiliary USG showed hepatomegaly and multiple hyperechoic solid lesions with irregular borders in the liver, containing cystic degenerated areas and suspicious for metastasis. Thoracic and abdominal CT showed a highly heterogeneous appearance secondary to mass lesions in the liver parenchyma, the largest of which was located in the posterior of the right lobe, measuring approximately 96 × 120 mm in size, containing cystic-necrotic areas in places and hypovascular in all phases compared to the parenchyma, acute massive thrombus was observed in the left main branch, upper and lower lobar branches and partially in the proximal segment branches of the pulmonary trunk, especially in the left lower lobe and a noncalcific parenchymal nodule approximately 7.8 mm diameter noncalcific parenchymal nodule in the medial segment of the middle lobe of the right lung, which may be compatible with a smoothly circumscribed metastasis. Biopsy results obtained from suspicious lesions in the liver for metastasis were compatible with high-grade malignant tumor infiltration with trophoblastic differentiation. Keratin 7, GATA-3, SALL-4 and beta-HCG were positive; keratin 20, p63, glypican-3, heppar-1, arginase, plap, afp, hPl and oct3/4 were negative in immunohistochemical staining (IHC). Ki 67 profiling index was 80%. Scrotal examination was normal and there was no finding compatible with tumor on scrotal USG. Bleomycin+cisplatin+etoposide chemotherapy with the diagnosis of germ cell tumor was started as cisplatin+etoposide by skipping bleomycin because of massive pulmonary embolism and lung insuficiency. After 4 cycles, the patient's tomography showed regression in metastatic lesions in the liver (the largest being 10.5 × 7.5 cm) and lung and a decrease in tumor parameters in the blood (AFP: 17063 (µg/L), Beta-hcg: 823 (IU/L)) as shown in Figure 1.

XXXXXX

Figure 1. GATA3 immunohistochemical stain highlights in epithelial tumors.

Malignant epithelial tumors with trophoblastic differentiation are rare in men. It would be appropriate to consider these tumors in the context of male choriocarcinoma, which is also a rare entity [1,2]. Although the basic treatment approach is similar to non seminomatous germ cell tumors, the prognosis is almost always much worse [3]. Beta-HCG-secreting tumors should be considered in the differential diagnosis of the young to middle-aged male patient as shown in Figure 2.

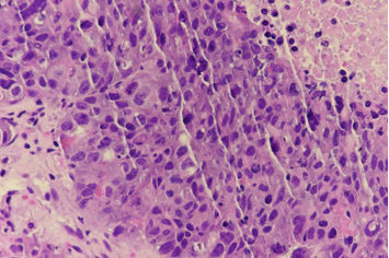
XXXXXX

Figure 2. Tumor cells appeared to show syncytiotrophoblastic morphology.

Conclusion

Due to the limited number of cases reported so far in the English literature, the diagnosis of male cases with germ cell tumor-like presentation may only be possible with pathologist awareness in histopathologic evaluation.

References

Google Scholar citation report
Citations: 495

Journal of Integrative Oncology received 495 citations as per Google Scholar report

Journal of Integrative Oncology peer review process verified at publons

Indexed In

 
arrow_upward arrow_upward