GET THE APP

A Patient with Extensive Meningeal Calcification due to Pseudohypoparathyroidism: A Case Report
Neurological Disorders

Neurological Disorders

ISSN: 2329-6895

Open Access

Case Report - (2023) Volume 11, Issue 2

A Patient with Extensive Meningeal Calcification due to Pseudohypoparathyroidism: A Case Report

Mahmoud Hussien Salih Daoud, Abubakr Elmotesim Abdulla Elamin and Ahmed Fathelrahman Rizgalla Mohammed*
*Correspondence: Ahmed Fathelrahman Rizgalla Mohammed, Department of Medicine, University of Gezira, Sudan, Email:
Department of Medicine, University of Gezira, Sudan

Received: 01-Feb-2023, Manuscript No. jnd-23-89209; Editor assigned: 03-Feb-2023, Pre QC No. P-89209 (PQ); Reviewed: 17-Feb-2023, QC No. Q-89209; Revised: 22-Feb-2023, Manuscript No. R-89209 (R); Published: 01-Mar-2023 , DOI: 10.4172/2329-6895.23.11.541
Citation: MHS, Daoud, Elamin AEA, Mohammed AFR and Khalid A, et al. “A patient with Extensive Meningeal Calcification due to Pseudohypoparathyroidism: A Case Report.” J Neurol Disord. 11 (2023):541.
Copyright: © 2023 Mahmoud Hussien Salih Daoud, et al. This is an open-access article distributed under the terms of the creative commons attribution license which permits unrestricted use, distribution and reproduction in any medium, provided the original author and source are credited.

Abstract

Background: This case emphasizes the adulthood onset of PHP with the association of new pattern of brain calcification which is exclusively falx cerebri and supratentorial.

Case presentation: A 35 year old man with 17 year history of epilepsy on Carbamazepine, referred from neurosurgical department where was diagnosed with hydrocephalus complicated by secondary severe optic atrophy and underwent Ventriculo-Peritoneal shunt. Imaging revealed Falx Cerebri, Supratentorial calcification, biochemical tests showed hypocalcemia, hypophosphatemia and elevated parathyroid hormone. Patient was given Vitamin D and Calcium in order to improve the outcome.

Conclusion: Although PHP being a rare possibility especially in adult, it has to be considered in incidental meningeal calcification and to be picked up early before complications.

Keywords

Pseudohypoparathyroidism; Meningeal calcification; Hydrocephalus

Abbreviations

(PHP) Pseudohypoparathyroidism; (PTH) Parathyroid Hormone; (GSC) Glasgow Coma Scale; (RFT) Renal Function Test

Introduction

Pseudohypoparathyroidism (PHP) is known as heterogeneous group of rare endocrine disorders characterized by normal renal function and resistance to the action of parathyroid hormone (PTH). It is manifesting with hypocalcemia, hyperphosphatemia, and increased serum concentration of PTH. Different types are distinguished by the presence or absence of a characteristic skeletal phenotype, the responsiveness to PTH, the underlying mutations, and the inheritance pattern. Some patients have associated endocrinopathies, Hypothyroidism is the most common, but hypogonadism is also seen.

The mainstay of treatment is the normalisation of calcium and phosphate levels using calcium supplementation, vitamin D, and thiazide diuretics. Patients with intracranial calcifications may experience seizures related to chronic neuropathic changes, and they may require antiepileptic medications [1].

There are five variants of pseudohypoparathyroidism includes: PHP type 1a (PHP-1a), PHP type 1b (PHP-1b), PHP type 1c (PHP-1c), PHP type 2 (PHP- 2), and pseudopseudohypoparathyroidism (PPHP). PHP type 1a is the most common subtype which represents 70% of cases. PHP can be confirmed by genetic testing for a mutation in the GNAS1 gene and identification of subtypes [2].

The aim of this case report is to describe the clinical diversity of PHP and to emphasize the link between PHP and meningeal calcification. This report, besides being rare case, it is considered the first case report from Sudan as a lower-income country with limited facilities. Additionally, our patient had an unusual presentation of meningeal calcification at late adulthood. This brings novelty to our study because we suggest the possibility of shortcomings in the diagnostic approach to patients with hypocalcemia. Perhaps calcium disorders are underdiagnosed and sometimes overlooked as a differential diagnosis of frequent clinical expressions, such as seizures and other neuromuscular symptoms.

Case Presentation

A 35 year old man with a 17 year history of epilepsy on Carbamazepine 400 mg once/daily with a rate of 4 seizures per year, the patient was referred from the neurosurgical department for controlling his seizures. Two years ago, he was diagnosed with hydrocephalus complicated by severe optic atrophy and underwent insertion of a ventriculoperitoneal shunt. Prior brain imaging (CT/MRI) (Figures 1-3) revealed the existence of hydrocephalus and heavy meningeal calcification. The patient had no other symptoms suggesting motor, sensory, cerebellar, sphincter and autonomic abnormalities. There was no past history of head trauma, childhood cerebral infection or skin tumors. He is neither diabetic nor hypertensive, and has a negative family history for both conditions.

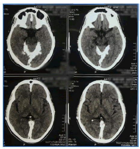
neurological-ct

Figure 1. CT brain reveals falx cerebri and supratentorial dural calcification.

neurological-falx

Figure 2. CT brain reveals falx cerebri calcification.

neurological-mri

Figure 3. MRI brain reveals falx cerebri and supratentorial dural calcification, Hydrocephalus.

On examination, the patient was 70 kg in weight and 160 cm in height. Neurological examinations demonstrated a Glasgow Coma Scale (GCS) of 15 and orientation to time, place and person, normal behavioral and cognitive function with no apparent dysmorphological or congenital anomalies.

Optic nerve examination showed a significant decrease in visual acuity (legally blind) with evidence of severe optic disc atrophy and papilledema on fundoscopic examination.

Other neurological examinations, regarding motor, sensory, cerebellar and the rest of cranial nerves are intact. Additionally, there were positive Chvostek and Trousseau signs.

Biochemical blood tests showed low serum Calcium (6.8 mg/dl), normal vitamin D, urea and Creatinine. Elevated serum phosphate (6.2 mg/dl) and elevated parathyroid hormone (118 pg/ml) were present.

Optical coherence tomography for retina (OCT) revealed optic disc edema. Fundus photos showed severe optic atrophy and moderate optic disc edema (Figure 4).

neurological-fundus

Figure 4. Fundus photo reveals optic atrophy.

Full body X-rays, echocardiography and ECG were normal.

The patient was given supplemental Vitamin D and Calcium oral tablets for three months; subsequently all hypocalcemic signs have improved.

He is scheduled for routine follow-up through monitoring of serum calcium, phosphate, RFT, Vitamin D monthly for the first 3 months, followed by 3 monthly for one year, then every 6 months for life, with annual brain imaging.

Results and Discussion

Our patient, a middle-aged man with a 17 year history of seizures presented with hydrocephalus and extensive meningeal calcification. Initially, falx cerebri calcification was misleading us toward nevoid basal cell carcinoma syndrome as it presents similarly, although the absence of major and minor criteria excluded it as a diagnosis [3].

On the other hand, the presence of low serum calcium, high phosphate, and high parathyroid hormone despite normal RFT and vitamin D levels led us to consider pseudohypoparathyroidism as a diagnosis. Absence of skeletal deformities and family history confirmed that this patient has either type Ib or type II which are sporadic disorders; unfortunately due to facility limitations in Sudan, confirming the diagnosis with genetic phenotyping and mapping was difficult.

In accordance with the recommendations of the recently published first consensus statement on the diagnosis and management of pseudohypoparathyroidism-related disorders, the diagnosis should be based on clinical and biochemical characteristics, which will vary according to the age of the patient [4].

Starting the calcium and vitamin D supplemental treatment promptly corrected the patient’s hypocalcemia, and improved both muscle spasms and seizures as hypocalcemia and the development of meningeal calcifications could have contributed to the development of these seizures [4]. Although PHP is most commonly diagnosed during childhood or adolescence, one case from Italy illustrated the history of a patient of pseudohypoparathyroidism type 1A, which went undiagnosed until her 60’s, with multi-hormonal resistance and clinical complications throughout her life [5].

In most conditions of PHP, the pattern of calcification affects cortical, subcortical region, basal ganglia, and cerebellum as well as subcutaneous calcifications [6].

However, this case is unique and novel, because the adulthood onset and the pattern of calcification which is exclusively meningeal, especially falx cerebri and supratentorial. Important to mention that no similar case has been published before.

Our case phenomenally describes late adulthood diagnosis of the condition and new pattern of calcification, thus highlighting the importance of diagnosing this rare disease, which had a great impact on patients and their family life as this is crucial to the appropriate treatment and lifelong management of the disease and its complications.

Conclusion

Despite PHP being a rare possibility especially in adult, it should be considered in incidental meningeal calcification. The present case underlines the importance of early diagnosis of pseudohypoparathyroidism, as this is crucial to the appropriate treatment and lifelong management of the disease and its complications, which have a great impact on patients and their families.

Key Clinical Message

In spite of PHP is a very rare disorder of young, yet it has to be considered in cerebral and meningeal calcification, even in old patients.

Strengths

Prompt diagnosis and management of pseudohypoparathyroidism related hypocalcemia led to an excellent outcome in this patient.

Limitations

The GNAS mutation and the urinary cAMP response to exogenous PTH were not performed due to limited resources in Sudan.

Consent for Publication

Written informed consent was obtained from the patient for publication of this Case report and any accompanying images. A copy of the written consent is available for review by the Series Editor of this journal.

Conflicts of Interest

The authors declare that they have no competing interests.

Acknowledgment

Gratitude and appreciation for Gezira Research Training Advocacy group for their help and support.

References

Google Scholar citation report
Citations: 1343

Neurological Disorders received 1343 citations as per Google Scholar report

Neurological Disorders peer review process verified at publons

Indexed In

 
arrow_upward arrow_upward