GET THE APP

Clinical and Radiological Findings with Long-Term Conservative Therapy in Lumbar and Cervical Disc Prolapse
Neurological Disorders

Neurological Disorders

ISSN: 2329-6895

Open Access

Research - (2022) Volume 10, Issue 6

Clinical and Radiological Findings with Long-Term Conservative Therapy in Lumbar and Cervical Disc Prolapse

Omar Abdelhay Eldanasory*
*Correspondence: Omar Abdelhay Eldanasory, Department of Neurosurgery, Al-Azhar University, Egypt, Email:
Department of Neurosurgery, Al-Azhar University, Egypt

Received: 01-Jun-2022, Manuscript No. jnd-22-66329; Editor assigned: 03-Jun-2022, Pre QC No. P-66329(PQ); Reviewed: 17-Jun-2022, QC No. Q-66329; Revised: 22-Jun-2022, Manuscript No. R-66329; Published: 29-Jun-2022 , DOI: 10.4172/2329-6895.10.6.500
Citation: Eldanasory, Abdelhay O. Clinical and Radiological Findings with Long-Term Conservative Therapy in Lumbar and Cervical Disc Prolapse. J Neurol Disord 10(2022):500.
Copyright: © 2022 Eldanasory Abdelhay O. This is an open-access article distributed under the terms of the creative commons attribution license which permits unrestricted use, distribution and reproduction in any medium, provided the original author and source are credited.

Abstract

Objectives: A retrospective analysis study of 40 patients, with cervical, and/or lumbar disc prolapse, to evaluate the effectiveness of long term conservative treatment.

Method: The study involved 40 patients with acute or chronic onset of cervical or lumbar radiculopathy, due to disc prolapse between 2015 and 2019. All the data were obtained from the database in our institution. All patients had a standard neurological and clinical assessment, with follow up Magnetic Resonance Imaging (MRI) for a period ranging from 2 to 3 years. The Associations between clinical findings during the physical examination and follow up MRI imaging findings were compared and discussed. All patients were refusing surgery because of the surgical drew back occurring to their family members, medical problems preventing surgery, or they had improvement with long term conservative therapy. The protocol of medical treatment and physiotherapy were the same for all patients.

Results: Long term conservative treatment for cervical and lumbar disc prolapses could be superior and better than surgical treatment in acute disc prolapse without any neurological deterioration. The surgical treatment of the cervical and lumbar disc prolapses in young patients has not been considered the gold slandered option of treatment because of the postoperative complications especially recurrence disc and the failed back surgery syndrome.

Conclusion: The conservative treatment of cervical and/or lumbar disc prolapses of all patients was effective for long term therapy. The follow up MRI spine shows spontaneous regression of the disc materials. Therefore, conservative management of disc prolapses could be better than surgical management especially, in acute stages.

Conflict of Interest

There is no conflict of interest

References

Consent to Publish

The manuscript has not been previously published, in whole or in part, or submitted elsewhere for review.

Availability for Supporting Data

Not applicable.

Consent to Participate

Not Applicable.

Human and Animal Ethics

Not applicable.

Ethics Approval

This study is part of a quality management program on anonymized patients therefore; no institutional review board approval or ethical approval is required.

Author Contributions

I’m the only author (Omar Abdelhay Eldanasory) l read and approved the final manuscript.

Competing Interests

The authors have no relevant financial or non-financial interests to disclose.

Funding

The authors declare that no funds, grants, or other support were received during the preparation of this manuscript.

Keywords

• Non-surgical treatment of radiculopathy • Medical management of lumbar disc • Medical management of cervical disc • MRI finding of disc prolapse with conservative management • Regression of acute disc in MRI

Acknowledgements

For my mother, my father, and the rest of my family, I acknowledge their help and support.

Conclusion

The conservative treatment of cervical and/or lumbar disc prolapses of all selected patients who received the same protocol was effective for longterm therapy. The follow-up MRI spine was also very effective and show spontaneous regression of the disc materials for all patients. Therefore, conservative management of disc prolapses could be superior and better than surgical management, especially in acute stages.

Discs prolapse associated with spinal instabilities leading to progression of the symptoms is better to treat it surgically.

Limitation of this Study

Limitation includes: The small size of the patients in this study made the study subject to error. This study was concerned with the clinical and radiological findings without other factors affecting the outcome rate.

Discussion

The intervertebral disc is one of the most hypo cellular structures in the body (composed of water, proteoglycan, collagen, and a small amount of non-collagenous proteins) [6]. Also, the disc material is one of the least vascular parts of the human body. Both hypo cellularity and lower vascularity may lead to resolved or regression of the ruptured disc size. In general, spontaneous regression of lumbar disc herniation has long been well known [7], and the larger herniated discs are known to regress faster than the smaller ones [8].

Spontaneous regression is thought to be caused by the phagocytic process predominated by macrophages [9]. The mechanism mediated by inflammation may have a role in spontaneous regression because the free fragment is more exposed to the peripheral circulation in the epidural space [10] resulting in immunological reactions [11].

Conservative treatment of the lumbar and cervical discs herniation has a lower risk of complications than surgical treatment and it is preferred by most of patients [12]. A recent systematic review of the literature evaluating the course of conservative cervical radiculopathy concluded that most of the patients have substantial improvements within 4–6 months that were generally maintained over 2–3 years [13]. This study concluded the same results with an additional reduction of the herniated disc size in regular follow-up MRI spine.

Evidence comparing the effectiveness of surgical and conservative management of symptomatic disc prolapse is controversial; tell now no clear benefit of surgery over the conservative treatment in long-term assessments of neurogenic symptoms, physical function, or quality of life [14]. Most of the research done proves that Surgery results have faster symptom relief than continued conservative care [15]. But no research proves the superiority of the surgical treatment over the conservative treatment [16], or proves that the surgery has a long-term better outcome effect [17].

Many researchers demonstrated short-term conservative therapy and few types of research demonstrated long-term conservative therapy effect for the lumbar disc prolapse. This study demonstrates the effectiveness of long-term conservative treatment of both cervical and lumbar disc prolapse.

The incidence of recurrent disc herniation and radiculopathy following microsurgical lumbar discectomy is estimated to range between 5% and 18% [18]. while the evidence of recurrence with nonsurgical treatment after disc regression is very rare.

Results

Our aim was to detect the clinical outcomes and radiological changes in the MRI by performing periodic follow ups of all patients in outpatient clinics for 2 to 3 years. The non-surgical treatment was not uniform among all patients and was customized based on the patients’ clinical responses. However, all treatment decisions followed the same principles. a combination of medication (nonsteroidal anti-inflammatory drugs, antidepressants, and/ or weak opioids), lifestyle modifications, exercise, and physiotherapy, were applied for 3 months to relieve patients’ symptoms. If these noninvasive measures were not effective, injection-based treatments were performed in the form of epidural steroid ejection, nerve root block, or both. The results recorded include the routine neurological examinations with outcome pain scales in each visit and the follow up MRI findings every 9 to 12 months. The numeric rating scale questionnaires taken at each visit were recorded and indicated the effectiveness of the conservative management. All patients were imaged using a 1.5 T MRI scanner. Spinal MRI consisted of sagittal T1W, sagittal T2W, and axial T2W images. Of all patients 15 patients underwent nerve root block, and or epidural steroid injection 3 months from starting the treatment. The follow up MRIs each year show complete regression of the disc material. The prolapsed and the sequestered discs are roughly measured, and the patients were divided into 3 groups depending on the change in the volume of the disc in the sagittal and axial views: (1) no regression (no change in the disc volume); (2) partial regression which includes two categories: A-partial regression 25%-50% herniation size reduction; B-partial regression: 50%-75% herniation size reduction; and (3) complete regression or resolved herniated disc volume (Table1), case N1, case N2 (Figures 1-6).

Table 1: Shows the effect of nonsurgical treatment on the clinical and radiological results of the whole patients.
Clinical finding Radiological finding (disc volume regression) Clinical improvements With medications and physiotherapy Clinical improvement after steroid injection Total Improvement 40 patients (100%)
Number of patients 40(100%) Cervical 25 patients (62.5%) 12 patients (30%) with right radiculopathy 13 patients (32.5%) with left radiculopathy 15 patient complete regression (37.5%) 5 patients (12.5%) more than 50% regression 5 patients (12.5% less than 25% regression) 20 patients (50%) 5 patients (12.5%) 25 patients (62.5%)
Lumbar 15 patients (37.5%) 9 patients with right radiculopathy (22.5%) 6 patients with left radiculopathy (15%) 7patients (17.5%) with complete regression and 5 patients (12.5%) with more than50% regression 3 patients (7.5) less than 25% regression 5 patients (12.5%) 10 patients (25%) 15 patients (37.5%)

Journal-Neurological-Disorders-MRI

Figure 1. MRI lumbar spine T2 sagittal and axial view of a female patient has lower back pain and left sciatic pain shows: L5/S1 level left mediolateral disc protrusion, indenting the thecal sac and severely compromising the left exiting neural foramina.

Journal-Neurological-Disorders-Lumbar

Figure 2. MRI lumbar spine T2 sagittal and axial view of the same patient after one year with conservative treatment shows reduction of both L4- and L5 disc prolapse.

Journal-Neurological-Disorders-Spine

Figure 3. MRI lumbar spine T2 sagittal and axial view of the same patient shows no interval changes after 3 years with good outcome improvement of both lower back pain and leg pain.

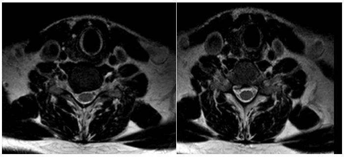
Journal-Neurological-Disorders-Cervical

Figure 4. MRI cervical spine coronal and axial cuts of a male patient presented by right radicular pain with slight neck pain shows: Straightening of cervical lordosis, C6/C7 right paracentral moderate disc protrusion with compression of the right C6 nerve root and narrowing of the right neuroforamen.

Journal-Neurological-Disorders-Patient

Figure 5. CT cervical spine for the same patient shows Straightened cervical curve. Mild spondylodegenerative changes at C5-C6 and C6-C7 levels. C6-C7 posterior and right posterolateral disc herniation, with a traction osteophyte.

Journal-Neurological-Disorders-One

Figure 6. MRI of the cervical spine after one year shows a slight interval size reduction of previously identified large right paracentral disc extrusion at C6-7. Persistent right paracentral large disc osteophytic complex of the exiting right neural foramen.

The most important finding noted during this research is that all acute discs prolapse in young patients have complete regression in the follow up MRI after 9 months with better outcomes, and the large, herniated discs in older patients have near complete spontaneous regression than the smaller ones.

The exact duration from starting the disc herniation to complete spontaneous regression is not known because it was difficult to perform an MRI spine in a regular way within a short period of time.

Methods

The study population included all patients willing to participate in a standardized clinical follow up program (consultations, patient based outcome measures, MRI spine follow up). The study involved 40 patients with acute, or chronic onset of cervical or lumbar radiculopathy due to disc prolapse between 2015 and 2019 (25 patients (62.5%) complained of cervical disc prolapse, and 15 patients (37.5%) complained of lumbar disc prolapse).

All patients had a standard clinical assessment, with follow up Magnetic Resonance Imaging (MRI) for a period ranging from 2 to 3 years. The Associations between the clinical outcome during the physical examination and the follow up MRI imaging findings were compared. Their age ranges from 25 years old up to 50 years old. (13 women (32.5%) and 27 men (67.5%)).

All patients refused surgery because of the drew back occurred to their family members, or due to medical problems preventing surgery. Therefore, they preferred conservative treatment in the form of active physical therapy, education/counselling with instructions for the home based exercise, and non-steroidal anti-inflammatory drugs. Patients with insufficient analgesic response were prescribed additional antidepressant and narcotic medications. Those with an inadequate response to pharmacological treatment were referred to a pain management team for an epidural steroid injection or pulsed radiofrequency therapy of the affected nerve root.

Our search method in this study was concentrated on routine neurological examination and follow up MRI findings for more than 2 years. Looking for spontaneous regression of the disc material in the follow up MRI, and the routine clinical outcome using the numeric pain scales assessment in each visit. the proportion of the patients responding to treatment, defined as regression of the disc material to more than 75% and reduction of the pain scales to be less than 3/10, or complete resolved disc with complete relief of all pain symptoms.

Selection criteria

All patients associated with radiculopathy due to cervical or lumbar disc prolapse are included in this study with the exclusion of the patients having radiculopathy for other causes such as spinal canal stenosis, multilevel facet arthropathy, previous spinal surgery, spinal tumors, spinal infection, and spinal instability. The patients had the right to request surgery at any time if conservative treatments were not effective.

The research is retrospective research, and it was performed in accordance with relevant guidelines/regulations, the informed consent was not obtained from all participants because of lost communication with the patients after the follow up period, or the patients were not happy to share their information, so all patients were de-identified.

Introduction

The primary goal of treatment of patients having cervical or lumbar disc prolapse is relieve pain. To achieve this goal, each patient’s treatment plan should be individualized based on the severity of pain, specific symptoms that the patient exhibits with pain, and other medical problems. Disc herniation especially in the lumbar spine is one of the most common medical and surgical problems all over the world however its natural history is largely unknown [1]. Most of the lumbar discs occur at L4–L5 and L5–S1 levels (90%), L3–L4 level is the next most common level [2]. In the general accurate clinical diagnosis of nerve root compression due to disc prolapse is highly desirable for both physicians and patients [3]. Radiculopathies caused by disc herniation is diagnosed mainly by Magnetic Resonance Imaging (MRI) [4] and the patients with disc herniation generally consume more healthcare resources [5].

Abbreviations

(MRI) Magnetic Resonance Imaging; (CT) Computed Tomography; (DDD) Degenerative Disc Diseases; (LDH) Lumbar Disc Herniation

Google Scholar citation report
Citations: 1343

Neurological Disorders received 1343 citations as per Google Scholar report

Neurological Disorders peer review process verified at publons

Indexed In

 
arrow_upward arrow_upward