GET THE APP

Necessity of Surgery for Cystic Duct Remnant Syndrom
Journal of Clinical Case Reports

Journal of Clinical Case Reports

ISSN: 2165-7920

Open Access

Case Report - (2024) Volume 14, Issue 5

Necessity of Surgery for Cystic Duct Remnant Syndrom

Ivan Adamovic1*, Kostas Michael1, Tim Stegemann2, Maurus Murer3, Alexander Golowan1, Hans-Dieter Mäder1 and Lukas Krähenbühl1
*Correspondence: Ivan Adamovic, Department of Surgery, ASANA Hospital Leuggern, Kommendeweg 12, 5316 Leuggern, Switzerland, Tel: 41775301413, Email:
1Department of Surgery, ASANA Hospital Leuggern, Kommendeweg 12, 5316 Leuggern, Switzerland
2Department of Radiology, Kantonal Hospital Baden, Im Ergel 1, 5404 Baden, Switzerland
3Department of Pathology, Kantonal Hospital Baden, Im Ergel 1, 5404 Baden, Switzerland

Received: 02-Sep-2024, Manuscript No. jccr-24-149346; Editor assigned: 04-Sep-2024, Pre QC No. P-149346; Reviewed: 16-Sep-2024, QC No. Q-149346; Revised: 23-Sep-2024, Manuscript No. R-149346; Published: 30-Sep-2024 , DOI: 10.37421/2165-7920.2024.14.1622
Citation: Adamovic, Ivan, Kostas Michael, Tim Stegemann and Maurus Murer, et al. “Necessity of Surgery for Cystic Duct Remnant Syndrom.” J Clin Case Rep 14 (2024): 1622.
Copyright: © 2024 Adamovic I, et al. This is an open-access article distributed under the terms of the Creative Commons Attribution License, which permits unrestricted use, distribution, and reproduction in any medium, provided the original author and source are credited.

Sources of funding : No funding disclosures for the submitted work.

Abstract

Background: Incomplete resection of the gallbladder is not as low as previously thought and occurs in up to 16% of operated patients. In some of these patients, symptoms may persist after surgery. These include upper abdominal pain, fever, dyspepsia, and jaundice. After diagnosis, surgical intervention is necessary to alleviate symptoms and avoid potential complications such as recurrent cholangitis with potential sepsis, Mirizzi syndrome, pancreatitis, or carcinoma.

Case presentation: The patient was a 53-year-old man with previous laparoscopic cholecystectomy in 2002 for acute cholecystitis and postoperatively several years of episodes of upper abdominal pain, discomfort, and dyspepsia. In December 2023, he was hospitalized for a few days due to upper abdominal pain and cholangitis. MRCP revealed no evidence of intra- or extrahepatic cholestasis and showed clipping artifacts in the area of the elongated ductus cysticus remnant of 3 cm. Laparoscopic remnant cystic duct resection was performed without complications. Follow-up has been done for 6 months, and so far, the patient has no symptoms or complaints.

Conclusion: Cystic Duct Remnant Syndrome is more common than previously thought. MRCP should be the gold standard for patients with suspected Cystic Duct Remnant Syndrome. Laparoscopic surgery and resection of the cystic duct remnant are necessary, safe, and successful operations.

Keywords

Remnant cystic duct • Residual gallstones • Subtotal cholecystectomy • Post-cholecystectomy syndrome

Introduction

Incomplete resection of the gallbladder is not as low as previously thought and occurs in up to 16% of operated patients. Reasons for incomplete resection include poor visualization of the gallbladder and Calot triangle during surgery, adhesions, acute inflammation, excessive bleeding, or confounding gallbladder morphology [1].

In some of these patients, symptoms may persist after surgery. These include upper abdominal pain, fever, dyspepsia, and jaundice. One of the main reasons (25%) is a residual stone in a particularly long cystic duct or the relapse of lithiasis in a gallbladder remnant [2,3].

Diagnosis of retained calculi is usually challenging. The mean time to detection is 4.1 to 9.5 years, with a range of 6.5 to 20 years [4,5]. Diagnosis should be established by abdominal ultrasound, Endoscopic Retrograde Cholangiopancreatography (ERCP), and Magnetic Resonance Cholangiopancreatography (MRCP). MRCP has an accuracy of approximately 92-100% compared to ultrasound's 60% and is the best diagnostic modality [6].

After diagnosis, surgical intervention is necessary to alleviate symptoms and avoid potential complications such as recurrent cholangitis with potential sepsis, Mirizzi syndrome, pancreatitis, or carcinoma [7,8]. The laparoscopic approach to reoperations is a safe, feasible, and effective procedure, but should be performed by an expert laparoscopic surgeon [5,9-11]. The operation of choice should be re-resection of remnant cystic duct [11].

Case Presentation

A 53-year-old man underwent laparoscopic cholecystectomy in 2002. The indication for surgery was acute cholecystitis. Postoperatively, he experienced several years of episodes of upper abdominal pain, discomfort, and dyspepsia. He was treated conservatively with Proton Pump Inhibitors (PPIs) and various diet regimes. Gastroscopy and colonoscopy were without abnormalities. In December 2023, he was hospitalized for a few days due to upper abdominal pain and cholangitis.

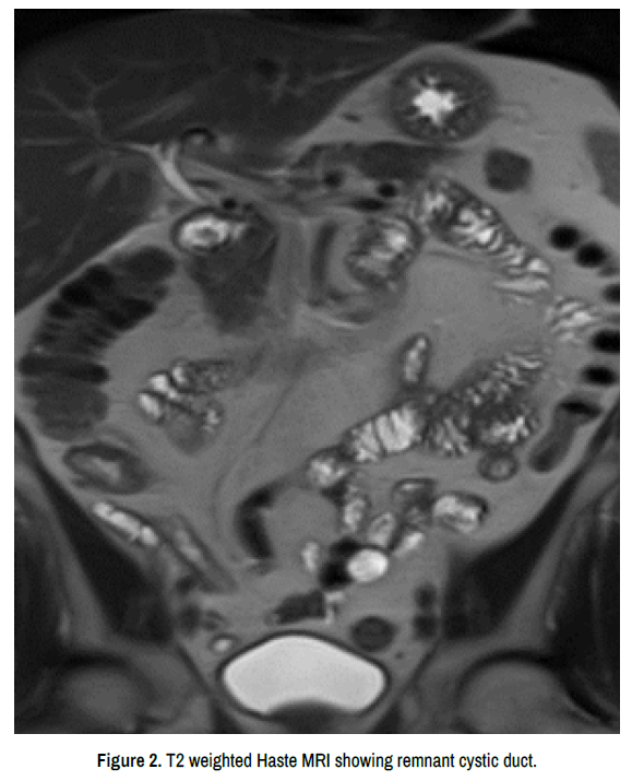
MRCP revealed no evidence of intra- or extrahepatic cholestasis and showed clipping artifacts in the area of the elongated ductus cysticus remnant of 3 cm. A calculus within the remnant ductus cysticus was suspected but could not be definitively confirmed. Mild chronic inflammation was present around the remnant duct. The pancreaticobiliary junction was normal. Additional targeted ultrasound confirmed a stone in the remnant cystic duct (Figures 1 and 2).

clinical-case-reports-recontruction

Figure 1. 3D recontruction MRCP.

clinical-case-reports-cystic-duct

Figure 2. T2 weighted Haste MRI showing remnant cystic duct.

Laparoscopy technique and troublshouting

A four-port laparoscopy was performed through the scars remaining from the previous procedure. A 12 mm camera port was placed at the umbilical area, and 5 mm trocars were placed in the epigastric area, right lateral, and left lateral abdomen. The surgeon positioned themselves between the patient's spread legs (French position).

Laparoscopic examination revealed adhesions of the greater omentum and the transverse colon to the old gallbladder bed, as well as to the stomach with the pylorus and the hepatoduodenal ligament. A complete adhesiolysis of the stomach, duodenum, hepatoduodenal ligament, greater omentum, and transverse colon from the right lobe of the liver was meticulously performed with precise hemostasis. The cystic duct stump was deeply embedded in this scar tissue. After adhesiolysis, the hepatoduodenal ligament and existing adhesions were visualized in great detail and dissolved (complicated adhesiolysis lasting 68 minutes). Finally, the stump of the cystic duct was successfully removed, along with any embedded stones. Clips were applied to secure the cystic duct, and the course of the cystic duct up to the confluence of the Common Hepatic Duct (CHD) was completely visualized. The proper hepatic artery was prepared and a long remnant of the cystic artery was additionally removed and clipped. After complete dissection of the cystic duct, it was inferiorly discontinued with hemoclips. The specimen was removed and found to contain an intraductally impacted concrement (Figure 3).

clinical-case-reports-calculus

Figure 3. Intraoperative view of the resected remnant cystic duct with a visible calculus (white arrow).

Macroscopically, the resected specimen was 3 cm long, and the calculus was 1 cm long. The postoperative course was uneventful, and all symptoms resolved soon after surgery. The patient was discharged on day 2 after surgery. At the 6-month follow-up, there had been no recurrence of pain or any symptoms.

Histopathological findings

Cystic duct 3 cm long with 0.3 cm diameter with calculus, excision: bile duct portion with intraluminal bile concretion and focal mild chronic inflammation in the muscular wall layer. No signs for malignancy (Figures 4 and 5).

clinical-case-reports-histopathology

Figure 4. Histopathology: Cross-section (overview) of the bile duct with concretion.

clinical-case-reports-histopathology

Figure 5. Histopathology: Bile duct with concretion (white arrow), lined by bile duct epithelium without dysplasia (black asterisk), muscular wall and periductal fat (left and right of black arrow).

Discussion

The normal cystic duct measures 4-6 cm in length [6]. There is no consensus on the minimum length of the cystic duct remnant required for a diagnosis of 'Cystic Duct Remnant Syndrome.' Most authors agree that a cystic duct remnant length of 1 cm or more is a relevant parameter. This is based on findings that a cystic duct remnant larger than 1 cm was present in 67-82% of re-operated patients [12-14].

We recommend re-exploration for extra-hepatic biliary surgery with the rule of adhesiolysis beginning on the right side along the lateral inferior border of the liver. Some authors have reported that adhesiolysis beginning medially and proceeding laterally has also found a good plane of dissection [15].

Intraoperatively, precise identification of the hepatoduodenal ligament is a crucial part of the operation. The most difficult part is removing adhesions around the remnant cystic duct and hepatoduodenal ligament. The surgeon should be aware of the possible presence of the proper hepatic artery (A. hepatica propria) and remnant cystic artery in the operated area. Injuries to these arteries could lead to severe bleeding and sometimes necessitate conversion to open surgery due to poor visualization. Resection of the remnant cystic duct is necessary; in our case, it was longer than 3 cm. Based on our experience, the optimal length of the remnant after reoperation is less than 0.5 cm. Various techniques have been described for cystic duct closure, including different clips, non-resorbable sutures, resorbable sutures, and staplers.

Based on available evidence, it is not possible to recommend or discourage any specific technique for cystic duct closure during laparoscopic cholecystectomy with respect to the rate of cystic duct leakage. Although data suggest a slight preference for locking clips and ligatures over other techniques, no separate recommendation can be made for complicated gallbladder disease [16]. We are safely using double hemoclips for cystic duct closure.

Drainage is not necessary. A systematic review and meta-analysis have shown that prophylactic drain placement is ineffective in reducing complications during laparoscopic cholecystectomy performed to treat acute cholecystitis. No other recommendations can be made for reoperations. Postoperative recovery is improved when a drain is not present [3]. Our operative time was 68 minutes, and the inpatient stay was 2 days. Some series have described good results with a mean operative time of 62-103.5 minutes and an inpatient stay of 2.6 days [11,15]. We are not using drains routinely and not leaved one after this operation.

Follow-up has been done for 6 months, and so far, the patient has no symptoms or complaints.

Other therapeutic modalities such as ERCP, ESWL with or without endoscopic removal of fragmented stones have been tried, but they remove the gallstones without resolving the presence of the remnant cystic duct and could cause potential relapses. These procedures are valuable and particularly helpful when the patient is unfit for surgery and expertise is available [17-20].

Conclusion

The postoperative course of recovery after cholecystectomy should be smooth. All patients with postoperative complaints or symptoms need careful diagnostics. Cystic Duct Remnant Syndrome is more common than previously thought. MRCP should be the gold standard for patients with suspected Cystic Duct Remnant Syndrome. Laparoscopic surgery and resection of the cystic duct remnant are necessary, safe, and successful operations. Patient symptoms and complaints typically resolve shortly after surgery.

Authors Contribution

IA wrote the manuscript, LK was operating surgeon and helped draft and corrected endversion of the manuscript, TS performed radiological examinations and provided MRCP pictures, MM performed the pathological examinations and designed the pathological bilder, AG, HDM and KM have done literature search and helped by discussion.

Funding

No funding disclosures for the submitted work.

Ethics Approval and Consent to Participate

Not applicable.

Consent for Publication

Written informed consent was obtained from the patient for the publication of this case report and any accompanying images. A copy of the written consent is available upon request.

Competing Interests

The authors declare that they have no competing interests.

References

  1. Beldi, Glattli and A. Glättli. "Laparoscopic subtotal cholecystectomy for severe cholecystitis." Surg Endosc 17 (2003): 1437-1439.
  2. Google Scholar, Crossref, Indexed at

  3. Kim, Ji Yeon, Kyoung Won Kim, Chul-Soo Ahn and Shin Hwang, et al. "Spectrum of biliary and nonbiliary complications after laparoscopic cholecystectomy: Radiologic findings." Am J Roentgenol 191 (2008): 783-789.
  4. Google Scholar, Crossref, Indexed at

  5. Moody, Frank G. "Postcholecystectomy syndromes." Surg Annu 19 (1987): 205-220.
  6. Google Scholar, Indexed at

  7. Walsh, R. M., J. L. Ponsky and J. Dumot. "Retained gallbladder/cystic duct remnant calculi as a cause of postcholecystectomy pain." Surg Endosc 16 (2002): 981-984.
  8. Google Scholar, Crossref, Indexed at

  9. Chowbey, Pradeep K., Samik Kumar Bandyopadhyay, Anil Sharma and Rajesh Khullar, et al. "Laparoscopic reintervention for residual gallstone disease." Surg Laparosc Endosc Percutan Tech 13 (2003): 31-35.
  10. Google Scholar, Crossref, Indexed at

  11. Girometti, Rossano, G. Brondani, L. Cereser and G. Como, et al. "Post-cholecystectomy syndrome: Spectrum of biliary findings at magnetic resonance cholangiopancreatography." Br J Radiol 83 (2010): 351-361.
  12. Google Scholar, Crossref, Indexed at

  13. Goenka, M. K., R. Kochhar, B. Nagi and D. K. Bhasin, et al. "Endoscopic retrograde cholangiopancreatography in postcholecystectomy syndrome.J Assoc Physicians India 44 (1996): 119-122.
  14. Google Scholar, Indexed at

  15. Enns, Robert, Jacqueline A. Brown, Peri Tiwari and Jack Amar. "Mirizzi's syndrome after cholecystectomy." Gastrointest Endosc 53 (2001): 629.
  16. Google Scholar, Crossref, Indexed at

  17. Li, Li-Bo, Xiu-Jun Cai, Yi-Ping Mou and Qi Wei. "Reoperation of biliary tract by laparoscopy: Experiences with 39 cases." World J Gastroenterol 14 (2008): 3081.
  18. Google Scholar, Crossref, Indexed at

  19. Saket, Nishant Kurian, Rakesh Kumar Singh, Venkat Rao Chidipotu and Sanjay Kumar, et al. "Surgical management of cystic duct stump calculi causing post-cholecystectomy syndrome: A prospective study." J Minim Access Surg 19 (2023): 257-262.
  20. Google Scholar, Crossref, Indexed at

  21. Palanivelu, Chinnusamy, Muthukumaran Rangarajan, Priyadarshan Anand Jategaonkar and Madhupalayam Velusamy Madankumar, et al. "Laparoscopic management of remnant cystic duct calculi: A retrospective study." Ann R Coll Surg Engl 91 (2009): 25-29.
  22. Google Scholar, Crossref, Indexed at

  23. Sitenko, V. M., A. I. Nechaĭ, V. V. Stukalov and S. A. Kalashnikov. "Large stump of the cystic duct." Vestn Khir Im I I Grek 116 (1976): 56-59.
  24. Google Scholar, Indexed at

  25. Hopkins, S. F., B. A. Bivins and W. O. Griffen Jr. "The problem of the cystic duct remnant." Surg Gynecol Obstet 148 (1979): 531-533.
  26. Google Scholar, Indexed at

  27. Jonson, G., D. M. Nilsson and T. Nilsson. "Cystic duct remnants and biliary symptoms after cholecystectomy. A randomised comparison of two operative techniques." Eur J Surg 157 (1991): 583-586.
  28. Google Scholar, Indexed at

  29. Chowbey, Pradeep, Anil Sharma, Amit Goswami and Yusuf Afaque, et al. "Residual gallbladder stones after cholecystectomy: A literature review." J Min Access Surg 11 (2015): 223-230.
  30. Google Scholar, Crossref, Indexed at

  31. van Dijk, Aafke H., Stijn van Roessel, Philip R. de Reuver and Djamila Boerma, et al. "Systematic review of cystic duct closure techniques in relation to prevention of bile duct leakage after laparoscopic cholecystectomy." World J Gastrointest Surg 10 (2018): 57.
  32. Google Scholar, Crossref, Indexed at

  33. Shelton, Joseph H. and Damien B. Mallat. "Endoscopic retrograde removal of gallbladder remnant calculus.Gastrointest Endosc 64 (2006): 272-273.
  34. Google Scholar, Crossref, Indexed at

  35. Benninger, Johannes, Thomas Rabenstein, Michael Farnbacher and Jens Keppler, et al. "Extracorporeal shockwave lithotripsy of gallstones in cystic duct remnants and Mirizzi syndrome." Gastrointest Endosc 60 (2004): 454-459.
  36. Google Scholar, Crossref, Indexed at

  37. Sowula, A. and H. Groele. "Mirizzi syndrome caused by the gallstone in long remnant of a cystic duct." Wiad Lek 52 (1999): 85-88.
  38. Google Scholar, Indexed at

  39. Janes, Simon, L. Berry and B. Dijkstra. "Management of post cholecystectomy Mirizzi’s syndrome." J Min Access Surg 1 (2005): 34-36.
  40. Google Scholar, Crossref, Indexed at

Google Scholar citation report
Citations: 1345

Journal of Clinical Case Reports received 1345 citations as per Google Scholar report

Journal of Clinical Case Reports peer review process verified at publons

Indexed In

 
arrow_upward arrow_upward