GET THE APP

Unlocking the Mystery-Laparotomy Reveals Corpus Luteal Cyst Rupture in Postcoital Hemoperitoneum
Journal of Clinical Case Reports

Journal of Clinical Case Reports

ISSN: 2165-7920

Open Access

Case Report - (2024) Volume 14, Issue 2

Unlocking the Mystery-Laparotomy Reveals Corpus Luteal Cyst Rupture in Postcoital Hemoperitoneum

Soumya KS*
*Correspondence: Soumya KS, Department of Information Science, University of Kerala, Trivandrum, Kerala, India, Tel: 9544536395, Email:
Department of Information Science, University of Kerala, Trivandrum, Kerala, India

Received: 14-Feb-2024, Manuscript No. JCCR-23-100242; Editor assigned: 16-Feb-2024, Pre QC No. JCCR-23-100242 (PQ); Reviewed: 01-Mar-2024, QC No. JCCR-23-100242; Revised: 06-Mar-2024, Manuscript No. JCCR-23-100242 (R); Published: 14-Mar-2024 , DOI: 10.37421/2165-7920.2023.13.1584
Citation: Soumya KS. "Unlocking the Mystery-Laparotomy Reveals Corpus Luteal Cyst Rupture in Postcoital Hemoperitoneum." J Clin Case Rep 14 (2024): 1580.
Copyright: © 2024 Soumya KS. This is an open-access article distributed under the terms of the creative commons attribution license which permits unrestricted use, distribution and reproduction in any medium, provided the original author and source are credited.

Abstract

Postcoital hemoperitoneum is a rare but potentially life threatening condition characterized by accumulation of blood in the peritoneal cavity following sexual intercourse. We present a case of 23 years old female patient who presented with diffuse abdominal pain, right shoulder pain and chest discomfort following sexual intercourse. Physical examination and imaging studies confirmed the presence of moderate to large hemoperitoneum, leading to the suspicion of a ruptured corpus luteal cyst. An emergent exploratory laparotomy was done. Bleeding site was identified over the ovary and ruptured tiny friable cyst was noted, same excised and send for histopathological examination. Hemostasis secured with series of sutures over the ovary. Patient received transfusion of packed red cells and discharged in stable condition. Histopathological examination confirmed the diagnosis. This case report emphasizes the importance of early recognition, prompt intervention and highlights the potential life threatening complications associated with ruptured corpus luteal cysts.

Keywords

Postcoital hemoperitoneum • Histopathological • Laparotomy • Threatening shock • Fragile vessels

Introduction

A ruptured functional ovarian cyst is a frequent cause of acute pelvic pain in women of reproductive age. The disease course varies from no symptoms or signs to severe peritoneal irritation and even life threatening shock [1]. The corpus luteal cyst is a functional vascular ovarian structure with tiny, fragile vessels in the wall that are prone to rupture, resulting in intracystic hemorrhage, intraperitoneal rupture, and massive hemoperitoneum [2].

This case report aims to highlight the presentation, diagnosis and management of patient with ruptured corpus luteal cyst, emphasizing the importance of prompt intervention and appropriate surgical repair.

Case Presentation

23 years old sexually active female presented to emergency department with complaints of sudden onset lower abdominal pain immediately after sexual intercourse. The pain was severe and accompanied by right shoulder pain and chest discomfort. The patient denied any history of trauma, previous abdominal surgeries or significant medical conditions.

On examination, she was conscious and pallor ++

PR: 102/min
BP: 90/60 mmhg Afebrile
P/A: Abdominal distension with diffuse tenderness and guarding in the lower abdomen.
P/V: Cervical motion tenderness.

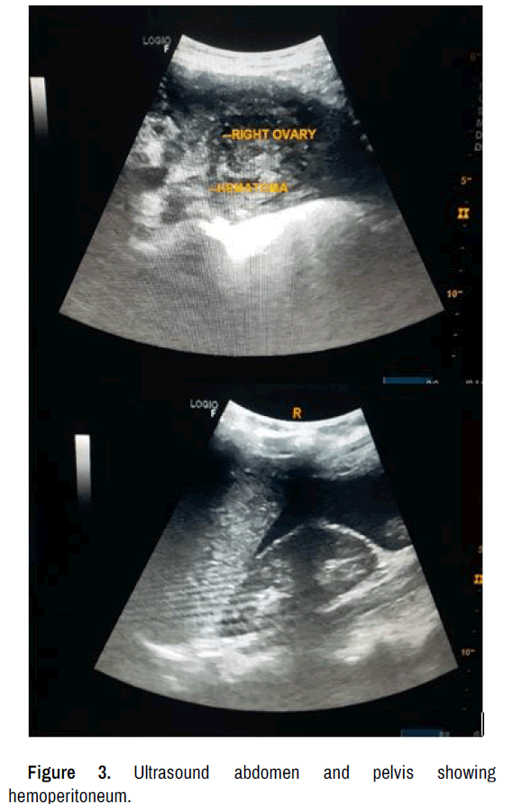
Preoperative laboratory investigation yielded a hemoglobin of 10.1 gm %, total leucocyte count of 16,970/ mm3 and serum beta HCG: 0.21 miu/ml. Diagnostic workup, including ultrasound abdomen with pelvis and CT screening confirmed the presence of moderate to large hemoperitoneum with suspected ruptured corpus luteal cyst (Figures 1-3).

JCCR-coronal

Figure 1. CT-coronal view of abdomen and pelvis showing hemoperitoneum.

JCCR-CT

Figure 2. CT Axial view of pelvis showing hemoperitoneum.

JCCR-Ultrasound

Figure 3. Ultrasound abdomen and pelvis showing hemoperitoneum.

An emergency laparotomy was performed. Intraoperatively, 1.5 liters of hemoperitoneum and 200 grams of blood clots were found along with a right ruptured corpus luteal cyst. Cyst wall biopsy taken and sent for histopathological examination. Ovary was carefully examined and ovarian tissue approximation was done for achieving hemostasis. 2 units of PRBC transfusion were given to address blood loss and anemia (Figure 4).

JCCR-picture

Figure 4. Intraoperative picture showing ruptured cyst in the ovary.

Following procedure, patient recovered well without any complications and was discharged in stable condition. Biopsy report confirmed the diagnosis of corpus luteal cyst (Figure 5).

JCCR-Micro

Figure 5. Microscopic appearance of biopsy specimen.

Discussion

A ruptured functional ovarian cyst is a frequent cause of acute pelvic pain in women of reproductive age. The nature of symptoms varies from no symptoms or signs to severe peritoneal irritation and even life-threatening shock. Therefore, even though ovarian cyst rupture is a type of physiologic event and is self-limiting with conservative management, it occasionally requires surgical intervention when accompanied by hemodynamic instability, severe persistent pain, diagnostic uncertainty, or large amount of hemoperitoneum [3,4]. Although any functional ovarian cyst can present as a hemorrhage or rupture, the increased vascularity of the ovary in the luteal phase may increase the risk of rupture and bleeding of the corpus luteal cyst.

Postcoital hemoperitoneum is an uncommon condition resulting from rupture of an ovarian cyst, typically corpus luteal cyst. Its diagnosis is challenging due to nonspecific natre of symptoms. The presentation can mimic other causes of acute abdomen, such as ruptured ectopic, ovarian torsion. Prompt diagnosis and appropriate management is crucial to prevent severe morbidity and mortality. Clinical observations, laboratory findings and utilization of ultrasound images, CT films provide valuable insights into the diagnosis, surgical planning and assessment of treatment outcomes. Surgical intervention such as laparotomy plays a crucial role in managing post-coital hemoperitoneum when conservative management fails or in severe cases. Surgical approach aims to identify the source of bleeding and achieve hemostasis. Corpus luteum biopsy is performed to confirm diagnosis and assess for any associated pathologies.

Conclusion

Postcoital hemoperitoneum due to ruptured corpus luteal cyst is an uncommon cause of acute abdomen in sexually active females. But clinicians should maintain a high index of suspicion. Early identification and appropriate management of postcoital hemoperitoneum are essential to prevent mortality. Further research and awareness are needed to improve diagnosis and management of this rare condition.

References

  1. Teng, Sen-Wen, Jen-Yu Tseng, Cheng-Kun Chang, and Chung-Ti Li, et al. "Comparison of laparoscopy and laparotomy in managing hemodynamically stable patients with ruptured corpus luteum with hemoperitoneum." J Am Assoc Gynecol Laparosc 10 (2003): 474-477.
  2. Google Scholar, Crossref, Indexed at

  3. Pulappadi, Vishnu Prasad, Smita Manchanda, Pritviraj Sk, and Smriti Hari, et al. "Identifying corpus luteum rupture as the culprit for haemoperitoneum." Br J Radiol 94 (2021): 20200383.
  4. Google Scholar, Crossref, Indexed at

  5. Raziel, Arie, Raphael Ron-El, Mordechai Pansky, and Shlomo Arieli, et al. "Current management of ruptured corpus luteum." Eur J Obstet Gynecol Reprod Biol 50 (1993): 77-81.
  6. Google Scholar, Crossref, Indexed at

  7. Bottomley, Cecilia, and Tom Bourne. "Diagnosis and management of ovarian cyst accidents." Best Pract Res Clin Obstet Gynaecol 23 (2009): 711-724.
  8. Google Scholar, Crossref, Indexed at

Google Scholar citation report
Citations: 1345

Journal of Clinical Case Reports received 1345 citations as per Google Scholar report

Journal of Clinical Case Reports peer review process verified at publons

Indexed In

 
arrow_upward arrow_upward