GET THE APP

Acute Recurrent Clinico-radiological Manifestations of the CNS in a Patient with Primary Sjogren's Syndrome: A Case Report
Neurological Disorders

Neurological Disorders

ISSN: 2329-6895

Open Access

Case Report - (2023) Volume 11, Issue 2

Acute Recurrent Clinico-radiological Manifestations of the CNS in a Patient with Primary Sjogren's Syndrome: A Case Report

Orellana Lucas* and Serena Cottet María Daniela
*Correspondence: Orellana Lucas, Department of Neurology, Jonas Salk Institute, Argentina, Email:
Department of Neurology, Jonas Salk Institute, Argentina

Received: 01-Mar-2023, Manuscript No. jnd-23-91455; Editor assigned: 03-Mar-2023, Pre QC No. P-91455 (PQ); Reviewed: 17-Mar-2023, QC No. Q-91455; Revised: 22-Mar-2023, Manuscript No. R-91455 (R); Published: 29-Mar-2023 , DOI: 10.4172/2329-6895.11.2.544
Citation: Lucas, Orellana and Daniela SCM. “Acute Recurrent Clinico-radiological Manifestations of the CNS in a Patient with Primary Sjogren's Syndrome: A Case Report.” J Neurol Disord. 11 (2023): 544.
Copyright: © 2023 Orellana Lucas, et al. This is an open-access article distributed under the terms of the creative commons attribution license which permits unrestricted use, distribution and reproduction in any medium, provided the original author and source are credited.

Abstract

Introduction: Primary Sjogren's syndrome (pSS) is an autoimmune inflammatory disease characterized by mononuclear lymphocytic infiltration of exocrine glands (especially salivary and lacrimal) in the setting of antinuclear antibodies. These patients can also develop extraglandular manifestations within which the neurological features are frequent, especially at the peripheral level but also, less frequently, at the central nervous system (CNS).

Case presentation: We describe the case of a female patient with pSS who presented with two recurrent acute neurological events associated with CNS impairment along with radiological inflammatory lesions on MRI scans, requiring hospitalization both in 2019 and 2022.

Discussion: CNS involvement in patients with pSS shows considerable clinical variability and imposes many difficulties in its differentiation from other diseases with a similar clinical course. Knowing this entity is a crucial aspect of a correct diagnosis in order to achieve adequate treatment and reduce the risk of long-term complications and sequelae.

Keywords

Patient; CNS; Primary Sjogren's syndrome; Disease

Introduction

Primary Sjogren's Syndrome (pSS) is an autoimmune inflammatory disease which manifests as chronic and debilitating inflammation mediated by autoantibody production and lymphocytic infiltration and, ultimately, causes permanent destruction of exocrine glands [1]. It may also exhibit systemic manifestations within which the neurological features are frequent, especially at the peripheral level but also, less frequently, at the central nervous system (CNS) [2].

This communication aims to share the experience of a case in our setting of a patient with pSS and recurrent acute manifestations of the CNS who has presented, during a period of four years, with two recurrent acute neurological events associated with CNS impairment, requiring both times hospitalization.

Case Presentation

We describe the case of a currently 37 year old female patient with a medical history of hypothyroidism. She didn't have any other clinical risk factors, and her family history was unremarkable for relevant diseases.

In 2017, pSS was discovered in this patient after she gradually had started developing sicca symptoms (xerophthalmia and xerostomia) and arthralgia. In her initial medical studies, laboratory tests had shown the presence of bicytopenia and positive FAN, anti-Ro, and anti-La antibodies, leading to the diagnosis of this disorder (in the absence of other autoimmune diseases).

Since then, she started to perform regular check-ups with rheumatology, and she had been under treatment with oral corticosteroids for a short period of time before suspending her medical controls.

In 2019, the patient was admitted to the hospital and was evaluated by the Neurology Department after she presented with an acute onset syndrome initially characterized by the presence of a progressive holocephalic headache that worsened within the following hours with a left-sided sensory-motor deficit.

On admission, her neurological examination revealed a flaccid left brachiocrural hemiparesis and hemihypesthesia. The cranial nerve examination and other neurological functions were normal. Clinical parameters were also unremarkable. Infectious and metabolic disorders were additionally ruled out.

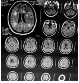
Under the suspicion of a vascular event, due to the acute onset, the patient first underwent a head CT scan, which hadn't shown any relevant findings, and then a brain MRI scan, which showed extensive bilateral inflammatory lesions with a pseudo-tumoral appearance (Figure 1). Afterwards, she started corticosteroid treatment, initially administered parenterally and later orally, showing a clear, gradual symptomatic and radiological recovery over the following weeks (Figure 2), with complete resolution of neurological impairment at the end of the second month and clinical stability during her subsequent follow-up controls.

neurological-mri

Figure 1. Brain MRI scan from 2019 hospital admission showing multiple extensive bilateral inflammatory lesions with a pseudo-tumoral appearance.

neurological-recovery

Figure 2. Brain MRI scan showing a gradual radiological recovery after the first month of corticosteroid treatment.

At the beginning of 2022, due to the patient's immunosuppressive therapy suspension some months earlier, the patient developed again a new acute/ subacute onset neurological syndrome in which she initially started with subtle language disorders (both expressive and comprehensive aphasia) and some days later evolved into delirium and an acute confusional state accompanied by psychomotor agitation, finally adding a left-sided hemiparesis (similar to her previous event).

After ruling out infectious and metabolic acute causes and based on previous hospitalization history, an MRI scan was rapidly performed on admission and showed again radiological findings of multiple inflammatory lesions that appeared not only in the brain but also this time in the cervicaldorsal spinal cord as well (Figure 3).

neurological-scan

Figure 3. MRI Scan from 2022 admission showing multiple inflammatory lesions in the brain and also in the cervical-dorsal spinal cord.

After restarting her corticosteroid immunosuppressive therapy, she developed a clear recovery, both symptomatic and radiological, with sustained neurological stability in the present (Figure 4).

Presently, she continues with a regular follow-up with rheumatology, and her immunotherapy has been gradually replaced with cyclophosphamide to prevent long-term steroid adverse effects. She currently shows good clinical and neurological evolution.

neurological-gradual

Figure 4. Brain MRI scan showing a gradual radiological recovery after the second month of reinitiation of corticosteroid therapy.

Discussion

Primary Sjögren's syndrome (pSS) is a chronic autoimmune inflammatory disease characterized by progressive mononuclear lymphocytic infiltration of exocrine glands (especially salivary and lacrimal) in the setting of antinuclear antibodies, particularly to Ro/SSA and La/SSB, and that occurs in the absence of another autoimmune disease [3].

In vivo and in vitro experimental data have pointed to many immunepathogenic mechanisms in pSS. On the one hand, systemic B-cells hyperactivity is a dominant feature of the disease, but on the other hand, T lymphocytes targeting glandular epithelial cells are involved in lesion development. The majorities of these T cells are CD4-positive and express cytokines such as IFNγ and IFNα. Lesional tissue also shows B-cell activity, however, among others in terms of local production of anti-SS-A and anti-SS-B autoantibodies and formation of ectopic germinal centre-like structures [4].

The prevalence of pSS in the general population varies from 0.1% to 3%, and women seem to be mostly affected (female to male ratio=9:1), with the majority of cases being diagnosed in the 5th or 6th decade of life [5].

The clinical spectrum of the disease extends from Sicca syndrome, which includes dryness of the eyes (xerophthalmia) and oral cavity (xerostomia), to systemic involvement [6].

Neurological disorders are one of the most common extra-glandular manifestations of pSS. Peripheral neuropathy (particularly distal sensitive axonal neuropathy) is the most frequent neurological feature, affecting 15.0% of this population [7]. The central nervous system may also be compromised in pSS, even though this occurs much less commonly. The heterogeneity in the diagnostic approach and selection of patients from studies published to date prevents us from knowing with precision which is the true prevalence of the neurological condition of the CNS in the pSS. Data from large patient series suggest a lower frequency of 5%, perhaps if a systematic neurological study had been carried out in all cases [6,8].

The spectrum of neurological manifestations in patients with pSS is very broad and ranges from asymptomatic demyelinating findings in the white matter to more severe clinical forms, including focal or diffuse cerebral and spinal cord affectation [6]. The following features were also reported: cognitive disorders, aseptic meningitis, epileptic seizures, headache, transverse myelitis, optic neuritis, disseminated encephalopathy and lesions in the CNS typical of multiple sclerosis [9].

The CNS MRI alterations in pSS are very diverse and not organized into a well-recognizable clinical syndrome. The most characteristic abnormalities are the white matter hyper-intensities (WMH) that are usually located periventricularly and sub-cortically. WMHs can be observed in the spinal cord as well, typically in the form of a continuous hyper-intense area on the T2 sequence in the spinal cord, mainly in the cervical part. These WMHs may precede the sicca symptoms. Hence, pSS must be considered in the differential diagnosis when they are identified [10].

Conclusion

Aside from having a low reported prevalence, CNS involvement in patients with pSS shows considerable clinical variability and imposes many difficulties in its differentiation from other diseases with a similar clinical course. For this reason, knowing this entity is a crucial aspect of a correct diagnosis, which should be based on a complete clinical history and accurate followup to quickly achieve adequate treatment and reduce the risk of long-term complications and sequelae.

References

Google Scholar citation report
Citations: 1343

Neurological Disorders received 1343 citations as per Google Scholar report

Neurological Disorders peer review process verified at publons

Indexed In

 
arrow_upward arrow_upward