GET THE APP

Accessory Hepatic Lobe in Paediatric Patients: Case Report and a Comprehensive Literature Review
Journal of Clinical Case Reports

Journal of Clinical Case Reports

ISSN: 2165-7920

Open Access

Case Report - (2021) Volume 11, Issue 9

Accessory Hepatic Lobe in Paediatric Patients: Case Report and a Comprehensive Literature Review

Laura Balanescu1,2*, Andreea Alecsandra Moga1,2, Tudor Stejarel Strimbu1 and Ancuta Mihaela Cardoneanu1
*Correspondence: Laura Balanescu, Department of Paediatric Surgery, Grigore Alexandrescu Clinical Emergency Hospital for Children, Bucharest, Romania, Email:
1Department of Medicine, Carol Davila University of Medicine and Pharmacy, Bucharest, Romania
2Department of Paediatric Surgery, Grigore Alexandrescu Clinical Emergency Hospital for Children, Bucharest, Romania

Received: 03-Sep-2021 Published: 24-Sep-2021 , DOI: 10.37421/2165-7920.2021.11.1467
Citation: Balanescu Laura, Andreea Alecsandra Moga, Tudor Stejarel Strimbu and Ancuta Mihaela Cardoneanu. “Accessory Hepatic Lobe in Paediatric Patients: Case Report and a Comprehensive Literature Review.” Clin Case Rep 11 (2021): 1467.
Copyright: © 2021 Balanescu L, et al. This is an open-access article distributed under the terms of the Creative Commons Attribution License, which permits unrestricted use, distribution, and reproduction in any medium, provided the original author and source are credited.

Abstract

Background: Accessory Hepatic Lobe (AHL) is a rare congenital anomaly that consists of the presence of a supernumerary lobe of hepatic parenchyma. The incidence of AHL is less than 1%, with only 27 cases having been reported in the paediatric population to date.

Aim: To identify studies in the literature on accessory hepatic lobe and present our experience with this condition.

Material and methods: We report the case of a patient who underwent surgery for intestinal occlusion and was found to have an accessory liver lobe with an embedded gallbladder. We reviewed published articles on accessory hepatic lobes accessed via PubMed, Google Scholar, Science Direct and Web of Science. Keywords included accessory hepatic lobe, ectopic liver tissue, ectopic liver lobe, accessory liver lobe. The search included articles published before August 2021 in English.

Results: We identified 27 published cases of paediatric accessory hepatic lobe. Of these 27, 14 were female and 13 were male, and the age range was 1 day to 19 years. We report the case of a female patient with intestinal occlusion found to have an accessory hepatic lobe with an embedded gallbladder. Of the 28 published cases, including ours, 11 are associated with abdominal wall defects including Umbilical Hernia, Omphalocele, Cloacal Exstrophy and Beckwith Wiedemann syndrome.

Conclusion: Accessory hepatic lobe is a rare entity usually detected incidentally. A total of 28 cases were reported, including our own. Paediatric surgeons should be aware of this condition in children with a history of abdominal wall defects.

Keywords

Accessory hepatic lobe • Ectopic liver tissue • Accessory liver lobe • Omphalocele

Introduction

Accessory Hepatic Lobe (AHL) is a rare congenital anomaly that consists of the presence of a supernumerary lobe of hepatic parenchyma. AHL results from congenital ectopic hepatic tissue, mostly due to embryonic heteroplasia, although in rare cases it may occur as a result of trauma or surgery. AHL can either be connected to the liver by a pedicle or it can have a separate mesentery containing blood vessels and bile ducts. In cases of pedunculated AHL, patients usually present with complications secondary to accessory lobe torsion. The incidence of AHL is estimated to be less than 1%, with only 28 cases having been reported in the paediatric population to date [1-4]. We report the case of a paediatric female patient who underwent surgery for intestinal occlusion and was found to have an accessory liver lobe with an embedded gallbladder.

Materials and Methods

The primary aim of this article was to identify studies in the literature on accessory hepatic lobe and present our experience with this condition. To achieve this aim, we reviewed published articles on accessory hepatic lobes accessed via PubMed, Google Scholar, Science Direct and Web of Science. Keywords included accessory hepatic lobe, ectopic liver tissue, ectopic liver lobe, accessory liver lobe. The search included articles published before august 2021 in English. The details of the literature search are provided in Table 1. The secondary aim of this article was to report the case of a 6-yearsold female paediatric patient who underwent surgery for intestinal occlusion and was found to have an accessory liver lobe with an embedded gallbladder exerting mass effect on the duodenum.

Table 1: Reported pediatric AHL cases.

S. No. Case Report Age at Diagnosis Sex Congenital Anomalies
1 Azmy, et al. 1 day M Beckwith Wiedemann Syndrome
2 Ito et, al. 1 day M Omphalocele
3 Beiler et, al. 1 day M CDH
4 Pereira et, al. 18 day F Biliary atresia, Omphalocele
5 Perez-Martinez, et al. 23 day M --
6 Elmasalme, et al. 6 months M Omphalocele, Malrotation
7 Grunz, et al. 8 months M --
8 Lal Thakral, et al. 11 months M Omphalocele
9 Sag, et al. 14 months F --
10 Sanguesa, et al. 23 months M --
11 Faraj, et al. 2 years F Situs inversus, Polysplenia, Biliary atresia
12 Smiley, et al. 5 years F --
13 Johnstone, et al. 5 years F Dextrocardia, Supernumerary nipple, CDH
14 Nataralan, et al. 5 years M --
15 Our case 6 years F Omphalocele, Malrotation
16 Koplewitz, et al. 8 years F Omphalocele
17 Wang, et al. 8 years F --
18 Garba, et al. 11 years M --
19 Corbitt, et al. 12 years F --
20 Salisbuty, et al. 12 years M --
21 Koumanidou, et al. 12 years F --
22 Chaussy, et al. 12 years F --
23 Corbitt, et al. 13 years M Umbilical hernia
24 Umehara, et al. 14 years F Omphalocele, Fallot tetralogy
25 Lin, et al. 14 years F --
26 Tomooka, et al. 15 years F --
27 Corbitt, et al. 19 years M Bladder extrophy
28 Ladurner, et al. 19 years F Umbilical hernia, Renal agenesis

Case Presentation

A 6-year-old female patient was referred to the paediatric ward for weight loss, loss of appetite, abdominal distension, vomiting and hepatic cytolysis of unknown cause. The patient presented a history of omphalocele surgery after birth, but without any information regarding the exact treatment. The patient was also known with bilateral hearing loss, cycloplegia and delay in speech development. Upon physical examination, the patient presented abdominal distension; a postoperative scar on the midline and upon palpation a painful, 10/5 cm mass was identified in the left flank. The mother relays frequent episodes of vomiting after each meal. An abdominal ultrasound was performed upon admission and showed malrotation of the liver, with posterior orientation of the hilum, a left liver lobe deviated towards the left iliac fossa, with globally dilated intrahepatic biliary ducts, an 8 mm portal vein and a distended stomach.

Due to the patient’s persistent vomiting, an upper gastrointestinal study was performed showing a large, distended stomach, with accentuated peristaltic movements, but no passage of the contrast substance at 20 minutes after administration. Following abdominal radiographs showed no progression of the contrast substance at 1 and 3 hours after administration and minimal passage at 6 hours after administration (Figure 1). Following the upper GI study, the patient’s general condition worsened with persistent, cramp abdominal pain, loss of appetite, abdominal distension and inability to have bowel movements or flatulence. The decision was made to perform emergency laparotomy for intestinal occlusion, most likely due to intestinal adhesions following omphalocele surgery.

clinical-case-reports-post-operative

Figure 1. Upper GI contrast study 1 hour, 3 hours, 6 hours, post-operative.

Intraoperatively, multiple adhesions were encountered. During viscerolysis, an accessory liver lobe was encountered in the left flank, with an attached gallbladder (Figure 2). The stomach and the proximal duodenum were dilated and an extrinsic stenosis between the 2nd and the 3rd duodenum was found, caused by the accessory lobe. Treitz angle was found on the right side of the aorta. The decision was taken to excise the accessory lobe. The hilum of the accessory lobe was identified and then ligated. After removal of the accessory lobe, two hepatic ducts were identified going into the right liver lobe. The cystic duct was also identified, with a downward trajectory into the duodenum, but without a connection with the remaining liver. The decision is taken to stent the hepatic ducts and the cystic duct and an intraoperative cholangiography was performed that showed contrast into the duodenum when administered through the cystic duct and the presence of contrast into the common bile duct and the right hepatic duct when administered through the other two stents (Figure 3). Due to the patient's poor preoperative condition and the uncommon anatomy, the stents were kept in place for external biliary drainage and the biliary reconstruction postponed in order performing an MRI.

clinical-case-reports-intra-operative

Figure 2. Intra-operative aspect-AHL.

clinical-case-reports-cholangiography

Figure 3. Intra-operative cholangiography.

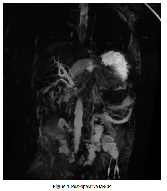
Histopathological examination of the accessory hepatic lobe showed fibrosis in the resected mass, with mild portal inflammation and moderate hepatitis. Postoperative MRI showed a 6 mm left hepatic duct that drains the left liver lobe, the caudate lobe and the 6th and 7th liver segments with a stent in place at this level, a 7 mm hepatic duct that drains the 8th segment with a stent in place and a 6 mm hepatic duct that drains the 5th segment. The last two ducts seem to converge into a common duct. The common bile duct has a filiform morphology and can be seen opening into the duodenum separately from the pancreatic duct, but the proximal segment can be observed just cranially to the pancreas and has a 3 mm dilatation (Figure 4). Seven days after the first surgery a median laparotomy was performed. Almost 100 ml of bile were evacuated, and the previously stented hepatic ducts were identified. The ducts were dissected and a common hepatic duct was identified that had been previously ligated. A hepatic oduodenstomy was performed, after mobilisation of the 2nd segment of the duodenum. The bowel loops were positioned in nonrotation, with the small bowel loops situated in the right hemi abdomen and the colon in the left hemi abdomen. The patient’s postoperative course was favourable, with enteral feeding resuming in postoperative day 4. Ultrasound evaluation showed an 88.5 mm right liver lobe and a 39 mm left liver lobe, with normal structure, a 9 mm portal vein, with minimal dilatation of the intrahepatic ducts of 1.7 mm. Laboratory examination showed decreasing liver enzymes levels. The patient was discharged on postoperative day 9.

clinical-case-reports-post-operative-mrcp

Figure 4. Post-operative MRCP.

Results

Review of the literature

Using PubMed, Science Direct and Web of Science, 27 cases of paediatric AHL published before August 2021 were identified. Of these 27 cases, 14 were girls and 13 were boys, ranging from 1 day to 19 years old, with a median age at diagnosis of 6.3 years. Of the 27 published cases, 10 (37%) were associated with abdominal wall defects including umbilical hernia, omphalocele, cloacal exstrophy and Beckwith Wiedemann syndrome. Two cases (7.4%) were associated with congenital diaphragmatic hernia; another two cases were associated with biliary atresia. Other anomalies were situs inversus, dextreocardia, Fallot tetralogy, polysplenia, supernumerary nipple and renal agenesis (Table 1).

Discussion

Anomalies in the size and shape of the liver are common, but accessory hepatic lobes are rare congenital malformations [4]. Accessory hepatic lobes are defined as supernumerary hepatic lobes composed of liver parenchyma, that are in contact with the native liver, different from ectopic liver lobes that have no contact with the native liver [5]. Accessory hepatic lobes have completely functional architecture, but may be metabolically handicapped [6]. The incidence of AHL is estimated to be 0.7% based on an observational study that included 1802 patients who underwent laparoscopy in Japan [7]. Watanabe et al. reported the occurrence of AHL in 0.9% of 1060 laparoscopies and Kappor found them in 0.7% of abdominal CT scans. Histological analysis was not performed in all cases; therefore the rates could be overestimated. Symptomatic AHLs are even rarer, with only 28 paediatric cases reported in the literature to this date, including our own.

Most AHLs develop secondary to defects of liver organogenesis, but can also rarely occur after trauma or surgery. They are associated with a very low frequency autosomal, recessive gene, theory confirmed by anatomical research on 172 rats [8]. There are two main mechanisms proposed for the development of an AHL. The first one postulates that a part of the developing liver can be entrapped in the septum transverse and subsequently pulled by the weight of intra-abdominal liver, the second sustaining that it can appear as a consequence to the increased intra-abdominal tension caused by the development of the tunica muscularis recti and the enlargement of the liver [7]. Occurrence of an AHL during the development of the muscular layer of the abdominal wall in the 7-8th week of embryonic life may impede closing of the umbilical ring, which is why many AHLs are associated with acromphalus [9]. Of the 28 paediatric cases reported in the literature including ours, 11 (39.3%) are associated with abdominal wall defects including umbilical hernia, omphalocele, cloacal exstrophy and Beckwith Wiedemann syndrome (Table 1). A direct correlation between AHL and abdominal wall defects is difficult to establish due to the rarity of clinically recognized cases, but a developmental relationship can be proposed [3]. Other anomalies associated with AHL are congenital biliary atresia Congenital Diaphragmatic Hernia (CDH) [10]. Congenital biliary atresia and diaphragmatic hernia were associated with AHL in two reported pediatric cases to this date.

Liver abnormalities were listed by Cullen T [11], diminution in size or hypertrophy of one or more lobes, marked furrowing, marked lobulation, Riedels’ lobe, thoracic displacement of the liver through a congenital diaphragmatic hernia, accessory hepatic lobes, part of the liver appearing in an amniotic hernia, accessory lobes arising from the gallbladder and liver tissue in the suprarenal gland. In 1932, Messing and Ashley-Montagu reported the absence of the left lobe. Riedel's lobe is the most frequent anomaly of the liver, corresponding to hypertrophy of segments V and VI [12]. Riedels’ lobe is the most well-known sessile accessory lobes of the liver, but it can also be pedunculated [13]. AHL was first described by Morgagni as a lobe of the liver connected to the main liver via a dense membrane [14]. The first case of symptomatic AHL was published by Yucel Yankol, et al. [15]. There are several classifications for AHL according to location, size and weight, connection to the normal hepatic tissue, presence of a capsule and biliary drainage.

AHLs are mostly found in the intrahepatic region, but can be located at various sites including gallbladder, adrenal gland, spleen, pancreas, gastro hepatic ligament, umbilicus and omphalocele and in extreme cases the oesophagus and the thorax are involved [16]. Yan Collan [17] classified AHL based on the volume and weight into four types as follows: large AHL (>31 g) attached to liver by a stalk of tissue or wide base in the sub phrenic or per hepatic zone, small AHL (11-30 g) attached to the liver via a wide base on the surface of the liver or around the right posterior lobe, ectopic accessory liver without any connection to the liver, most often located into the thorax or pelvic cavity and microscopic ectopic liver (<10 g) found occasionally in the gallbladder wall [7]. This classification system is not widely used due to the difficulty in making a clear distinction between ectopic and accessory liver.

According to Stattaus et al., AHLs can be classified into two types: connected or not connected to the native hepatic tissue [18]. They can be attached to the liver by a peduncle of liver tissue containing vessels and biliary ducts or by mesentery [19] or they can be completely discontinuous from the liver or embedded within other organs (ectopic accessory hepatic liver) [20].

Different means of biliary drainage and the presence of a common capsule within the liver has also been used to classify AHLs into three types: type I-AHL bile duct drains into intrahepatic biliary tree, type II-AHL bile duct drains into extrahepatic bile ducts and type III- AHL shares a capsule with the native liver and has extra hepatic biliary drainage [21]. AHL can also be classified as pedunculated or sessile according to their type of attachment to the liver [22]. The majority of AHLs are asymptomatic and incidentally diagnosed during surgery or autopsy and radiologic studies [23]. There are no specific manifestations for AHL. It can present with recurrent stomach aches and nausea or with acute abdominal symptoms related to the occurrence of complications [24]. They can also present as a palpable abdominal mass, when the differential diagnosis with a tumour is necessary [25].

AHL complications can be acute or chronic. Acute AHL complications consist of torsion if the lobe is pedunculated, torsion of the gallbladder, infarction, lobe rupture and intra-abdominal haemorrhage. Neonates that are diagnosed with AHL frequently associate omphalocele or biliary atresia, diseases that give rise to complications of their own. Malignancy and mass effect on nearby organs constitute chronic complications and usually do not occur in early stages [7]. AHL has a normal hepatic architecture; however it is more likely to acquire malignant characteristics than normal liver tissue because it is metabolically dysfunctional. This could constitute an explanation for the higher rate of malignancy compared to the native liver [6]. Benign tumours can also complicate AHL. These tumours can be adenomas, hemangiomas or focal nodular hyperplasia, however they are less common than malignant tumours, a phenomenon which could be explained by the fact that benign tumour might go undiagnosed for the entirety of the patients life [6]. The benign lesions that are asymptomatic and located in unusual places might also evade the real incidence in the absence of histological examination [3].

Another complication of AHL is ischemia of the liver. Ladurenr et al. described a case of hepatic ischemia by vascular occlusion caused by accessory lobe torsion. The ischemia was important enough to prompt orthotropic hepatic transplantation [21]. Another chronic complication is represented by mechanical pressure on vascular structures and other organs as in our case. A case of Riedel’s lobe generating gastric outlet obstruction was described, traded by cholecystectomy and fixing of the lobe to the abdominal wall [26]. Conventional imaging is often inconclusive, but there have been reports of imagistically diagnosed AHLs. AHLs can be diagnosed by imaging methods, including ultrasonography, Computed-Tomography (CT), especially Multislice Spiral Computed-Tomography (MSCT), Magnetic Resonance Imaging (MRI) and MRI multiplane imaging. While the diagnosis of an uncomplicated AHL can be accessible by CT or MRI scans, in case of torsion, imaging is often insufficient to formulate an accurate preoperative diagnosis [27]. In torsioned AHL, a contrast-enhanced CT scan identifies vascularisation defects, disturbance of the normal architecture of liver parenchyma and uncertainty of the origin of the mass. MRI does not offer supplementary information. Ultrasound identifies a hypoechoic mass caused by congestion, without Doppler signal.

Torsioned AHLs ought to be considered as a differential diagnosis for patients presenting with acute, sudden abdominal pain associated with abdominal distension, vomiting, nausea, anorexia and leukocytosis [3]. In such a case, AHL could be the cause of an acute abdomen, CT or MRI imaging easing differentiation; however the diagnosis of ectopic AHLs is even more challenging. If the AHL is located in the thorax it should be considered in the differential diagnosis of tumours of the diaphragm, lungs, pleura and thoracic wall, while pelvic location should prompt differential diagnosis with benign or malignant tumours of the pelvic organs [7]. Intra-abdominal tumors with various locations that were diagnosed as either benign or malignant degenerations of AHL, such as hepatocarcinoma of the jejunum. Shigemori et al. ectopic liver tissue of the pancreas [28] or a nonspecific gastric mass with stromal tumour suspicion subsequently proved to be an ectopic hepatic lobe [29].

Uncomplicated AHL does not have surgical indication if it is not pedunculated; however there are numerous conditions that necessitate surgery. Torsion generates intense pain and is improbable to spontaneously alleviate and has operative indication. Intra-abdominal bleeding may be a complication of AHL caused by traumatic injury and also has surgical indication. If a pedunculated AHL is incidentally diagnosed, it should be excised to evade unforeseen complications [3]. Laparoscopy is well suited for the resection of an AHL, especially when small [30]. If it does not present any complications and is asymptomatic AHL has a favourable prognosis, most cases being incidentally identified upon autopsy [7]. Our patient has a good prognosis, follow-up with abdominal ultrasonography and liver enzymes, showing no complications.

Conclusion

In conclusion, accessory hepatic lobe is a rare congenital anomaly that consists in the presence of a supernumerary lobe. We presented the case of 6-years-old girl, with a history of omphalocele that presented for vomiting and weight loss followed by intestinal obstruction after admission. Upon surgery an accessory hepatic lobe was found, excreting a mass effect on the duodenum. A preoperative diagnosis of AHL was not made because of the rarity of this condition. Paediatric surgeons must be aware of this occurrence while managing cases of acute abdominal pain, especially in children with a history of omphalocele repair.

References

Google Scholar citation report
Citations: 1345

Journal of Clinical Case Reports received 1345 citations as per Google Scholar report

Journal of Clinical Case Reports peer review process verified at publons

Indexed In

 
arrow_upward arrow_upward