GET THE APP

Late-Onset Myopathy Responsive to Immunomodulatory Treatment
Neurological Disorders

Neurological Disorders

ISSN: 2329-6895

Open Access

Case Report - (2025) Volume 13, Issue 1

Late-Onset Myopathy Responsive to Immunomodulatory Treatment

Menachem Sadeh1*, Yakov Fellig2 and Ron Dabby1
*Correspondence: Menachem Sadeh, Department of Neurology, Wolfson Medical Center, Holon and Faculty of Medicine, Tel Aviv University, Tel Aviv, Israel, Email:
1Department of Neurology, Wolfson Medical Center, Holon and Faculty of Medicine, Tel Aviv University, Tel Aviv, Israel
2Department of Pathology, Hadassah Medical Organization and Faculty of Medicine, Hebrew University, Jerusalem, Israel

Received: 28-Jun-2024, Manuscript No. JND-24-140154; Editor assigned: 02-Jul-2024, Pre QC No. JND-24-140154 (PQ); Reviewed: 16-Jul-2024, QC No. JND-24-140154; Revised: 16-May-2025, Manuscript No. JND-24-140154 (R); Published: 23-May-2025 , DOI: 10.37421/2161-0959.2025.13.631
Citation: Sadeh, Menachem, Yakov Fellig and Ron Dabby. "Late-Onset Myopathy Responsive to Immunomodulatory Treatment." J Neurol Disord 13 (2025): 631.
Copyright: © 2025 Sadeh M, et al. This is an open-access article distributed under the terms of the creative commons attribution license which permits unrestricted use, distribution and reproduction in any medium, provided the original author and source are credited.

Abstract

Late-Onset Sporadic Nemaline Myopathy (SLONM) is a rare, treatable or potentially life-threatening, muscle disorder that typically manifests late in life and is characterized by the presence of nemaline rods within muscle fibers, serving as the hallmark of the disease and the key to diagnosis. We report a case of an elderly patient with sub-acute onset of severe weakness affecting the upper and lower limbs, neck extensors and abdominal muscles. Muscle biopsies showed nonspecific myopathic changes without inflammation, and electron microscopy did not reveal rods or aggregates. The laboratory workup was unremarkable except for the detection of Monoclonal Gammopathy of Undetermined Significance (MGUS). Steroid treatment was ineffective; however, there was a notable positive response to intravenous immunoglobulins. The neurological findings, subacute course, normal CK levels, presence of MGUS, and responsiveness to immunoglobulin treatment but not to steroids align with the characteristics of SLONM. We propose that the diagnosis of SLONM should be considered even in the absence of nemaline rods in muscle biopsy, and this should not impede the consideration of immunomodulatory treatment. Future progress in understanding the pathogenetic basis of SLONM may reduce reliance on pathological findings in muscle biopsies for establishing the diagnosis.

Keywords

Late-onset myopathy • Sporadic Late-Onset Nemaline Myopathy (SLONM) • Neck extensor weakness • Monoclonal Gammopathy of Undetermined Significance (MGUS)

Introduction

Myopathies that manifest in the seventh or eighth decade of life are quite prevalent in clinical practice [1-3]. Currently, treatable myopathies with such a late onset, include inflammatory myopathies [4], riboflavin-responsive lipid storage myopathy [5,6], and late-onset sporadic nemaline myopathy [7].

Presently the diagnosis of SLONM is based on detecting nemaline rods in muscle biopsy, whether through light microscopy or electron microscopy. However, our case report prompts us to suggest that the diagnosis of SLONM should be contemplated in the appropriate clinical context, even when nemaline rods are not evident in muscle biopsies. Such consideration could facilitate early treatment and enhance the prognosis for this otherwise fatal disease.

Case Presentation

A 63-year-old was generally healthy, without neurological diseases in his family. In 2019 he noticed some wasting of the periscapular and thigh muscles, and difficulties in walking. Laboratory tests including CK level were normal. In the EMG examination, myopathic changes were detected in the left iliopsoas, while the remaining muscles exhibited normal findings. RNS was normal. Antibodies against AChR were not found. MRI of the thigh muscles showed slight swelling of the paravertebral, iliopsoas and adductor muscles. Cervical MRI showed mild discs bulging without cord compression, however, edema of the paraspinal muscles was visible. He was referred to our department.

Examination showed wasting of the shoulder muscles and of the deltoids. Weakness 4/5 (on the MRC scale) of the infraspinatus muscles, and weakness 4-/5 of the iliopsoas muscles with normal strength in all other muscles. Biopsy of the quadriceps was stained with Hematoxylin and Eosin (H and E), modified Gomori Trichrome, PAS, Oil Red O, NADH-Tetrazolium reductase, cytochrome oxidase with succinate dehydrogenase, ATPase at PH 9.4 and after preincubation at pH 4.3 and 4.6 and Congo red. Immunohistochemically staining for dystrophin 1-3, dysferlin, alphasarcoglycan, beta-sarcoglycan, gamma-sarcoglycan, delta-sarcoglycan, merosin, caveolin 3 was performed as well as for CD3, CD4, CD8, CD20, CD68, MHC class 1, C5b9. It showed variability in fibers size, multiple internal nuclei, and type 1 fibers predominance. There were sporadic ungrouped small atrophic fibers. Immunohistochemically stains were normal, and there was no evidence for inflammation.

Further studies encompassed myositis antibodies panel including anti-Signal Recognition Particle (SRP) and anti-Hydroxy-3- Methylglutaryl-Coa Reductase (HMGCR) antibodies, comprehensive genetic myopathy panel (Invitae laboratories), genetic studies for myotonic dystrophy 2 and FSHD1, and were all negative. Protein immunofixation electrophoresis detected a monoclonal band, that was defined by a hematologist as Monoclonal Gammopathy of Unknown Significance (MGUS).

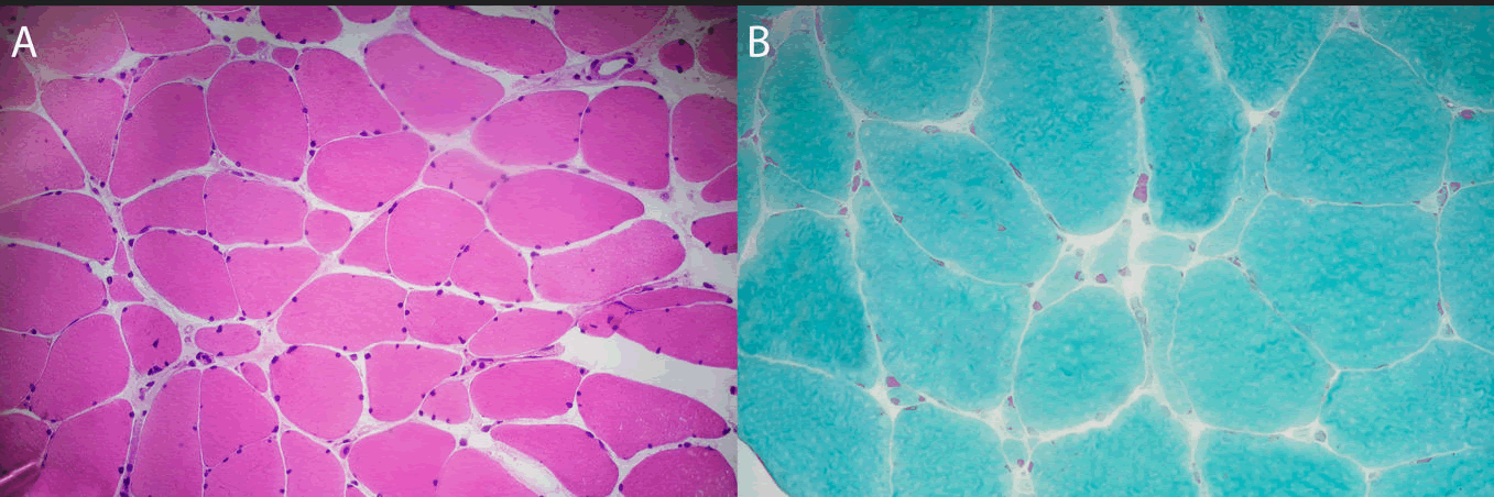
His condition worsened quite rapidly. He complained on difficulties in holding his head in an upright position and getting up from a chair. He observed further wasting of the muscles of the arms and calves. On a follow up examination six months later there was severe wasting of the cervical paraspinal muscles with 4/5 weakness of the neck extensors. The deltoid and infraspinatus muscles showed 4/5 strength bilaterally. In the lower limbs there was 2/5 weakness of the iliopsoas muscles and 4/5 of the glutei maximus with mild weakness of the adductors and glutei medius. There was also severe weakness of the abdominal muscles accompanying an abdominal hernia. Repeated EMG study showed severe myopathic changes without fibrillations in the proximal muscles. CK level was 76 iu/l. Another muscle biopsy was stained similarly to the previous one and showed similar changes (Figure 1). Further studies including anti MUSK and anti VGCC antibodies, paraneoplastic antibodies and total body CT scan were negative.

faft-mic

Figure 1. H and E (a) and trichrome (b) stains showing marked variability in fibers sizes. There are a few tiny fibers with scant cytoplasm surrounding the nucleus.

Treatment with prednisone 60 mg a day for 3 months was without any effect on muscle strength. Methotrexate at a dosage of 15 mg per week was added. Nevertheless, the strength of the neck extensors diminished to 2/5, and there was no discernible improvement in the other muscles. Pulse steroid therapy with 1000 mg of methylprednisolone for 5 days, 1000 mg once a week for 4 weeks and 1000 mg every second weeks for 2 months was ineffective.

The muscle biopsies were revised. Additional staining of both biopsies with desmin, myotilin and alpha-actinin did not reveal the presence of rods or aggregates. Electron microscopy of the second biopsy disclosed normal myofibrillar structure, mitochondria, and nuclei. No rods or aggregates were detected.

Treatment with IV immunoglobulins was instituted. He received 40 g daily for 5 days and then 40 g every 3 weeks. After a month, some improvement was noticed. He could raise his hips from the bed, and he succeeded to lift his head and hold it up. The wasted muscles of the arms and calves gradually regained mass. He could raise from a sitting position with minimal aid of the hands. On recent examination neck extensors were 3/5, left deltoid 4/5, left infraspinatus 4/5, iliopsoas bilaterally 3/5, and glutei maximus 4/5. All other muscles showed normal strength.

Discussion

We have presented a patient with subacute muscle weakness that manifested in the seventh decade of life, leading to rapid and severe disability. Despite an extensive investigation that encompassed muscle biopsies, laboratory studies, a myositis antibodies panel, and comprehensive genetic studies, the cause of his illness was not discovered. Because of the relatively rapid progression of the weakness, an immune-mediated cause was suspected, leading to the administration of steroid treatment. However, it proved to be ineffective. Nevertheless, IVIg treatment was initiated, halting further deterioration, and gradually leading to improvement, though not to a full recovery.

While the diagnosis remains elusive, the beneficial effect of IVIg treatment suggests an immunological basis for the disease. Inflammatory myopathy such as dermatomyositis, polymyositis or anti-synthetase syndrome can be ruled out because of lack of inflammatory foci and normal capillaries on muscle biopsies, and absence of myositis-specific antibodies [4]. The diagnosis of IMNM is unlikely because of the normal CK levels, lack of necrotic fibers, and absence of IMNM-specific antibodies [8].

Sporadic Inclusion Body Myositis (IBM) is the most common acquired myopathy among persons older than 50 years. However, the diagnosis of IBM seems implausible. None of the 3 pathological hallmarks: Endomysial inflammation, mononuclear cell invasion, and rimmed vacuoles was observed in the muscle biopsies. Although there is clinical heterogeneity in IBM patients, the relatively rapid course, weakness distribution and response to treatment are incongruent with IBM [9].

SLONM is a rare muscle disorder that typically manifests late in life and is characterized by the presence of nemaline rods within muscle fibers. The main clinical presentation consists of weakness and atrophy of proximal upper and lower limbs, axial weakness, dyspnea, and dysphagia. Neck extensors weakness is observed in about 50% of cases [10,11]. In approximately half of the cases, MGUS may be detected in the serum [7]. The hallmark of SLONM and the key to diagnosis is the presence of intracytoplasmic nemaline rods that tend to fill atrophic fibers. The nemaline rods originate from disintegration the muscle Z-disc, therefore immunohistochemistry with antibodies against Z-disc–associated proteins such as

α-actinin, myotilin, desmin, and α-B crystallin was used in addition to the trichrome stain [12]. The immunostaining with α-actinin detected the nemaline bodies in all cases in a series of 17 patients [10]. In another series of 76 patients the mean percentage of muscle fibers containing rods was 28% (range 1–63%). However, in 2 cases the rods were detected only by electron microscopy [7].

If nemaline rods had been detected in the biopsies of our patient, there would have been no doubt regarding the diagnosis of SLONM. This certainty arises from the typical neurological findings with neck extensors weakness, subacute course, normal CK levels, presence of MGUS, and responsiveness to immunoglobulin treatment but not to steroids.

SLONM is a dysimmune disease with unknown underlying cause and pathogenesis. It is defined by the presence of nemaline rods in muscle biopsy. However, is the detection of nemaline rods the sine qua non for establishing the diagnosis of SLONM? Schnitzler, et al. [7] could not detect nemaline rods with light microscopy in 2 patients in their series and suggested that if rods are not visible by light microscopy additional electron microscopic studies are indicated. In another case report the nemaline rods were identified only by an electron microscope [13].

Absence of rods in biopsy might stem from sampling errors or the potential occurrence of rods at later stages of the disease, or even their absence in some patients. Other diseases initially defined by specific pathological finding have been subsequently diagnosed even in the absence of those characteristic pathological hallmarks after the discovery of the underlying causes. For example, in a recent report, three cases with neuromuscular forms of glycogen storage disease type IV, none had polyglucosan bodies on muscle biopsy [14]. Perhaps, future advancements in comprehending the pathogenetic basis of SLONM will diminish the dependence on pathological findings in muscle biopsies.

Conclusion

As SLONM is a treatable or potentially life-threatening condition, and early intervention can markedly improve the prognosis, the absence of nemaline rods in muscle biopsy should not impede the consideration of immunomodulatory treatment. Consequently, we propose that IVIg or other appropriate therapies be contemplated for elderly patients experiencing rapidly progressing myopathy, even in the absence of inflammatory or intracellular aggregates in the biopsy.

References

Google Scholar citation report
Citations: 1343

Neurological Disorders received 1343 citations as per Google Scholar report

Neurological Disorders peer review process verified at publons

Indexed In

 
arrow_upward arrow_upward