GET THE APP

Diagnosis of Scar Endometriosis on FNAC: A Case Report of Two Cases
Journal of Cytology & Histology

Journal of Cytology & Histology

ISSN: 2157-7099

Open Access

Case Report - (2023) Volume 14, Issue 3

Diagnosis of Scar Endometriosis on FNAC: A Case Report of Two Cases

Rani Sahu*
*Correspondence: Rani Sahu, Department of Microbiology, Siksha O Anusandhan University, Bhubaneswar, India, Tel: 9827761898, Email:
Department of Microbiology, Siksha O Anusandhan University, Bhubaneswar, India

Received: 14-Oct-2022, Manuscript No. JCH-22-77293; Editor assigned: 17-Oct-2022, Pre QC No. JCH-22-77293 (PQ); Reviewed: 01-Nov-2022, QC No. JCH-22-77293; Revised: 04-Jan-2023, Manuscript No. JCH-22-77293 (R); , DOI: 10.37421/2157-7099.2023.14.676
Citation: Sahu, Rani. "Diagnosis of Scar Endometriosis on FNAC: A Case Report of Two Cases." J Cytol Histol 14 (2023):676.
Copyright: © 2023 Sahu R. This is an open-access article distributed under the terms of the creative commons attribution license which permits unrestricted use, distribution and reproduction in any medium, provided the original author and source are credited.

Abstract

The presence of functioning endometrial glands and stroma outside the uterus is called endometriosis. Scar endometriosis is a rare occurrence and seen in 0.03%-1.08% of women following gynaecologic or obstetric surgeries. Many of abdominal scar endometriosis is associated with previous caesarean sections. We report two cases of abdominal scar endometriosis in reproductive age female patients with a previous history of obstetric and gynaecologic procedures. Both the cases were diagnosed on FNAC and followed with excision biopsy and histopathology correlation.

Keywords

Scar endometriosis • Suture granuloma • Fibro collagenous stoma • Diagnosis • Endometriosis

Introduction

Endometriosis, defined as the presence of a functioning endometrium outside the uterus, is a common gynecologic condition, 8%-15% of women of reproductive age [1,2]. Endometriosis is rare in a surgical scar. Most of the scar endometriosis cases are reported in gynaecological induced abdominal scars, including hysterectomy, caesarean section, laparoscopy, and scars episiotomy.

Clinical diagnosis may be confused with suture granuloma, abscess, hernia, hemartoma, sebaceous cyst, lipoma and any primary/metastatic cancer [3]. Common clinical presentation is mass at suture site than cyclic pain [4]. Other clinical presentations are the thickness of scar changes during menstruation, bluish discoloration around the scar and sometimes bleeding during menstruation. Early diagnosis and treatment are important as it may go under metaplastic transformation and sometimes atypical changes.

We report two cases of scar endometriosis in reproductive age women who underwent obstetric and gynaecologic procedures previously. We made a diagnosis on FNAC.

Case Presentation

Case 1

A 35 years female came with swelling at a previous caesarean section scar over her abdomen; having pain and tenderness. On examination there is 3 cm × 2 cm swelling over caesarean scar.

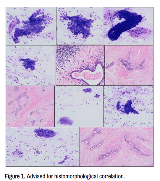
Cytological examination: Examined cytosmears from scar site swelling are cellular show sheets of stromal cells and epithelial cells with occasional gland formation. Individual cell show mild to moderate amounts of cytoplasm, and hyperchromatic nucleus. Focal crowding and overlapping of the nucleus were also noted. Cystic macrophages also seen. Focal atypia was also noted (Figure 1). Advised for histomorphological correlation.

cytology-histomorphological

Figure 1. Advised for histomorphological correlation.

Histological examination: Subsequent biopsy material revealed the epidermis, dermis, and subcutaneous tissue. Islands of benign endometrial glands with stroma are seen embedded in fibro collagenous tissue which shows myxoid change at places. Few endometrial glands are dilated and filled with blood and blood elements. At places, lymphoid aggregates as well as hemosiderin laden macrophages are also seen.

Case 2

38 years female came with nodular swelling at previous hysterectomy scar over abdomen; having tenderness. On examination nodule over scar side 2.5 cm × 2 cm. Mild tender.

Cytological examination: b Examined cytosmears from scar site nodules are cellular and show small fragments of stromal cells along with occasional gland formation and cystic macrophages. Individual cell show mild to moderate amounts of cytoplasm, and hyperchromatic nucleus (Figure 1). Advised for histomorphological correlation.

Histological examination: Subsequent biopsy material revealed the epidermis, dermis, and subcutaneous tissue. Islands of benign endometrial glands with stroma are seen embedded in fibro collagenous tissue.

Discussion

Endometriosis, described for the first time by Rokitansky in 1861, is defined as the presence of endometrial like glands and stroma outside the uterine endometrial lining. In our study, scar endometriosis is commonly seen in reproductive age group with previous caesarean section and commonest site is abdominal scar (caesarean section or hysterectomy scars) then extra pelvic endometriosis. Scar endometriosis is a rare entity but is becoming more frequent after caesarean section as demonstrated in a systematic review by Horton, et al. First case of scar endometriosis was reported by Meyer in 1903. Pathogenesis is explained by two theories. First is metastatic theory that states the transport of endometrial cells to adjacent locations, via hematogenous, lymphatic dissemination or surgical manipulations. Second are metaplastic theory states that premitive pleuripotential mesenchymal cells undergo specialized differentiation and metaplasia into endometrial tissue. Commonest clinical presentation is nodule; adjacent to scar with cyclic pain. Cyclic pain is although not always present but it is pathognomic for scar endometriosis. However, in the majority of reports, the clinical diagnosis missing is a rule, even using imaging. The sonographic appearance of abdominal wall endometriosis has been shown to be cystic, multicystic, mixed, or solid and nonspeci ic images. Imaging techniques are nonspeci ic and needle biopsy may con irm the diagnosis [5].

Cytomorphological examination shows variable cellularity. The presence of any two of three cytological components (endometrial glands, stromal cells and hemosiderin laden macrophages) can be used for cytological diagnosis of endometriosis. However, these cytological features are related to hormonal changes. In proliferative phase, epithelial cells form cohesive sheets of uniform small cells with scant cytoplasm, round to ovoid nuclei with bland chromatin and occasional non-atypical mitosis. During secretory phase, cell size gradually increases with cytoplasmic microvacuolations, with predecidual changes and epithelioid appearance in stromal cells, causing diagnostic difficulties [6]. Important differential diagnoses are desmoid tumor, abscess, lipoma, hematoma, sebaceous cyst, suture granuloma, inguinal hernia, incisional hernia, sarcoma, lymphoma, or primary and metastatic cancer. Surgical removal is the treatment of choice and wide local excision is curative for scar endometriosis [7].

Conclusion

Scar endometriosis is a rare condition that can see in reproductive age women. Diagnosis is challenging on sole clinical presentation. FNAC is relatively cheaper method and can help in early diagnosis and prevent further complications.

Key message: There may be atypical and carcinogenic changes in endometriotic foci, so timely diagnosis is important. FNAC is a cheapest diagnostic modality

References

Google Scholar citation report
Citations: 2476

Journal of Cytology & Histology received 2476 citations as per Google Scholar report

Journal of Cytology & Histology peer review process verified at publons

Indexed In

 
arrow_upward arrow_upward